無料相談ダイヤル
実績豊富・夜8時まで診療

歯並びでお悩みの方は
「大阪矯正歯科グループ」へ

日本矯正歯科学会認定医がいるから安心

AI管理

無料相談ダイヤル

カウンセリング

Clinic Feature 大阪矯正歯科グループが
選ばれる理由

大阪で矯正歯科をお探しの方に、当グループが選ばれている主な理由は次の3つです。

  • 豊富な症例実績: 2025年の年間初診患者数は8,120人。1989年からの累計症例数は71,294人以上(2026年1月現在)です。 実績について
  • 認定医による体制と治療法の選択肢: 矯正歯科認定医が在籍し、マウスピース矯正からワイヤー矯正まで幅広くご提案します。 治療法について
  • 通院しやすい診療体制: 夜間・土日診療など、継続しやすい通院環境を整えています。 治療期間と通院について
1
実績が豊富なので
安心です!

インビザラインパープルダイヤモンド

2025年年間初診患者数
0

1989年から大阪で歯列矯正を行い、グループ全体で2026年1月現在過去症例数は71,294人以上の実績があります。

それだけ患者さんから信頼されておりますので、確実に安心して矯正治療を受けていただけます

“日本における最も長いインビザライン提供医院”Valued Long-Term Providerとして表彰

2025年の“1年間”で8,120人の初診の患者様が来院されました。矯正歯科認定医も14名在籍しています。

2
あなたに合った治療法を
ご提案します

治療法

最近マウスピース矯正だけしか行っていない医院が多くなっていますが、これはワイヤー矯正ができない一般歯科医によるものです。

当院では全ての矯正治療法を行っており、その中から確実にあなたに最適な治療法をご説明しご提供します。

患者さんのご希望を最優先した上で、全ての治療法をご説明いたします。

また当院では矯正治療だけでなく、輪郭形成(セットバック手術)のご相談や治療にも対応しています。専門医による症例も多数あり、より理想の横顔・フェイスラインを目指すことが可能です。

輪郭形成の症例はInstagramで多数公開していますので、ぜひご覧ください。

3
通いやすい診療体制と計画的な治療で治療期間を短縮

診察

治療期間が短縮できる
3つの理由
理由1

歯が動くスピードが早くなる装置を使用し、治療期間を3割程度短縮

理由2

歯の動かし方に無駄が無いよう極めて綿密に計画することで、歯を動かす期間が短くなる

理由3

矯正歯科医多数で土日も夜8時まで診療していて予約がとりやすい
(予約が取りにくくて、治療期間が伸びてしまい、結果的に治療が長引くことが普通の医院では多く起こっています)

ご来院の前にぜひお気軽にお悩みを解消してください
  • 初診予約
  • LINEで無料相談
医院はこちら

矯正治療はまだしないで下さい!その理由とは?

クリニック紹介
−clinic−

当院は梅田をはじめとして
下記にクリニックがあります

〒530-0001
大阪府大阪市北区梅田1丁目1ー3ー1800
大阪駅前第3ビル 18階

大阪駅より徒歩5分

診療時間
9:00〜13:00
14:00〜20:00

休診日:祝日

地図

  • 梅田クローバー歯科クリニック
    梅田クローバー歯科クリニック
  • 梅田クローバー歯科・矯正歯科アネックス
    梅田クローバー歯科・矯正歯科アネックス
  • カトレア歯科矯正歯科・美容クリニック
    カトレア歯科矯正歯科・美容クリニック
  • 梅田茶屋町クローバー歯科・矯正歯科
    梅田茶屋町クローバー歯科・矯正歯科
  • なんばクローバー歯科
    なんばクローバー歯科
  • クローバー歯科・矯正歯科あべの天王寺院
    クローバー歯科・矯正歯科あべの天王寺院
  • 心斎橋クローバー歯科・矯正歯科
    心斎橋クローバー歯科・矯正歯科
  • 京橋クローバー歯科・矯正歯科
    京橋クローバー歯科・矯正歯科

矯正歯科の症例

※症例紹介の費用は掲載時点の金額です。治療費用は改定される場合がありますので、最新の料金はお問い合わせください。

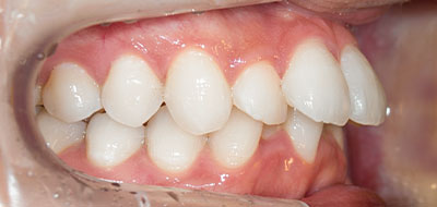
八重歯の治療例(インビザライン)

  • Before
  • After

【治療内容】八重歯(叢生)の患者さんです。インビザラインを装着し歯並びを治しました。治療期間:4年

【費用】インビザライン 790,000円(税抜)〜

【リスク】インビザラインを1日20時間入れなければいけないため、ちゃんと入れていただけない方はちゃんと治療が進みません。

受け口の症例(ワイヤー矯正)

  • Before
  • After

【治療内容】ワイヤー矯正で受け口を治しました。(治療期間:3年1ヶ月)

【費用】ワイヤー矯正 750,000円(税抜)

【リスク】矯正装置が口の中にあたって口内炎が出来やすくなる方もおられます。

出っ歯の症例(裏側矯正)

  • Before
  • After

【治療内容】上下の歯が出ている上下前突の患者さんです。裏側矯正で歯並びを治しました。上あごの4番を抜歯しました。治療期間:2年

【費用】裏側矯正 1,420,000円(税抜)〜

【リスク】歯の裏側に装置をつけるので最初は少し痛くて、発音しづらい。

開咬の治療例(ワイヤー矯正)

  • Before
  • After

【治療内容】前歯が開いている開咬の患者さんです。ワイヤー矯正で歯並びを治しました。治療期間:2年1ヶ月

【費用】ワイヤー矯正 750,000円(税抜)

【リスク】ワイヤーの付け始めに痛みが出ることがあります。

叢生の治療例(インビザライン)

  • Before
  • After

【治療内容】歯のガタつきが気になると来院された叢生の患者さんです。インビザラインを装着し歯並びを治しました。治療期間:2年2ヶ月

【費用】インビザライン 790,000円(税抜)〜

【リスク】インビザラインを1日20時間入れなければいけないため、ちゃんと入れていただけない方はちゃんと治療が進みません。

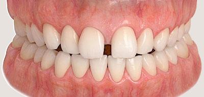
すきっ歯(空隙歯列)の治療例(インビザライン)

  • Before
  • After

【治療内容】前歯の隙間が気になるとご来院された患者さんです。インビザラインですきっ歯を治しました(上下非抜歯)。治療期間:1年1ヶ月

【費用】インビザライン 790,000円(税抜)〜

【リスク】インビザラインを1日20時間入れなければいけないため、ちゃんと入れていただけない方はちゃんと治療が進みません。

矯正歯科とは

ホワイトワイヤー矯正

矯正歯科とは、歯が重なっている、八重歯、上の歯が出ている、下の歯が出ているなどの悪い歯並びをキレイに治すことによって、患者さんを美しくして自信を取り戻し、さらには全身の健康も手に入れる治療のことです。キレイな歯並びは、お口や歯だけでなく全身の健康に深くつながっています。

私どもは、このキレイな歯並びを皆様にご提供することを最大の使命として毎日頑張っています。

当院には、矯正歯科認定医が多数在籍しています。また、虫歯などの治療もしてもらえますかというご質問もいただきますが、当院は歯科治療全般を行っている医院ですのでどうぞご安心くださいね。

私の矯正歯科治療に対する思い

医療法人真摯会 総院長 松本正洋
総院長 松本 正洋

平成元年に大阪で歯列矯正を始めて以来、トータルで71,294人以上の方の矯正をしてきた中で、歯科医として一番感じることは、矯正を終えた患者さんの笑顔はとても素敵だということです。

皆様、自信を回復し性格も積極的になり、人生も変わっておられます。これからも、このような素晴らしい矯正歯科治療をご提供し、ご来院の皆様に喜んでいただけるように努めてまいります。

当院では低年齢の小児でないと対応できない矯正を行っています。

低年齢での小児矯正の特徴として、歯並びが悪くなる大元の原因から治すことができますので、大人の矯正よりも格段に綺麗に治り、歯を抜かなくて済んだり、お顔の骨格自体が綺麗になったり、身体全身が健康になったりという素晴らしいメリットがあります。

お問い合わせから治療までの流れ

矯正治療の流れ

診療

矯正治療は無料相談から始まり、患者の状態に合わせたカウンセリング、口腔内検査を経て、治療方法、期間、費用を説明します。

治療開始後は、オーダーメイドの矯正装置を使用し、定期的に調整や交換を行いながら進めます。

治療終了後は後戻り防止のためリテーナーを装着し、定期的なメンテナンスで美しい歯並びを維持します。

矯正治療の第一歩はまず相談です。悩みや不安を抱えられた患者さんの話をしっかり伺い、問題を解決できるよう最適な治療をご提案します。まずはお気軽にご相談ください。

患者様に聞いた
当院を選んだ決め手

アンケート結果から分かった、大阪矯正歯科グループが支持されるポイントをご紹介します。

  • 女性
    わかりやすく説明してくれてよかった
    説明

    治療内容に関して専門用語を使わず、患者様へわかりやすく説明できるよう、心がけております。

  • 女性
    金額がわかりやすいので親切
    説明

    費用に関しては絶対に安心していただきたいので、お見積りを作成して治療費を明確にご説明しております。

  • 男性
    駅から近くて通いやすい
    女性

    駅近で便利なので通勤通学はもちろん、買い物ついででも通っていただくことができます。

  • 女性
    大きい歯医者なので安心
    女性

    当院は梅田・なんば・天王寺・心斎橋・京橋・豊中・吹田・茨木・高槻などに医院があります。

  • 女性
    知人から紹介された
    女性

    ご友人やお知り合いの方へご紹介いただくことが多いのも当院の特徴です。

  • 親子
    親子で通える
    親子

    当院は大人の矯正も子供の矯正も行っていますので親子や兄弟で通っていただいています。

  • 男性
    最新設備がたくさんあるので安心
    女性

    最新3DスキャナーiTero(アイテロ)などをはじめとした最新設備が充実しています。

  • 男性
    夜20時までしてて通いやすい
    夜20時まで診療

    当院は全ての医院が夜20時まで診療をしております。お仕事帰りに来られる方も多いです。

設備・サービス紹介
iTero(3D口腔内スキャナー)

iTero

iTero Elementでの光学スキャンによって、従来の不快な型取りから解放され、スピーディーに正確な歯のデータをデジタル化します。

これにより、治療計画の精度が向上し、治療後の歯並びも3Dシミュレーションできます。

セファログラム

セファロ

セファログラムはセファロレントゲン・頭部X線規格写真とも言われる顔面や頭部を側方(横顔)・正面から撮影するレントゲン写真です。

矯正治療の精密検査の際に撮影することが多く、お顔や頭の骨格を分析・診断します。

カウンセリングルーム

カウンセリングルーム

カウンセリングルームは患者さんのご希望や悩みを深く理解するための場所です。

リラックスしてお話していただけるような環境づくりを心がけています。どんな小さなことでもどうぞお気軽にご相談ください。

エアフロー

エアフロー

当院では歯のクリーニングにエアフローという最新の器械を使用しています。微粒子のパウダーと水を歯に吹き付けて行うジェットクリーニングです。

矯正装置を付けてデコボコしている歯の表面の細かな部分の汚れもきれいに落とすことができ、矯正治療中の歯のメンテナンスでも活躍しています。

チャイルドルーム(無料託児)

チャイルドルーム

まつもと歯科(吹田)のみのサービスとなります。

まつもと歯科ではお母さんの診療中に無料でお子さんをお預かりする託児サービスを提供しています。0歳から幼稚園児まで対象で、事前予約が必要です。

よくあるご質問

Q. 矯正の費用はいくらですか?

マウスピース矯正は39万円(税抜)〜、ワイヤー矯正は26万円(税抜)〜です(症例や治療範囲により変わります)。初診カウンセリングは無料です。お気軽にご予約ください。

Q. 夜何時まで診療していますか?

夜8時まで診療しています(茨木院のみ夜7時まで)。詳しくはクリニック紹介ページをご確認ください。

Q. 矯正治療にはどんな方法がありますか?

一般的なワイヤー矯正や、歯の裏側に装置を付ける裏側矯正(舌側矯正)、透明なマウスピースで治すマウスピース矯正(インビザライン)などがあります。
小児矯正も行っておりますので、お子さんの歯並びのお悩みもお気軽にご相談ください。

Q. 矯正はどのくらい期間がかかりますか?

治療期間は歯並びの状態や治療方法によって異なりますが、目安として全体矯正は1〜3年程度、部分矯正は数ヶ月〜1年程度です。
初診カウンセリングで、あなたの歯並びに合わせた期間の見通しをご説明します。

Q. 前歯だけの部分矯正はできますか?

はい、部分矯正という方法で前歯だけを整えることが可能です。
ただし、歯並びや噛み合わせの状態によっては全体矯正が向く場合もありますので、まずは一度ご相談ください。

INFORMATION−お知らせ−

▲PAGETOP

矯正無料相談・予約
無料Web診断
LINE無料相談