


日帰り手術で骨ごと受け口が治る
受け口でお悩みの方は多いと思います。原因がわかっても簡単に治らない、大人が今更開始してもと治療期間や年齢などであきらめていませんか?
2時間で入院することなく日帰り手術で治る受け口の手術と全体的に小顔になる手術(セットバック手術(韓国では両顎手術))を行っています。
当院は今までの常識をくつがえす受け口手術のスペシャリストです。
2時間で人生が変わります。お顔の印象が変わると人と会うのが楽しくなり、自分に自信が持てるようになるのではないでしょうか。
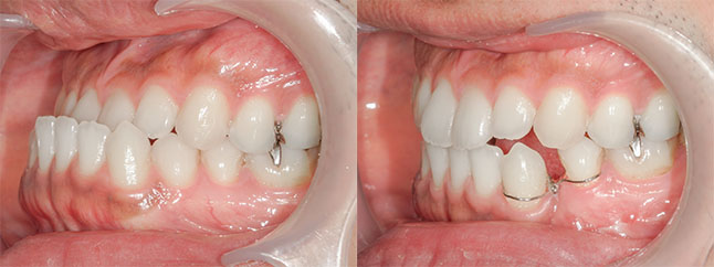
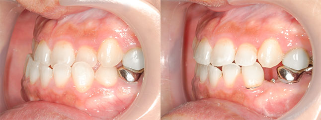
下あごの4番(赤い色で塗っている歯)を抜いて骨を切除し、前歯の部分を骨ごと後ろに下げます。あご先だけが前に残ってしまうので、あご先も切除します。


【治療内容】下あごが骨格ごと出ているため、下あごの4番の歯を抜き、残った前歯6本をその残ったスペースに骨ごと後退させてプレートで固定しました(下あごを骨格的に後退させる下あごセットバック)。また、あごのしゃくれの部分が出たまま残ってしまうので、しゃくれた部分は切除しました(オトガイ形成)。
カトレア歯科矯正歯科・美容クリニック
辻 和志 院長が全て執刀しております。執刀医のご紹介
※症例紹介の費用は掲載時点の金額です。治療費用は改定される場合がありますので、最新の料金はお問い合わせください。







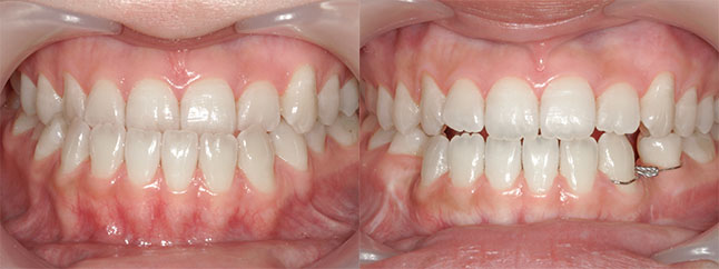
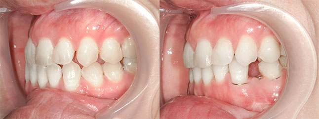
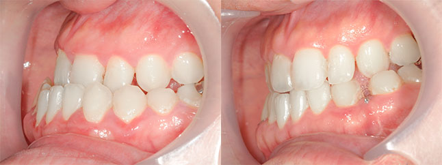
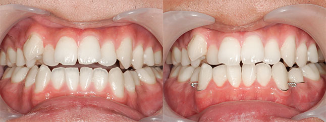
兵庫県 26歳 女性
執刀医 辻和志
【治療内容】下アゴ骨格ごとが前にでており、下のアゴの骨を切って後ろにさげました(下あごセットバック)。アゴ先も突出している部分を修正しました(オトガイ形成術)。
【費用】下顎セットバック+オトガイ形成術 1,867,800円(税込)
【リスク】全身麻酔で行うため全身の健康状態が悪い方は行うことができません。また、手術当日は安静にしていただく必要があります。






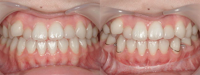
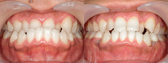
執刀医 辻和志
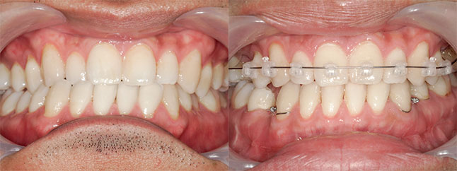
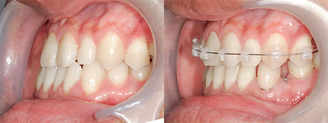
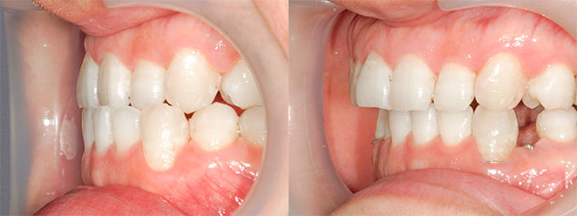
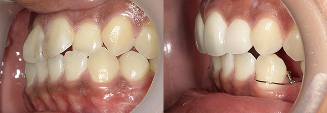
【治療内容】受け口、反対のかみ合わせを気にされて、当院にご相談にいらっしゃいました。
<下顎セットバック>
下の歯と歯茎を6oバック、3oダウンし固定しました。
<オトガイ形成術(広範囲)>
アゴ先の骨を前後的に4o、高さ最大6o、オトガイ孔を15o超える範囲で切除し少なくしました。
※受け口感が改善し、また、顎のボリュームもご満足いただけました。
※afterは術後6か月時の写真です。
【費用】下顎セットバック+オトガイ形成術(広範囲) 2,197,800円(税込)
【リスク】感染・腫れ・出血・知覚鈍麻など






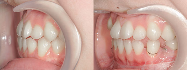
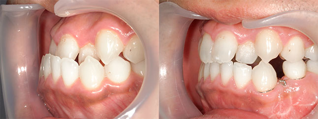
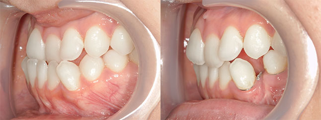
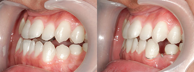
愛知県 24歳 男性
執刀医 辻和志
【治療内容】下顎セットバック+オトガイ形成術…と下のアゴとアゴ先が前にでていたため、下のアゴの骨を切って後ろに下げ、アゴ先を広範囲に切除しました。
【費用】下顎セットバック+オトガイ形成術(広範囲) 2,197,800円(税込)
【リスク】全身麻酔で行うため全身の状態が悪い方は行うことができません。また、手術当日は安静にしていただく必要があります。






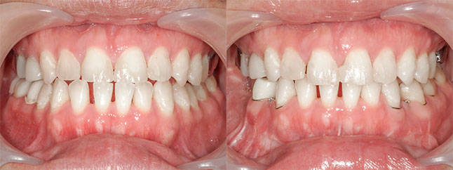
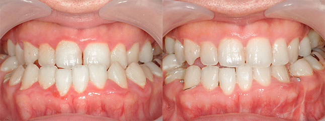
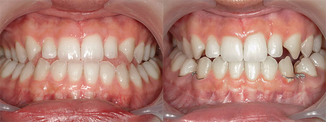
執刀医 辻和志
【治療内容】下顎セットバック+オトガイ形成術…と下のアゴとアゴ先が前にでていたため、下のアゴの骨を切って後ろに下げ、アゴ先を広範囲に切除しました。
【費用】下顎セットバック+オトガイ形成術(広範囲) 2,197,800円(税込)
【リスク】全身麻酔で行うため全身の状態が悪い方は行うことができません。また、手術当日は安静にしていただく必要があります。






執刀医 辻和志
【治療内容】受け口、反対のかみ合わせを気にされて、当院にご相談にいらっしゃいました。
下の歯茎が上の歯茎より5oほど前方に位置し、アゴ先のボリューム感を認めました。
<下顎セットバック>
下の歯と歯茎を5oバック、0oダウンし固定しました。
<オトガイ形成術(広範囲)>
アゴ先の骨を前後的に5o、高さ最大4o、オトガイ孔を15o超える範囲で切除し少なくしました。
※受け口感が改善し、また、顎のボリュームもご満足いただけました。
※afterは術後6か月時の写真です。
【費用】下顎セットバック+オトガイ形成術(広範囲) 2,197,800円(税込)
【リスク】感染・腫れ・出血・知覚鈍麻など






執刀医 辻和志
【治療内容】受け口、反対のかみ合わせを気にされて、当院にご相談にいらっしゃいました。
下の歯茎が上の歯茎より5oほど前方に位置し、アゴ先のボリューム感を認めました。
<下顎セットバック>
下の歯と歯茎を5oバック、3oダウンし固定しました。
<オトガイ形成術(広範囲)>
アゴ先の骨を前後的に6o、高さ最大4o、左右サイド最大6o幅で内側にそぎ取るように、オトガイ孔を15o超える範囲で切除し、少なくしました。
※受け口感が改善し、また、顎のボリュームもご満足いただけました。
※afterは術後6か月時の写真です。
【費用】下顎セットバック+オトガイ形成術(広範囲) 2,197,800円(税込)
【リスク】感染・腫れ・出血・知覚鈍麻など






執刀医 辻和志
【治療内容】受け口、反対のかみ合わせを気にされて、当院にご相談にいらっしゃいました。
下の歯茎が上の歯茎より5oほど前方に位置し、アゴ先のボリューム感を認めました。
<下顎セットバック>
下の歯と歯茎を6oバック、2oダウンし固定しました。
<オトガイ形成術(広範囲)>
アゴ先の骨を前後的に3o、高さ最大6o、オトガイ孔を15o超える範囲で切除し少なくしました。
※受け口感が改善し、また、顎のボリュームもご満足いただけました。
※afterは術後6か月時の写真です。
【費用】下顎セットバック+オトガイ形成術(広範囲) 2,197,800円(税込)
【リスク】感染・腫れ・出血・知覚鈍麻など






執刀医 辻和志
【治療内容】受け口、反対のかみ合わせを気にされて、当院にご相談にいらっしゃいました。
下の歯茎が上の歯茎より5oほど前方に位置し、アゴ先のボリューム感を認めました。
<下顎セットバック>
下の歯と歯茎を6oバック、2oアップし固定しました。
<オトガイ形成術(広範囲)>
アゴ先の骨を前後的に3o、高さ最大6o、オトガイ孔を15o超える範囲で切除し少なくしました。
※受け口感が改善し、また、顎のボリュームもご満足いただけました。
※afterは術後6か月時の写真です。
【費用】下顎セットバック+オトガイ形成術(広範囲) 2,197,800円(税込)
【リスク】感染・腫れ・出血・知覚鈍麻など






執刀医 辻和志
【治療内容】受け口、反対のかみ合わせを気にされて、当院にご相談にいらっしゃいました。
下の歯茎が上の歯茎より5oほど前方に位置し、アゴ先のボリューム感を認めました。
<下顎セットバック>
下の歯と歯茎を6oバック、5oダウンし固定しました。
<オトガイ形成術(広範囲)>
アゴ先の骨を前後的に3o、高さ最大6o、オトガイ孔を15o超える範囲で切除し少なくしました。
※受け口感が改善し、また、顎のボリュームもご満足いただけました。
※afterは術後6か月時の写真です。
【費用】下顎セットバック+オトガイ形成術(広範囲) 2,197,800円(税込)
【リスク】感染・腫れ・出血・知覚鈍麻など






執刀医 辻和志
【治療内容】受け口、反対のかみ合わせを気にされて、当院にご相談にいらっしゃいました。
下の歯茎が上の歯茎より5oほど前方に位置し、アゴ先のボリューム感を認めました。
<下顎セットバック>
下の歯と歯茎を5oバック、2oダウンし固定しました。
<オトガイ形成術(広範囲)>
アゴ先の骨を前後的に4o、高さ最大4o、オトガイ孔を15o超える範囲で切除し少なくしました。
※受け口感が改善し、また、顎のボリュームもご満足いただけました。
※afterは術後6か月時の写真です。
【費用】下顎セットバック+オトガイ形成術(広範囲) 2,197,800円(税込)
【リスク】感染・腫れ・出血・知覚鈍麻など






執刀医 辻和志
【治療内容】受け口、反対のかみ合わせを気にされて、当院にご相談にいらっしゃいました。
下の歯茎が上の歯茎より5oほど前方に位置し、アゴ先のボリューム感を認めました。
<下顎セットバック>
下の歯と歯茎を5oバック、2oダウンし固定しました。
<オトガイ形成術(広範囲)>
アゴ先の骨を前後的に1o、高さ最大5o、オトガイ孔を15o超える範囲で切除し少なくしました。
※受け口感が改善し、また、顎のボリュームもご満足いただけました。
※afterは術後6か月時の写真です。
【費用】下顎セットバック+オトガイ形成術(広範囲) 2,197,800円(税込)
【リスク】感染・腫れ・出血・知覚鈍麻など






執刀医 辻和志
【治療内容】受け口、反対のかみ合わせを気にされて、当院にご相談にいらっしゃいました。
下の歯茎が上の歯茎より5oほど前方に位置し、アゴ先のボリューム感を認めました。
<下顎セットバック>
下の歯と歯茎を6oバック、1oダウンし固定しました。
<オトガイ形成術(広範囲)>
アゴ先の骨を前後的に4o、高さ最大6o、オトガイ孔を15o超える範囲で切除し少なくしました。
※受け口感が改善し、また、顎のボリュームもご満足いただけました。
※afterは術後3か月時の写真です。
【費用】下顎セットバック+オトガイ形成術(広範囲) 2,197,800円(税込)
【リスク】感染・腫れ・出血・知覚鈍麻など






執刀医 辻和志
【治療内容】受け口、反対のかみ合わせを気にされて、当院にご相談にいらっしゃいました。
下の歯茎が上の歯茎より5oほど前方に位置し、アゴ先のボリューム感を認めました。
<下顎セットバック>
下の歯と歯茎を5oバック、2oダウンし固定しました。
<オトガイ形成術(広範囲)>
アゴ先の骨を前後的に3o、高さ最大6o、オトガイ孔を15o超える範囲で切除し少なくしました。
※受け口感が改善し、また、顎のボリュームもご満足いただけました。
※afterは術後3か月時の写真です。
【費用】下顎セットバック+オトガイ形成術(広範囲) 2,197,800円(税込)
【リスク】感染・腫れ・出血・知覚鈍麻など






執刀医 辻和志
【治療内容】受け口、反対のかみ合わせを気にされて、当院にご相談にいらっしゃいました。
下の歯茎が上の歯茎より5oほど前方に位置し、アゴ先のボリューム感を認めました。
<下顎セットバック>
下の歯と歯茎を5oバック、2oダウンし固定しました。
<オトガイ形成術(広範囲)>
アゴ先の骨を前後的に4o、高さ最大6o、オトガイ孔を15o超える範囲で切除し少なくしました。
※受け口感が改善し、また、顎のボリュームもご満足いただけました。
※afterは術後6か月時の写真です。
【費用】下顎セットバック+オトガイ形成術(広範囲) 2,197,800円(税込)
【リスク】感染・腫れ・出血・知覚鈍麻など






執刀医 辻和志
【治療内容】受け口、反対のかみ合わせを気にされて、当院にご相談にいらっしゃいました。
下の歯茎が上の歯茎より6oほど前方に位置し、アゴ先のボリューム感を認めました。
<下顎セットバック>
下の歯と歯茎を6oバック、3oダウンし固定しました。
<オトガイ形成術(広範囲)>
アゴ先の骨を前後的に5o、高さ最大6o、オトガイ孔を15o超える範囲で切除し少なくしました。
※受け口感が改善し、また、顎のボリュームもご満足いただけました。
※afterは術後6か月時の写真です。
【費用】下顎セットバック+オトガイ形成術(広範囲) 2,197,800円(税込)
【リスク】感染・腫れ・出血・知覚鈍麻など






執刀医 辻和志
【治療内容】受け口、反対のかみ合わせを気にされて、当院にご相談にいらっしゃいました。
下の歯茎が上の歯茎より3oほど前方に位置し、アゴ先のボリューム感を認めました。
<下顎セットバック>
下の歯と歯茎を5oバック、2oダウンし固定しました。
<オトガイ形成術(広範囲)>
オトガイ左変位で左オトガイの膨らみが強いので、オトガイ孔から後方に15o程度超える範囲で、オトガイ部を前後的に最大3oの幅、最大5oの高さ、左サイド最大6o、右サイド最大4o幅で滑らかに削合もしくは切除しました。
※受け口感が改善し、また、顎のボリュームもご満足いただけました。
※afterは術後6か月時の写真です。
【費用】下顎セットバック+オトガイ形成術(広範囲) 2,197,800円(税込)
【リスク】感染・腫れ・出血・知覚鈍麻など






執刀医 辻和志
【治療内容】受け口、反対のかみ合わせを気にされて、当院にご相談にいらっしゃいました。
下の歯茎が上の歯茎より5oほど前方に位置し、アゴ先のボリューム感を認めました。
<下顎セットバック>
下の歯と歯茎を5oバック、2oダウンし固定しました。
<オトガイ形成術(広範囲)>
アゴ先の骨を前後的に3o、高さ最大6o、オトガイ孔を15o超える範囲で切除し少なくしました。
※受け口感が改善し、また、顎のボリュームもご満足いただけました。
※afterは術後6か月時の写真です。
【費用】下顎セットバック+オトガイ形成術(広範囲) 2,197,800円(税込)
【リスク】感染・腫れ・出血・知覚鈍麻など






執刀医 辻和志
【治療内容】受け口、反対のかみ合わせを気にされて、当院にご相談にいらっしゃいました。
下の歯茎が上の歯茎より前方に位置し、アゴ先のボリューム感を認めました。
<下顎セットバック>
下の歯と歯茎を5oバック、1oダウンし固定しました。
<オトガイ形成術(広範囲)>
アゴ先の骨を前後的に3o、高さ最大6o、オトガイ孔を15o超える範囲で切除し少なくしました。
※受け口感が改善し、また、顎のボリュームもご満足いただけました。
※afterは術後6か月時の写真です。
【費用】下顎セットバック+オトガイ形成術(広範囲) 2,197,800円(税込)
【リスク】感染・腫れ・出血・知覚鈍麻など






執刀医 辻和志
【治療内容】受け口、反対のかみ合わせを気にされて、当院にご相談にいらっしゃいました。
下の歯茎が上の歯茎より前方に位置し、アゴ先のボリューム感を認めました。
<下顎セットバック>
下の歯と歯茎を4oバック、0oダウンし固定しました。
<オトガイ形成術(広範囲)>
アゴ先の骨を前後的に3o、高さ最大5o、オトガイ孔を15o超える範囲で切除し少なくしました。
※afterは術後3か月時の写真です。
【費用】下顎セットバック+オトガイ形成術(広範囲) 2,197,800円(税込)
【リスク】感染・腫れ・出血・知覚鈍麻など






執刀医 辻和志
【治療内容】受け口、反対のかみ合わせを気にされて、当院にご相談にいらっしゃいました。
下の歯茎が上の歯茎より3oほど前方に位置し、アゴ先のボリューム感を認めました。
<下顎セットバック>
下の歯と歯茎を4oバック、1oダウンし固定しました。
<オトガイ形成術(広範囲)>
アゴ先の骨を前後的に4o、高さ最大5o、オトガイ孔を15o超える範囲で切除し少なくしました。
※受け口感が改善し、また、顎のボリュームもご満足いただけました。
※afterは術後3か月時の写真です。
【費用】下顎セットバック+オトガイ形成術(広範囲) 2,197,800円(税込)
【リスク】感染・腫れ・出血・知覚鈍麻など






執刀医 辻和志
【治療内容】受け口、反対のかみ合わせを気にされて、当院にご相談にいらっしゃいました。
下の歯茎が上の歯茎より5oほど前方に位置し、アゴ先のボリューム感を認めました。
<下顎セットバック>
下の歯と歯茎を5oバック、1oダウンし固定しました
<オトガイ形成術(広範囲)>
アゴ先の骨を前後的に3o、高さ最大3o、オトガイ孔を15o超える範囲で最大7oの幅で外側より切除し少なくしました。
※受け口感が改善し、また、顎のボリュームもご満足いただけました。
※afterは術後6か月時の写真です。
【費用】下顎セットバック+オトガイ形成術(広範囲) 2,197,800円(税込)
【リスク】感染・腫れ・出血・知覚鈍麻など






執刀医 辻和志
【治療内容】受け口、反対のかみ合わせを気にされて、当院にご相談にいらっしゃいました。
下の歯茎が上の歯茎より5oほど前方に位置し、アゴ先のボリューム感を認めました。
<下顎セットバック>
下の歯と歯茎を右2o左5oバック、0oダウンし固定しました。
<オトガイ形成術(広範囲)>
アゴ先の骨を前後的に5o、高さ最大5o、オトガイ孔を15o超える範囲で右サイド最大7、左サイド最大4o幅で滑らかに切除しました。
※受け口感が改善し、また、顎のボリュームもご満足いただけました。
※afterは術後3か月時の写真です。
【費用】下顎セットバック+オトガイ形成術(広範囲) 2,197,800円(税込)
【リスク】感染・腫れ・出血・知覚鈍麻など






執刀医 辻和志
【治療内容】受け口、反対のかみ合わせを気にされて、当院にご相談にいらっしゃいました。
下の歯茎が上の歯茎より5oほど前方に位置し、アゴ先のボリューム感を認めました。
<下顎セットバック>
下の歯と歯茎を4oバック、1.5oダウンし固定しました。
<オトガイ形成術(広範囲)>
アゴ先の骨を前後的に3o、高さ最大4o、オトガイ孔を15o超える範囲で、右サイド最大6mm、左サイド最大6o幅で切除し少なくしました。
※受け口感が改善し、また、顎のボリュームもご満足いただけました。
※afterは術後6か月時の写真です。
【費用】下顎セットバック+オトガイ形成術(広範囲) 2,197,800円(税込)
【リスク】感染・腫れ・出血・知覚鈍麻など






執刀医 辻和志
【治療内容】受け口、反対のかみ合わせを気にされて、当院にご相談にいらっしゃいました。
下の歯茎が上の歯茎より5oほど前方に位置し、アゴ先のボリューム感を認めました。
<下顎セットバック>
下の歯と歯茎を5oバック、0oダウンし固定しました。
<オトガイ形成術(広範囲)>
アゴ先の骨を前後的に3o、高さ最大2o、オトガイ孔を15o超える範囲で内側にそぎ取るように最大6o幅で滑らかに切除しました。
※受け口感が改善し、また、顎のボリュームもご満足いただけました。
※afterは術後6か月時の写真です。
【費用】下顎セットバック+オトガイ形成術(広範囲) 2,197,800円(税込)
【リスク】感染・腫れ・出血・知覚鈍麻など






執刀医 辻和志
【治療内容】受け口、反対のかみ合わせを気にされて、当院にご相談にいらっしゃいました。
下の歯茎が上の歯茎より5oほど前方に位置し、アゴ先のボリューム感を認めました。
<下顎セットバック>
下の歯と歯茎を5oバック、1oアップし固定しました。
<オトガイ形成術(広範囲)>
アゴ先の骨を前後的に4o、高さ最大6o、オトガイ孔を15o超える範囲で切除し少なくしました。
※受け口感が改善し、また、顎のボリュームもご満足いただけました。
※afterは術後3か月時の写真です。
【費用】下顎セットバック+オトガイ形成術(広範囲) 2,197,800円(税込)
【リスク】感染・腫れ・出血・知覚鈍麻など






執刀医 辻和志
【治療内容】受け口、反対のかみ合わせを気にされて、当院にご相談にいらっしゃいました。
下の歯茎が上の歯茎より5oほど前方に位置し、アゴ先のボリューム感を認めました。
<下顎セットバック>
下の歯と歯茎を5oバック、2oダウンし固定しました。
<オトガイ形成術(広範囲)>
アゴ先の骨を前後的に4o、高さ最大6o、オトガイ孔を15o超える範囲で切除し少なくしました。
※受け口感が改善し、また、顎のボリュームもご満足いただけました。
※afterは術後6か月時の写真です。
【費用】下顎セットバック+オトガイ形成術(広範囲) 2,197,800円(税込)
【リスク】感染・腫れ・出血・知覚鈍麻など






執刀医 辻和志
【治療内容】受け口、反対のかみ合わせを気にされて、当院にご相談にいらっしゃいました。
下の歯茎が上の歯茎より5oほど前方に位置し、アゴ先のボリューム感を認めました。
<下顎セットバック>
下の歯と歯茎を5oバック、2oダウンし固定しました。
<オトガイ形成術(広範囲)>
アゴ先の骨を前後的に3o、高さ最大7o、オトガイ孔を15o超える範囲で切除し少なくしました。
※受け口感が改善し、また、顎のボリュームもご満足いただけました。
※afterは術後6か月時の写真です。
【費用】下顎セットバック+オトガイ形成術(広範囲) 2,197,800円(税込)
【リスク】感染・腫れ・出血・知覚鈍麻など






執刀医 辻和志
【治療内容】受け口、反対のかみ合わせを気にされて、当院にご相談にいらっしゃいました。
下の歯茎が上の歯茎より前方に位置し、アゴ先のボリューム感を認めました。
<下顎セットバック>
下の歯と歯茎を5oバック、2oダウンし固定しました。
<オトガイ形成術(広範囲)>
アゴ先の骨を前後的に3o、高さ最大5o、オトガイ孔を15o超える範囲で切除し少なくしました。
※受け口感が改善し、また、顎のボリュームもご満足いただけました。
※afterは術後6か月時の写真です。
【費用】下顎セットバック+オトガイ形成術(広範囲) 2,197,800円(税込)
【リスク】感染・腫れ・出血・知覚鈍麻など



執刀医 辻和志
【治療内容】受け口、反対のかみ合わせを気にされて、当院にご相談にいらっしゃいました。
下の歯茎が上の歯茎より5oほど前方に位置し、アゴ先のボリューム感を認めました。
<下顎セットバック>
下の歯と歯茎を5oバック、2oダウンし固定しました。
<オトガイ形成術(広範囲)>
アゴ先の骨を前後的に1o、高さ最大6o、オトガイ孔を15o超える範囲で切除し少なくしました。
※受け口感が改善し、また、顎のボリュームもご満足いただけました。
※afterは術後6か月時の写真です。
【費用】下顎セットバック+オトガイ形成術(広範囲) 2,197,800円(税込)
【リスク】感染・腫れ・出血・知覚鈍麻など






執刀医 辻和志
【治療内容】受け口、反対のかみ合わせを気にされて、当院にご相談にいらっしゃいました。
下の歯茎が上の歯茎より5oほど前方に位置し、アゴ先のボリューム感を認めました。
<下顎セットバック>
下の歯と歯茎を5oバック、0oダウンし固定しました。
<オトガイ形成術(広範囲)>
アゴ先の骨を前後的に4o、高さ最大5o、オトガイ孔を15o超える範囲で切除し少なくしました。
※受け口感が改善し、また、顎のボリュームもご満足いただけました。
※afterは術後6か月時の写真です。
【費用】下顎セットバック+オトガイ形成術(広範囲) 2,197,800円(税込)
【リスク】感染・腫れ・出血・知覚鈍麻など






執刀医 辻和志
【治療内容】受け口、反対のかみ合わせを気にされて、当院にご相談にいらっしゃいました。
下の歯茎が上の歯茎より5oほど前方に位置し、アゴ先のボリューム感を認めました。
<下顎セットバック>
下の歯と歯茎を4oバック、0oダウンし固定しました。
<オトガイ形成術(広範囲)>
アゴ先の骨を前後的に1o、高さ最大6o、オトガイ孔を15o超える範囲で切除し少なくしました。
※受け口感が改善し、また、顎のボリュームもご満足いただけました。
※afterは術後6か月時の写真です。
【費用】下顎セットバック+オトガイ形成術(広範囲) 2,197,800円(税込)
【リスク】感染・腫れ・出血・知覚鈍麻など






執刀医 辻和志
【治療内容】受け口、反対のかみ合わせを気にされて、当院にご相談にいらっしゃいました。
下の歯茎が上の歯茎より5oほど前方に位置し、アゴ先のボリューム感を認めました。
<下顎セットバック>
下の歯と歯茎を5oバック、1oダウンし固定しました。
<オトガイ形成術(広範囲)>
アゴ先の骨を前後的に3o、高さ最大6o、オトガイ孔を15o超える範囲で切除し少なくしました。
※受け口感が改善し、また、顎のボリュームもご満足いただけました。
※afterは術後6か月時の写真です。
【費用】下顎セットバック+オトガイ形成術(広範囲) 2,197,800円(税込)
【リスク】感染・腫れ・出血・知覚鈍麻など






執刀医 辻和志
【治療内容】受け口、反対のかみ合わせを気にされて、当院にご相談にいらっしゃいました。
下の歯茎が上の歯茎より5oほど前方に位置し、アゴ先のボリューム感を認めました。
<下顎セットバック>
下の歯と歯茎を5oバック、2oダウンし固定しました。
<オトガイ形成術(広範囲)>
アゴ先の骨を前後的に1o、高さ最大6o、オトガイ孔を15o超える範囲で切除し少なくしました。
※受け口感が改善し、また、顎のボリュームもご満足いただけました。
※afterは術後3か月時の写真です。
【費用】下顎セットバック+オトガイ形成術(広範囲) 2,197,800円(税込)
【リスク】感染・腫れ・出血・知覚鈍麻など




執刀医 辻和志
【治療内容】受け口、反対のかみ合わせを気にされて、当院にご相談にいらっしゃいました。
アゴ先のボリューム感を認めました。
<下顎セットバック>
下の歯と歯茎を5oバックし固定しました。
<Vライン形成術>
アゴ先の骨を前後的に3o、高さ最大8o、下顎角(エラ)にかけて高さ8oの幅で切除し少なくしました。
※受け口感が改善し、また、顎のボリュームもご満足いただけました。
※afterは術後6か月時の写真です。
【費用】下顎セットバック+Vライン形成術 3,185,600円(税込)
【リスク】感染・腫れ・出血・知覚鈍麻など






執刀医 辻和志
【治療内容】受け口、反対のかみ合わせを気にされて、当院にご相談にいらっしゃいました。
下の歯茎が上の歯茎より5oほど前方に位置し、アゴ先のボリューム感を認めました。
<下顎セットバック>
下の歯と歯茎を4oバック、2oアップし固定しました。
<オトガイ形成術(広範囲)>
アゴ先の骨を前後的に3o、高さ最大3o、オトガイ孔を15o超える範囲で最大6o幅で滑らかに切除し少なくしした。
※受け口感が改善し、また、顎のボリュームもご満足いただけました。
※afterは術後6か月時の写真です。
【費用】下顎セットバック+オトガイ形成術(広範囲) 2,197,800円(税込)
【リスク】感染・腫れ・出血・知覚鈍麻など






執刀医 辻和志
【治療内容】受け口、反対のかみ合わせを気にされて、当院にご相談にいらっしゃいました。
下の歯茎が上の歯茎より5oほど前方に位置し、アゴ先のボリューム感を認めました。
<下顎セットバック>
下の歯と歯茎を5oバック、2oダウンし固定しました。
<オトガイ形成術(広範囲)>
アゴ先の骨を前後的に4o、高さ最大5o、オトガイ孔を15o超える範囲でオトガイ部を前後的に最大3oの幅、オトガイ先端部で高さ7o、右サイド最大6、左サイド最大6o幅で滑らかに切除しました。
※受け口感が改善し、また、顎のボリュームもご満足いただけました。
※afterは術後3か月時の写真です。
【費用】下顎セットバック+オトガイ形成術(広範囲) 2,197,800円(税込)
【リスク】感染・腫れ・出血・知覚鈍麻など






執刀医 辻和志
【治療内容】受け口、反対のかみ合わせを気にされて、当院にご相談にいらっしゃいました。
下の歯茎が上の歯茎より5oほど前方に位置し、アゴ先のボリューム感を認めました。
<下顎セットバック>
下の歯と歯茎を●5oバック、●2oアップし固定しました。
<オトガイ形成術(広範囲)>
アゴ先の骨を前後的に5o、高さ最大6o、オトガイ孔を15o超える範囲で切除し少なくしました。
※受け口感が改善し、また、顎のボリュームもご満足いただけました。
※afterは術後6か月時の写真です。
【費用】下顎セットバック+オトガイ形成術(広範囲) 2,197,800円(税込)
【リスク】感染・腫れ・出血・知覚鈍麻など






執刀医 辻和志
【治療内容】受け口、反対のかみ合わせを気にされて、当院にご相談にいらっしゃいました。
下の歯茎が上の歯茎より5oほど前方に位置し、アゴ先のボリューム感を認めました。
<下顎セットバック>
下の歯と歯茎を5oバック、2oアップし固定しました。
<オトガイ形成術(広範囲)>
アゴ先の骨を前後的に2o、高さ最大5o、オトガイ孔を15o超える範囲で切除し少なくしました。
※受け口感が改善し、また、顎のボリュームもご満足いただけました。
※afterは術後6か月時の写真です。
【費用】下顎セットバック+オトガイ形成術(広範囲) 2,197,800円(税込)
【リスク】感染・腫れ・出血・知覚鈍麻など






執刀医 辻和志
【治療内容】受け口、反対のかみ合わせを気にされて、当院にご相談にいらっしゃいました。
下の歯茎が上の歯茎より8oほど前方に位置し、アゴ先のボリューム感を認めました。
<下顎セットバック>
下の歯と歯茎を6oバック、4oダウンし固定しました。
<オトガイ形成術(広範囲)>
アゴ先の骨を前後的に0o、高さ最大4o、オトガイ孔を15o超える範囲で切除し少なくしました。
※割球的に受け口感が改善し、また、顎のボリュームもご満足いただけました。
※afterは術後6か月時の写真です。
【費用】下顎セットバック+オトガイ形成術(広範囲) 2,197,800円(税込)
【リスク】感染・腫れ・出血・知覚鈍麻など






執刀医 辻和志
【治療内容】受け口、反対のかみ合わせを気にされて、当院にご相談にいらっしゃいました。
下の歯茎が上の歯茎より5oほど前方に位置し、アゴ先のボリューム感を認めました。
<下顎セットバック>
下の歯と歯茎を6oバック、1oダウンし固定しました。
<オトガイ形成術(広範囲)>
アゴ先の骨を前後的に4o、高さ最大6o、オトガイ孔を15o超える範囲で切除し少なくしました。
※受け口感が改善し、また、顎のボリュームもご満足いただけました。
※afterは術後6か月時の写真です。
【費用】下顎セットバック+オトガイ形成術(広範囲) 2,197,800円(税込)
【リスク】感染・腫れ・出血・知覚鈍麻など






執刀医 辻和志
【治療内容】受け口、反対のかみ合わせを気にされて、当院にご相談にいらっしゃいました。
下の歯茎が上の歯茎より6oほど前方に位置し、アゴ先のボリューム感を認めました。
<下顎セットバック>
下の歯と歯茎を6oバック、2oダウンし固定しました。
<オトガイ形成術(広範囲)>
アゴ先の骨を前後的に4o、高さ最大4o、オトガイ孔を15o超える範囲で切除し少なくしました。
※受け口感が改善し、また、顎のボリュームもご満足いただけました。
※afterは術後6か月時の写真です。
【費用】下顎セットバック+オトガイ形成術(広範囲) 2,197,800円(税込)
【リスク】感染・腫れ・出血・知覚鈍麻など






執刀医 辻和志
【治療内容】受け口、反対のかみ合わせを気にされて、当院にご相談にいらっしゃいました。 下の歯茎が上の歯茎より5oほど前方に位置し、アゴ先のボリューム感を認めました。
<下顎セットバック>
下の歯と歯茎を5oバック、2oダウンし固定しました。
<オトガイ形成術(広範囲)>
アゴ先の骨を前後的に3o、高さ最大5o、オトガイ孔を15o超える範囲で切除し少なくしました。
※受け口感が改善し、また、顎のボリュームもご満足いただけました。
※afterは術後3か月時の写真です。
【費用】下顎セットバック+オトガイ形成術(広範囲) 2,197,800円(税込)
【リスク】感染・腫れ・出血・知覚鈍麻など






執刀医 辻和志
【治療内容】受け口、反対のかみ合わせを気にされて、当院にご相談にいらっしゃいました。
下の歯茎が上の歯茎より1oほど前方に位置し、アゴ先のボリューム感を認めました。
<下顎セットバック>
下の歯と歯茎を4oバック、0oダウンし固定しました。
<オトガイ形成術(広範囲)>
アゴ先の骨を前後的に3o、高さ最大5o、オトガイ孔を15o超える範囲で切除し少なくしました。
※受け口感が改善し、また、顎のボリュームもご満足いただけました。
※afterは術後3か月時の写真です。
【費用】下顎セットバック+オトガイ形成術(広範囲) 2,197,800円(税込)
【リスク】感染・腫れ・出血・知覚鈍麻など






執刀医 辻和志
【治療内容】受け口、反対のかみ合わせを気にされて、当院にご相談にいらっしゃいました。
下の歯茎が上の歯茎より前方に位置し、アゴ先のボリューム感を認めました。
<下顎セットバック>
下の歯と歯茎を5oバック、1oアップし固定しました。
<オトガイ形成術(広範囲)>
アゴ先の骨を前後的に3o、高さ最大6o、オトガイ孔を15o超える範囲で切除し少なくしました。
※受け口感が改善し、また、顎のボリュームもご満足いただけました。
※afterは術後6か月時の写真です。
【費用】下顎セットバック+オトガイ形成術(広範囲) 2,197,800円(税込)
【リスク】感染・腫れ・出血・知覚鈍麻など






執刀医 辻和志
【治療内容】受け口、反対のかみ合わせを気にされて、当院にご相談にいらっしゃいました。
下の歯茎が上の歯茎より前方に位置し、アゴ先のボリューム感を認めました。
<下顎セットバック>
下の歯と歯茎を6oバック、0oダウンし固定しました。
<オトガイ形成術(広範囲)>
アゴ先の骨を前後的に3o、高さ最大5o、オトガイ孔を15o超える範囲で切除し少なくしました。
※受け口感が改善し、また、顎のボリュームもご満足いただけました。
※afterは術後6か月時の写真です。
【費用】下顎セットバック+オトガイ形成術(広範囲) 2,197,800円(税込)
【リスク】感染・腫れ・出血・知覚鈍麻など






執刀医 辻和志
【治療内容】受け口、反対のかみ合わせを気にされて、当院にご相談にいらっしゃいました。
下の歯茎が上の歯茎より前方に位置し、アゴ先のボリューム感を認めました。
<下顎セットバック>
下の歯と歯茎を4oバック、2oダウンし固定しました。
<オトガイ形成術(広範囲)>
アゴ先の骨を前後的に4o、高さ最大4o、オトガイ孔を15o超える範囲で切除し少なくしました。
※受け口感が改善し、また、顎のボリュームもご満足いただけました。
※afterは術後3か月時の写真です。
【費用】下顎セットバック+オトガイ形成術(広範囲) 2,197,800円(税込)
【リスク】感染・腫れ・出血・知覚鈍麻など






執刀医 辻和志
【治療内容】受け口、反対のかみ合わせを気にされて、当院にご相談にいらっしゃいました。
<下顎セットバック>
下の歯と歯茎を4oバックし固定しました。
<オトガイ形成術(広範囲)>
アゴ先の骨を前後的に3o、高さ最大6o、オトガイ孔を15o超える範囲で切除し少なくしました。
※受け口感が改善し、また、顎のボリュームもご満足いただけました。
※afterは術後6か月時の写真です。
【費用】下顎セットバック+オトガイ形成術(広範囲) 2,197,800円(税込)
【リスク】感染・腫れ・出血・知覚鈍麻など






執刀医 辻和志
【治療内容】受け口、反対のかみ合わせを気にされて、当院にご相談にいらっしゃいました。
<下顎セットバック>
下の歯と歯茎を6oバックし固定しました。
<オトガイ形成術(広範囲)>
アゴ先の骨を前後的に1o、高さ最大5o、オトガイ孔を15o超える範囲で切除し少なくしました。
※受け口感が改善し、また、顎のボリュームもご満足いただけました。
※afterは術後3か月時の写真です。
【費用】下顎セットバック+オトガイ形成術(広範囲) 2,197,800円(税込)
【リスク】感染・腫れ・出血・知覚鈍麻など






執刀医 辻和志
【治療内容】受け口、反対のかみ合わせを気にされて、当院にご相談にいらっしゃいました。
下の歯茎が上の歯茎より5oほど前方に位置し、アゴ先のボリューム感を認めました。
<下顎セットバック>
下の歯と歯茎を6oバック、2oダウンし固定しました。
<オトガイ形成術(広範囲)>
アゴ先の骨を前後的に2o、高さ最大4o、オトガイ孔を15o超える範囲で切除し少なくしました。
※受け口感が改善し、また、顎のボリュームもご満足いただけました。
※afterは術後6か月時の写真です。
【費用】下顎セットバック+オトガイ形成術(広範囲) 2,197,800円(税込)
【リスク】感染・腫れ・出血・知覚鈍麻など






執刀医 辻和志
【治療内容】受け口、反対のかみ合わせを気にされて、当院にご相談にいらっしゃいました。
下の歯茎が上の歯茎より3oほど前方に位置し、アゴ先のボリューム感を認めました。
<下顎セットバック>
下の歯と歯茎を4oバック、1oダウンし固定しました。
<オトガイ形成術(広範囲)>
アゴ先の骨を前後的に4o、高さ最大5o、オトガイ孔を15o超える範囲で切除し少なくしました。
※受け口感が改善し、また、顎のボリュームもご満足いただけました。
※afterは術後6か月時の写真です。
【費用】下顎セットバック+オトガイ形成術(広範囲) 2,197,800円(税込)
【リスク】感染・腫れ・出血・知覚鈍麻など






執刀医 辻和志
【治療内容】受け口、反対のかみ合わせを気にされて、当院にご相談にいらっしゃいました。
<下顎セットバック>
下の歯と歯茎を4oバック、3oダウンし固定しました。
<オトガイ形成術(広範囲)>
アゴ先の骨を前後的に3o、高さ最大6o、オトガイ孔を15o超える範囲で切除し少なくしました。
※受け口感が改善し、また、顎のボリュームもご満足いただけました。
※afterは術後3か月時の写真です。
【費用】下顎セットバック+オトガイ形成術(広範囲) 2,197,800円(税込)
【リスク】感染・腫れ・出血・知覚鈍麻など






執刀医 辻和志
【治療内容】受け口、反対のかみ合わせを気にされて、当院にご相談にいらっしゃいました。
<下顎セットバック>
下の歯と歯茎を5oバック、1oダウンし固定しました。
<オトガイ形成術(広範囲)>
アゴ先の骨を前後的に3o、高さ最大5o、オトガイ孔を15o超える範囲で切除し少なくしました。
※受け口感が改善し、また、顎のボリュームもご満足いただけました。
※afterは術後3か月時の写真です。
【費用】下顎セットバック+オトガイ形成術(広範囲) 2,197,800円(税込)
【リスク】感染・腫れ・出血・知覚鈍麻など






執刀医 辻和志
【治療内容】受け口、反対のかみ合わせを気にされて、当院にご相談にいらっしゃいました。
<下顎セットバック>
下の歯と歯茎を4oバック、0oダウンし固定しました。
<オトガイ形成術(広範囲)>
アゴ先の骨を前後的に3o、高さ最大6o、オトガイ孔を15o超える範囲で切除し少なくしました。
※受け口感が改善し、また、顎のボリュームもご満足いただけました。
※afterは術後6か月時の写真です。
【費用】下顎セットバック+オトガイ形成術(広範囲) 2,197,800円(税込)
【リスク】感染・腫れ・出血・知覚鈍麻など






執刀医 辻和志
【治療内容】下顎セットバック+オトガイ形成術…と下のアゴとアゴ先が前にでていたため、下のアゴの骨を切って後ろに下げ、アゴ先を広範囲に切除しました。
【費用】下顎セットバック+オトガイ形成術(広範囲) 2,197,800円(税込)
【リスク】全身麻酔で行うため全身の状態が悪い方は行うことができません。また、手術当日は安静にしていただく必要があります。






執刀医 辻和志
【治療内容】下顎セットバック+オトガイ形成術…と下のアゴとアゴ先が前にでていたため、下のアゴの骨を切って後ろに下げ、アゴ先を広範囲に切除しました。
【費用】下顎セットバック+オトガイ形成術(広範囲) 2,197,800円(税込)
【リスク】全身麻酔で行うため全身の状態が悪い方は行うことができません。また、手術当日は安静にしていただく必要があります。






執刀医 辻和志
【治療内容】下顎セットバック+オトガイ形成術…と下のアゴとアゴ先が前にでていたため、下のアゴの骨を切って後ろに下げ、アゴ先を広範囲に切除しました。
【費用】下顎セットバック+オトガイ形成術(広範囲) 2,197,800円(税込)
【リスク】全身麻酔で行うため全身の状態が悪い方は行うことができません。また、手術当日は安静にしていただく必要があります。






執刀医 辻和志
【治療内容】下顎セットバック+オトガイ形成術…と下のアゴとアゴ先が前にでていたため、下のアゴの骨を切って後ろに下げ、アゴ先を広範囲に切除しました。
【費用】下顎セットバック+オトガイ形成術(広範囲) 2,197,800円(税込)
【リスク】全身麻酔で行うため全身の状態が悪い方は行うことができません。また、手術当日は安静にしていただく必要があります。






執刀医 辻和志
【治療内容】下顎セットバック+オトガイ形成術…と下のアゴとアゴ先が前にでていたため、下のアゴの骨を切って後ろに下げ、アゴ先を広範囲に切除しました。
【費用】下顎セットバック+オトガイ形成術(広範囲) 2,197,800円(税込)
【リスク】全身麻酔で行うため全身の状態が悪い方は行うことができません。また、手術当日は安静にしていただく必要があります。






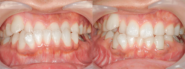
大阪府 24歳 男性
執刀医 辻和志
【治療内容】下顎セットバック+オトガイ形成術…と下のアゴとアゴ先が前にでていたため、下のアゴの骨を切って後ろに下げ、アゴ先を広範囲に切除しました。
【費用】下顎セットバック+オトガイ形成術(広範囲) 2,197,800円(税込)
【リスク】全身麻酔で行うため全身の状態が悪い方は行うことができません。また、手術当日は安静にしていただく必要があります。






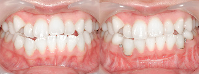
京都府 26歳 男性
執刀医 辻和志
【治療内容】下顎セットバック+オトガイ形成術…と下のアゴとアゴ先が前にでていたため、下のアゴの骨を切って後ろに下げ、アゴ先を広範囲に切除しました。
【費用】下顎セットバック+オトガイ形成術(広範囲) 2,197,800円(税込)
【リスク】全身麻酔で行うため全身の状態が悪い方は行うことができません。また、手術当日は安静にしていただく必要があります。






大阪府 19歳 女性
執刀医 辻和志
【治療内容】下顎セットバック+オトガイ形成術…と下のアゴとアゴ先が前にでていたため、下のアゴの骨を切って後ろに下げ、アゴ先を広範囲に切除しました。
【費用】下顎セットバック+オトガイ形成術(広範囲) 2,197,800円(税込)
【リスク】全身麻酔で行うため全身の状態が悪い方は行うことができません。また、手術当日は安静にしていただく必要があります。
下あごセットバック手術は日帰り手術で、麻酔で寝ている間に2時間で受け口が治ります。
この手術はお口の中から行うのでお顔に傷は全く残りません。
受け口を矯正治療で治すと、装置やワイヤーなどで歯並びはキレイになりますが、骨格自体は治らないのです。
骨格自体が治れば、お顔そのものが大きく変わります。アゴが出てしゃくれた感じが治り、別人のように美しくなれます。
幼い頃から受け口やしゃくれにコンプレックスを抱えたり、辛い思いをされた方々の治療をこれまで数多く担当してきました。そのような経験を持つ方々の気持ちに寄り添い、心から味方でありたいと思っています。
手術は麻酔で眠っている間に2時間で終わります。ぜひ、コンプレックスから解放されて、新たな一歩を踏み出してみませんか?

横顔の鼻の頭とアゴを結んだEライン(横顔)がとてもキレイになります。
詳しい説明
反対咬合により一般的な下アゴを引っ込める保険適用手術(SSRO)の場合は、まずは手術前に2年くらいの矯正が必要になります。(術前矯正)
そして手術の直後2週間は、顎間固定(がくかんこてい)と言われるもので、上顎下顎双方をワイヤーで固定しないといけません。その間は流動食を歯のすき間から流しこむことになります。
さらに手術後に術後矯正が1年くらい必要になるため、トータルの治療期間は平均4〜5年かかる治療計画だと言えます。
それに比べ、下あごのセットバック法は、わずか2時間程度で手術が終わります。食事も当日から可能です。
下あごの前歯6本分の骨だけを動かすため、下あご全体を動かす手術 (SSRO)に比べて、手術のダメージが低い点です。
手術後も奥歯の噛み合わせが変わらず噛み合わせが安定しており、手術後に流動食にしなくて済みます。動かした前歯で噛まなければ手術後の早期から普通のお食事を取ることができます。
下の前歯が上の前歯よりも8mm以上前へ出ている場合や下アゴが左右に大きく位置がずれてる場合などはセットバックではなく、SSROなどの手術が必要になります。
セットバックでいけるか大きな手術が必要かはご自身での判断は難しいですが、かなり多くの場合セットバック手術が可能です。お気軽に相談ください。
手術はセットバックだけでなく、アゴ先を引っ込める手術もすることがあります。
下アゴのセットバックを行うと、アゴは確実に後ろに下がりますが、アゴ先だけが残されて、アゴ先が出てるように感じることがあります。
その為に、セットバックと同時にアゴ先も切ることが多いです。
つまり
@下アゴのセットバックだけをする場合
A下アゴのセットバックと、オトガイ形成も同時にする場合
セットバックだけのケースでいけるのか、もしくはアゴ先も同時に切って整えるのかは、カウンセリングで丁寧にご説明します。

2〜3時間

全身麻酔

入院なし

2週間
・通常は骨の連結部分は数か月から半年で骨がくっつきますが、稀にその場所に骨膜炎、骨髄炎などが起こると、癒合遅延や癒合不全などを起すこともあります。その際に再手術が必要になることもあり、有料になります。
・この手術は術後6か月間食事で注意していただく事があります。
骨の連結部分は2週間くらいで骨癒合が進み、ある程度はくっつきます。
ただ、その後も前歯で食べ物を思いっきり噛んだりすると、連結部が動く可能性があります。偽関節という状態となってしまいます。
そのため6か月間は前歯で思いっきり噛むのは避けてください。