



出っ歯や口ゴボは簡単に治らないと思ってる方は多いと思います。
2〜3時間で、しかも入院もせずに治ります。
当院は今までの常識を変える出っ歯手術のスペシャリストです!
本当に、2〜3時間で人生が変わります。出っ歯が治って口元が引っ込み、お顔の印象が変わると、人と会うのが楽しくなり、性格も積極的になり、同性にも異性にも印象が良くなります。

【治療内容】上下セットバック…上のアゴと下のアゴの両方が前に出ていた為、上下のアゴの骨を切って後ろに下げました。
【費用】上下セットバック 2,307,800円(税込)
【リスク】全身麻酔で行うため全身の健康状態が悪い方は行うことができません。また、手術当日は安静にしていただく必要があります。
上下の4番の歯を抜いて骨を切除し、前方から骨を取ったところまで水平に骨を切り、前歯の部分を骨ごと後ろに下げます(セットバック手術(韓国では両顎手術))。
この手術はお口の中から行うのでお顔に傷は全く残りません。

上下セットバック手術は日帰り手術で、麻酔で寝ている間に2〜3時間で口ゴボが治ります。
カトレア歯科矯正歯科・美容クリニック
辻 和志 院長が全て執刀しております。執刀医のご紹介
※症例紹介の費用は掲載時点の金額です。治療費用は改定される場合がありますので、最新の料金はお問い合わせください。






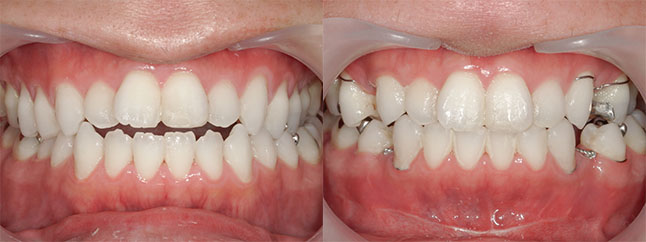
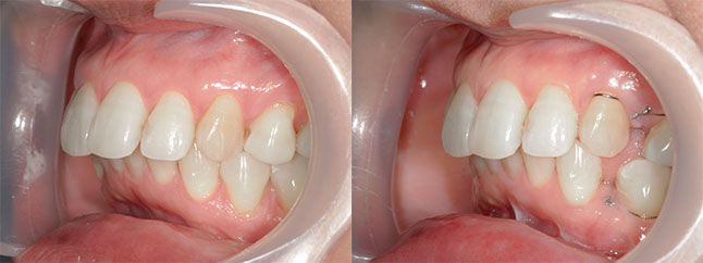
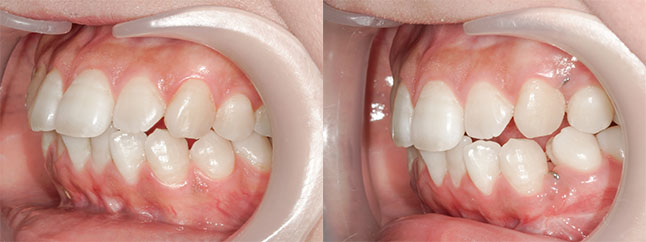
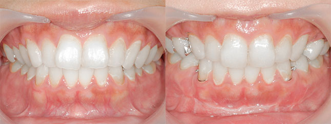
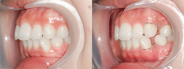
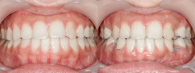
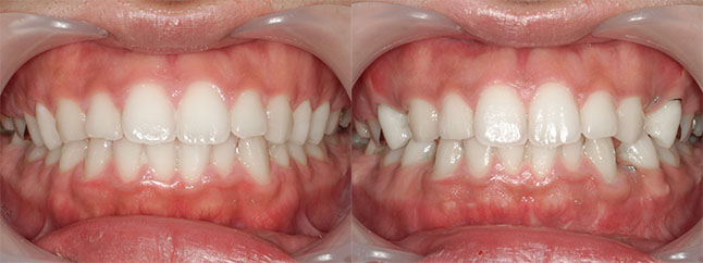
大阪府 19歳 男性
執刀医 辻和志
【治療内容】上下セットバック…上のアゴと下のアゴの両方が前に出ていた為、上下のアゴの骨を切って後ろに下げました。
【費用】上下セットバック 2,307,800円(税込)
【リスク】全身麻酔で行うため全身の健康状態が悪い方は行うことができません。また、手術当日は安静にしていただく必要があります。






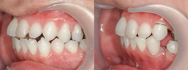
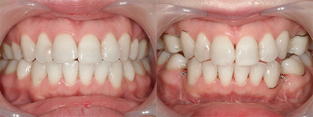
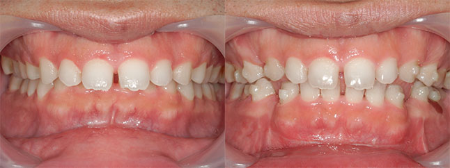
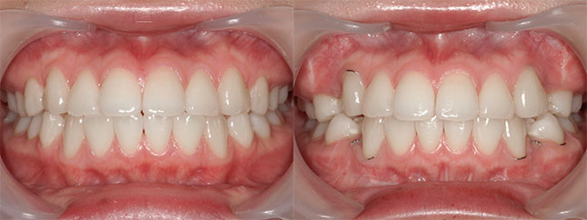
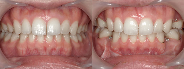
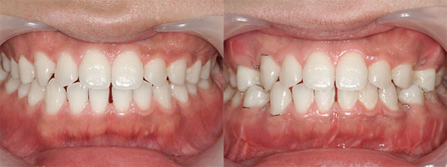
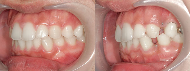
大阪府 22歳 女性
執刀医 辻和志
【治療内容】上のアゴと下のアゴの両方にこんもり感があったため、上下のアゴの骨をきって後ろに下げました。
【費用】上下セットバック 2,307,800円(税込)
【リスク】全身麻酔で行うため全身の健康状態が悪い方は行うことができません。また、手術当日は安静にしていただく必要があります。








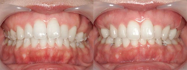
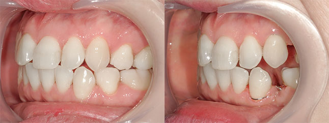
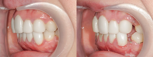
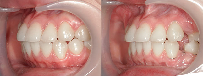
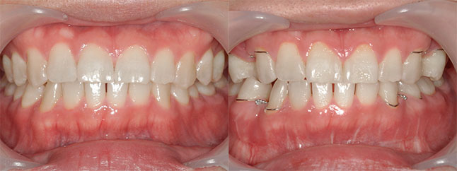
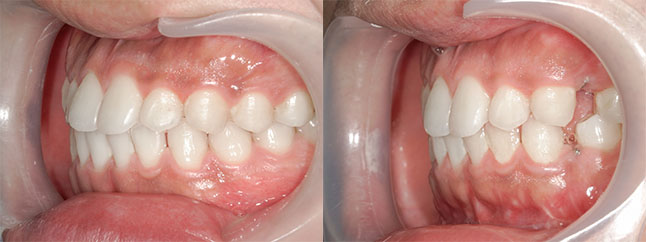
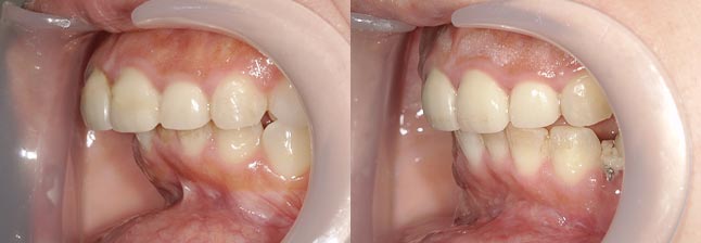
奈良県 20歳 女性
執刀医 辻和志
【治療内容】上下のアゴが前に出ていたため、上下のアゴの骨を切って後ろにさげました。
【費用】上下セットバック 2,307,800円(税込)
【リスク】全身麻酔で行うため全身の健康状態が悪い方は行うことができません。また、手術当日は安静にしていただく必要があります。






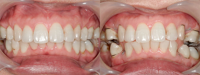
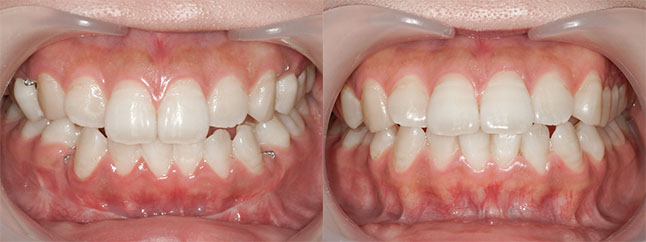
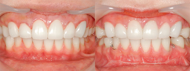
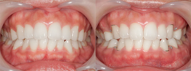
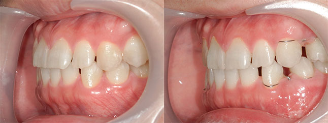
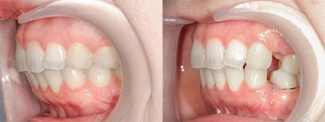
執刀医 辻和志
【治療内容】出っ歯、口元の膨らみが気になると当院を受診されました。上の前歯と歯茎が前方にポジショニングしており、下の前歯も歯茎から前に出ておりました。
<上下セットバック>
歯と歯茎を上は、5oバック、2oアップ、下は5oバックし固定しました。
※口ゴボ感が改善し、ご満足いただけました。
※afterは術後3か月時の写真です。
【費用】上下セットバック 2,307,800円(税込)
【リスク】感染・腫れ・出血・知覚鈍麻など






執刀医 辻和志
【治療内容】出っ歯、口元の膨らみが気になると当院を受診されました。上の前歯と歯茎が前方にポジショニングしており、下の前歯も歯茎から前に出ておりました。
<上下セットバック>
歯と歯茎を上は、5oバック、2oアップ、下は4oバックし固定しました。
※口ゴボ感が改善し、ご満足いただけました。
※afterは術後3か月時の写真です。
【費用】上下セットバック 2,307,800円(税込)
【リスク】感染・腫れ・出血・知覚鈍麻など






執刀医 辻和志
【治療内容】出っ歯、口元の膨らみが気になると当院を受診されました。上の前歯と歯茎が前方にポジショニングしており、下の前歯も歯茎から前に出ておりました。
<上下セットバック>
歯と歯茎を上は、4oバック、2oアップ、下は3oバック、1oダウンし固定しました。
※口ゴボ感が改善し、ご満足いただけました。
※afterは術後6か月時の写真です。
【費用】上下セットバック 2,307,800円(税込)
【リスク】感染・腫れ・出血・知覚鈍麻など






執刀医 辻和志
【治療内容】出っ歯、口元の膨らみが気になると当院を受診されました。上の前歯と歯茎が前方にポジショニングしており、下の前歯も歯茎から前に出ておりました。
<上下セットバック>
歯と歯茎を上は、5oバック、2oアップ、下は5oバック、1oダウンし固定しました。
※口ゴボ感が改善し、ご満足いただけました。
※afterは術後3か月時の写真です。
【費用】上下セットバック 2,307,800円(税込)
【リスク】感染・腫れ・出血・知覚鈍麻など






執刀医 辻和志
【治療内容】出っ歯、口元の膨らみが気になると当院を受診されました。上の前歯と歯茎が前方にポジショニングしており、下の前歯も歯茎から前に出ておりました。
<上下セットバック>
歯と歯茎を上は、4oバック、2oアップ、下は6oバック、2oダウンし固定しました。
<オトガイ形成術(広範囲)>
アゴ先の骨を前後的に2o、高さ最大2o、オトガイ孔を15o超える範囲でオトガイ側面を最大6o幅で外側からそぎ落とすように切除し少なくしました。
※口ゴボ感が改善し、顎の長さも短くなりご満足いただけました。
※afterは術後3か月時の写真です。
【費用】上下セットバック+オトガイ形成術(広範囲) 2,637,800円(税込)
【リスク】感染・腫れ・出血・知覚鈍麻など






執刀医 辻和志
【治療内容】出っ歯、口元の膨らみが気になると当院を受診されました。上の前歯と歯茎が前方にポジショニングしており、下の前歯も歯茎から前に出ておりました。
<上下セットバック>
歯と歯茎を上は、6oバック、2oアップ、下は5oバック、2oダウンし固定しました。
※口ゴボ感が改善し、ご満足いただけました。
※afterは術後3か月時の写真です。
【費用】上下セットバック 2,307,800円(税込)
【リスク】感染・腫れ・出血・知覚鈍麻など






執刀医 辻和志
【治療内容】出っ歯、口元の膨らみが気になると当院を受診されました。上の前歯と歯茎が前方にポジショニングしており、下の前歯も歯茎から前に出ておりました。
<上下セットバック>
歯と歯茎を上は、切縁部7oバック、2oアップ、下は切縁0oバック、3oダウンし固定しました。
※口ゴボ感が改善し、ご満足いただけました。
※今後矯正治療で歯並びを整えていきます。
※afterは術後6か月時の写真です。
【費用】上下セットバック 2,307,800円(税込)
【リスク】感染・腫れ・出血・知覚鈍麻など





執刀医 辻和志
【治療内容】出っ歯、口元の膨らみが気になると当院を受診されました。上の前歯と歯茎が前方にポジショニングしており、下の前歯も歯茎から前に出ておりました。
<上下セットバック>
歯と歯茎を上は、5oバック、2oアップ、下は4oバック、1oダウンし固定しました。
※口ゴボ感が改善し、ご満足いただけました。
※afterは術後6か月時の写真です。
【費用】上下セットバック 2,307,800円(税込)
【リスク】感染・腫れ・出血・知覚鈍麻など






執刀医 辻和志
【治療内容】出っ歯、口元の膨らみが気になると当院を受診されました。上の前歯と歯茎が前方にポジショニングしており、下の前歯も歯茎から前に出ておりました。
<上下セットバック>
歯と歯茎を上は、7oバック、2oアップ、下は4oバック、2oダウンし固定しました。
※口ゴボ感が改善し、ご満足いただけました。
※afterは術後6か月時の写真です。
【費用】上下セットバック 2,307,800円(税込)
【リスク】感染・腫れ・出血・知覚鈍麻など






執刀医 辻和志
【治療内容】出っ歯、口元の膨らみが気になると当院を受診されました。上の前歯と歯茎が前方にポジショニングしており、下の前歯も歯茎から前に出ておりました。
<上下セットバック>
歯と歯茎を上は、6oバック、2oアップ、下は5oバック、1oダウンし固定しました。
※口ゴボ感が改善し、ご満足いただけました。
※afterは術後6か月時の写真です。
【費用】上下セットバック 2,307,800円(税込)
【リスク】感染・腫れ・出血・知覚鈍麻など






執刀医 辻和志
【治療内容】出っ歯、口元の膨らみが気になると当院を受診されました。上の前歯と歯茎が前方にポジショニングしており、下の前歯も歯茎から前に出ておりました。
<上下セットバック>
歯と歯茎を上は、6oバック、2oアップ、下は6oバック、2oダウンし固定しました。
※口ゴボ感が改善し、ご満足いただけました。
※afterは術後6か月時の写真です。
【費用】上下セットバック 2,307,800円(税込)
【リスク】感染・腫れ・出血・知覚鈍麻など






執刀医 辻和志
【治療内容】出っ歯、口元の膨らみが気になると当院を受診されました。上の前歯と歯茎が前方にポジショニングしており、下の前歯も歯茎から前に出ておりました。
<上下セットバック>
歯と歯茎を上は、6oバック、2oアップ、下は2oバック、3oダウンし固定しました。
※口ゴボ感が改善し、ご満足いただけました。
※afterは術後6か月時の写真です。
【費用】上下セットバック 2,307,800円(税込)
【リスク】感染・腫れ・出血・知覚鈍麻など






執刀医 辻和志
【治療内容】出っ歯、口元の膨らみが気になると当院を受診されました。上の前歯と歯茎が前方にポジショニングしており、下の前歯も歯茎から前に出ておりました。
<上下セットバック>
歯と歯茎を上は、6oバック、2oアップ、下は5oバック、1oダウンし固定しました。
※口ゴボ感が改善し、ご満足いただけました。
※afterは術後6か月時の写真です。
【費用】上下セットバック 2,307,800円(税込)
【リスク】感染・腫れ・出血・知覚鈍麻など






執刀医 辻和志
【治療内容】出っ歯、口元の膨らみが気になると当院を受診されました。上の前歯と歯茎が前方にポジショニングしており、下の前歯も歯茎から前に出ておりました。
<上下セットバック>
歯と歯茎を上は、5oバック、2oアップ、下は5oバック、2oダウンし固定しました。
※口ゴボ感が改善し、ご満足いただけました。
※afterは術後6か月時の写真です。
【費用】上下セットバック 2,307,800円(税込)
【リスク】感染・腫れ・出血・知覚鈍麻など






執刀医 辻和志
【治療内容】出っ歯、口元の膨らみが気になると当院を受診されました。上の前歯と歯茎が前方にポジショニングしており、下の前歯も歯茎から前に出ておりました。
<上下セットバック>
歯と歯茎を上は、5oバック、2oアップ、下は5oバック、1oダウンし固定しました。
※口ゴボ感が改善し、ご満足いただけました。
※afterは術後3か月時の写真です。
【費用】上下セットバック 2,307,800円(税込)
【リスク】感染・腫れ・出血・知覚鈍麻など






執刀医 辻和志
【治療内容】出っ歯、口元の膨らみが気になると当院を受診されました。上の前歯と歯茎が前方にポジショニングしており、下の前歯も歯茎から前に出ておりました。
<上下セットバック>
歯と歯茎を上は、6oバック、2oアップ、下は4oバック、1oダウンし固定しました。
※口ゴボ感が改善し、ご満足いただけました。
※afterは術後6か月時の写真です。
【費用】上下セットバック 2,307,800円(税込)
【リスク】感染・腫れ・出血・知覚鈍麻など






執刀医 辻和志
【治療内容】出っ歯、口元の膨らみが気になると当院を受診されました。上の前歯と歯茎が前方にポジショニングしており、下の前歯も歯茎から前に出ておりました。
<上下セットバック>
歯と歯茎を上は、5oバック、2oアップ、下は6oバック、1oダウンし固定しました。
※口ゴボ感が改善し、ご満足いただけました。
※afterは術後6か月時の写真です。
【費用】上下セットバック 2,307,800円(税込)
【リスク】感染・腫れ・出血・知覚鈍麻など






執刀医 辻和志
【治療内容】出っ歯、口元の膨らみが気になると当院を受診されました。上の前歯と歯茎が前方にポジショニングしており、下の前歯も歯茎から前に出ておりました。
<上下セットバック>
歯と歯茎を上は、3oバック、1oアップ、下は6oバック、2oダウンし固定しました。
<オトガイ形成術(広範囲)>
過去にオトガイ形成(中抜き)をされており、不規則な吸収がすすんだオトガイ残存骨を移行的になるように骨切りしました。
※口ゴボ感が改善し、顎の長さも短くなりご満足いただけました。
※afterは術後6か月時の写真です。
【費用】上下セットバック+オトガイ形成術(広範囲) 2,637,800円(税込)
【リスク】感染・腫れ・出血・知覚鈍麻など






執刀医 辻和志
【治療内容】出っ歯、口元の膨らみが気になると当院を受診されました。上の前歯と歯茎が前方にポジショニングしており、下の前歯も歯茎から前に出ておりました。
<上下セットバック>
歯と歯茎を上は、6oバック、1oアップ、下は5oバック、1oダウンし固定しました。
※口ゴボ感が改善し、ご満足いただけました。
※afterは術後6か月時の写真です。
【費用】上下セットバック 2,307,800円(税込)
【リスク】感染・腫れ・出血・知覚鈍麻など






執刀医 辻和志
【治療内容】出っ歯、口元の膨らみが気になると当院を受診されました。上の前歯と歯茎が前方にポジショニングしており、下の前歯も歯茎から前に出ておりました。
<上下セットバック>
歯と歯茎を上は、5oバック、2oアップ、下は5oバック、1oダウンし固定しました。
※口ゴボ感が改善し、ご満足いただけました。
※afterは術後3か月時の写真です。
【費用】上下セットバック 2,307,800円(税込)
【リスク】感染・腫れ・出血・知覚鈍麻など






執刀医 辻和志
【治療内容】出っ歯、口元の膨らみが気になると当院を受診されました。上の前歯と歯茎が前方にポジショニングしており、下の前歯も歯茎から前に出ておりました。
<上下セットバック>
歯と歯茎を上は、6oバック、2oアップ、下は6oバック、2oダウンし固定しました。
※口ゴボ感が改善し、ご満足いただけました。
※afterは術後6か月時の写真です。
【費用】上下セットバック 2,307,800円(税込)
【リスク】感染・腫れ・出血・知覚鈍麻など






執刀医 辻和志
【治療内容】出っ歯、口元の膨らみが気になると当院を受診されました。上の前歯と歯茎が前方にポジショニングしており、下の前歯も歯茎から前に出ておりました。
<上下セットバック>
歯と歯茎を上は、5oバック、2oアップ、下は6oバック、2oダウンし固定しました。
※口ゴボ感が改善し、ご満足いただけました。
※afterは術後6か月時の写真です。
【費用】上下セットバック 2,307,800円(税込)
【リスク】感染・腫れ・出血・知覚鈍麻など






執刀医 辻和志
【治療内容】出っ歯、口元の膨らみが気になると当院を受診されました。上の前歯と歯茎が前方にポジショニングしており、下の前歯も歯茎から前に出ておりました。
<上下セットバック>
歯と歯茎を上は、5oバック、2oアップ、下は5oバック、2oダウンし固定しました。
※口ゴボ感が改善し、ご満足いただけました。
※afterは術後3か月時の写真です。
【費用】上下セットバック 2,307,800円(税込)
【リスク】感染・腫れ・出血・知覚鈍麻など






執刀医 辻和志
【治療内容】出っ歯、口元の膨らみが気になると当院を受診されました。上の前歯と歯茎が前方にポジショニングしており、下の前歯も歯茎から前に出ておりました。
<上下セットバック>
歯と歯茎を上は、6oバック、2oアップ、下は5oバック、2oダウンし固定しました。
※口ゴボ感が改善し、ご満足いただけました。
※afterは術後3か月時の写真です。
【費用】上下セットバック 2,307,800円(税込)
【リスク】感染・腫れ・出血・知覚鈍麻など






執刀医 辻和志
【治療内容】出っ歯、口元の膨らみが気になると当院を受診されました。上の前歯と歯茎が前方にポジショニングしており、下の前歯も歯茎から前に出ておりました。
<上下セットバック>
歯と歯茎を上は、5oバック、2oアップ、下は3oバック、1oダウンし固定しました。
※口ゴボ感が改善し、ご満足いただけました。
※afterは術後6か月時の写真です。
【費用】上下セットバック 2,307,800円(税込)
【リスク】感染・腫れ・出血・知覚鈍麻など






執刀医 辻和志
【治療内容】出っ歯、口元の膨らみが気になると当院を受診されました。上の前歯と歯茎が前方にポジショニングしており、下の前歯も歯茎から前に出ておりました。
<上下セットバック>
歯と歯茎を上は、5oバック、1oアップ、下は4oバック、1oダウンし固定しました。
※口ゴボ感が改善し、ご満足いただけました。
※afterは術後3か月時の写真です。
【費用】上下セットバック 2,307,800円(税込)
【リスク】感染・腫れ・出血・知覚鈍麻など






執刀医 辻和志
【治療内容】出っ歯、口元の膨らみが気になると当院を受診されました。上の前歯と歯茎が前方にポジショニングしており、下の前歯も歯茎から前に出ておりました。
<上下セットバック>
歯と歯茎を上は、5oバック、1oアップ、下は3oバック、1oダウンし固定しました。
※口ゴボ感が改善し、ご満足いただけました。
※afterは術後3か月時の写真です。
【費用】上下セットバック 2,307,800円(税込)
【リスク】感染・腫れ・出血・知覚鈍麻など






執刀医 辻和志
【治療内容】出っ歯、口元の膨らみが気になると当院を受診されました。上の前歯と歯茎が前方にポジショニングしており、下の前歯も歯茎から前に出ておりました。
<上下セットバック>
歯と歯茎を上は、4oバック、2oアップ、下は4oバック、2oダウンし固定しました。
※口ゴボ感が改善し、ご満足いただけました。
※afterは術後6か月時の写真です。
【費用】上下セットバック 2,307,800円(税込)
【リスク】感染・腫れ・出血・知覚鈍麻など






執刀医 辻和志
【治療内容】出っ歯、口元の膨らみが気になると当院を受診されました。上の前歯と歯茎が前方にポジショニングしており、下の前歯も歯茎から前に出ておりました。
<上下セットバック>
歯と歯茎を上は、5oバック、2oアップ、下は3oバック、1oダウンし固定しました。
※口ゴボ感が改善し、ご満足いただけました。
※afterは術後6か月時の写真です。
【費用】上下セットバック 2,307,800円(税込)
【リスク】感染・腫れ・出血・知覚鈍麻など






執刀医 辻和志
【治療内容】出っ歯、口元の膨らみが気になると当院を受診されました。上の前歯と歯茎が前方にポジショニングしており、下の前歯も歯茎から前に出ておりました。
<上下セットバック>
歯と歯茎を上は、6oバック、2oアップ、下は4oバック、2oダウンし固定しました。
<オトガイ形成術(広範囲)>
オトガイ孔から後方に15o程度超える範囲で、中央部で垂直的に最大6o幅で滑らかに切除しました。
※口ゴボ感が改善し、顎の長さも短くなりご満足いただけました。
※afterは術後6か月時の写真です。
【費用】上下セットバック+オトガイ形成術(広範囲) 2,637,800円(税込)
【リスク】感染・腫れ・出血・知覚鈍麻など






執刀医 辻和志
【治療内容】出っ歯、口元の膨らみが気になると当院を受診されました。上の前歯と歯茎が前方にポジショニングしており、下の前歯も歯茎から前に出ておりました。
<上下セットバック>
歯と歯茎を上は、4oバック、2oアップ、下は5oバック、2oダウンし固定しました。
<オトガイ形成術(広範囲)>
アゴ先の骨を高さ最大5o、オトガイ孔を15o超える範囲で切除し少なくしました。
※口ゴボ感が改善し、顎の長さも短くなりご満足いただけました。
※afterは術後6か月時の写真です。
【費用】上下セットバック+オトガイ形成術(広範囲) 2,637,800円(税込)
【リスク】感染・腫れ・出血・知覚鈍麻など






執刀医 辻和志
【治療内容】出っ歯、口元の膨らみが気になると当院を受診されました。上の前歯と歯茎が前方にポジショニングしており、下の前歯も歯茎から前に出ておりました。
<上下セットバック>
歯と歯茎を上は、6oバック、2oアップ、下は4oバック、2oダウンし固定しました。
※口ゴボ感が改善し、ご満足いただけました。
※afterは術後6か月時の写真です。
【費用】上下セットバック 2,307,800円(税込)
【リスク】感染・腫れ・出血・知覚鈍麻など






執刀医 辻和志
【治療内容】出っ歯、口元の膨らみが気になると当院を受診されました。上の前歯と歯茎が前方にポジショニングしており、下の前歯も歯茎から前に出ておりました。
<上下セットバック>
歯と歯茎を上は、3oバック、1oアップ、下は3oバック、1oダウンし固定しました。
※口ゴボ感が改善し、ご満足いただけました。
※afterは術後6か月時の写真です。
【費用】上下セットバック 2,307,800円(税込)
【リスク】感染・腫れ・出血・知覚鈍麻など






執刀医 辻和志
【治療内容】出っ歯、口元の膨らみが気になると当院を受診されました。上の前歯と歯茎が前方にポジショニングしており、下の前歯も歯茎から前に出ておりました。
<上下セットバック>
歯と歯茎を上は、6oバック、2oアップ、下は5oバック、1oダウンし固定しました。
※口ゴボ感が改善し、ご満足いただけました。
※afterは術後6か月時の写真です。
【費用】上下セットバック 2,307,800円(税込)
【リスク】感染・腫れ・出血・知覚鈍麻など






執刀医 辻和志
【治療内容】出っ歯、口元の膨らみが気になると当院を受診されました。上の前歯と歯茎が前方にポジショニングしており、下の前歯も歯茎から前に出ておりました。
<上下セットバック>
歯と歯茎を上は、5oバック、2oアップ、下は4oバック、1oダウンし固定しました。
※口ゴボ感が改善し、ご満足いただけました。
※afterは術後6か月時の写真です。
【費用】上下セットバック 2,307,800円(税込)
【リスク】感染・腫れ・出血・知覚鈍麻など






執刀医 辻和志
【治療内容】出っ歯、口元の膨らみが気になると当院を受診されました。上の前歯と歯茎が前方にポジショニングしており、下の前歯も歯茎から前に出ておりました。
<上下セットバック>
歯と歯茎を上は、5oバック、1oアップ、下は4oバック、1oダウンし固定しました。
※口ゴボ感が改善し、ご満足いただけました。
※afterは術後3か月時の写真です。
【費用】上下セットバック 2,307,800円(税込)
【リスク】感染・腫れ・出血・知覚鈍麻など






執刀医 辻和志
【治療内容】出っ歯、口元の膨らみが気になると当院を受診されました。上の前歯と歯茎が前方にポジショニングしており、下の前歯も歯茎から前に出ておりました。
<上下セットバック>
歯と歯茎を上は、3oバック、1oアップ、下は3oバック、1oダウンし固定しました。
※口ゴボ感が改善し、ご満足いただけました。
※afterは術後6か月時の写真です。
【費用】上下セットバック 2,307,800円(税込)
【リスク】感染・腫れ・出血・知覚鈍麻など






執刀医 辻和志
【治療内容】出っ歯、口元の膨らみが気になると当院を受診されました。上の前歯と歯茎が前方にポジショニングしており、下の前歯も歯茎から前に出ておりました。
<上下セットバック>
歯と歯茎を上は、4oバック、2oアップ、下は3oバック、0oダウンし固定しました。
※口ゴボ感が改善し、ご満足いただけました。
※afterは術後6か月時の写真です。
【費用】上下セットバック 2,307,800円(税込)
【リスク】感染・腫れ・出血・知覚鈍麻など






執刀医 辻和志
【治療内容】出っ歯、口元の膨らみが気になると当院を受診されました。上の前歯と歯茎が前方にポジショニングしており、下の前歯も歯茎から前に出ておりました。
<上下セットバック>
歯と歯茎を上は、5oバック、2oアップ、下は4oバック、2oダウンし固定しました。
※口ゴボ感が改善し、ご満足いただけました。
※afterは術後3か月時の写真です。
【費用】上下セットバック 2,307,800円(税込)
【リスク】感染・腫れ・出血・知覚鈍麻など






執刀医 辻和志
【治療内容】出っ歯、口元の膨らみが気になると当院を受診されました。上の前歯と歯茎が前方にポジショニングしており、下の前歯も歯茎から前に出ておりました。
<上下セットバック>
歯と歯茎を上は、5oバック、2oアップ、下は5oバック、1oダウンし固定しました。
※口ゴボ感が改善し、ご満足いただけました。
※afterは術後4か月時の写真です。
【費用】上下セットバック 2,307,800円(税込)
【リスク】感染・腫れ・出血・知覚鈍麻など






執刀医 辻和志
【治療内容】出っ歯、口元の膨らみが気になると当院を受診されました。上の前歯と歯茎が前方にポジショニングしており、下の前歯も歯茎から前に出ておりました。
<上下セットバック>
歯と歯茎を上は、4oバック、2oアップ、下は4oバック、1oダウンし固定しました。
<オトガイ形成術(広範囲)>
アゴ先の骨を前後的に1o、高さ最大5o、オトガイ孔を15o超える範囲で切除し少なくしました。
※口ゴボ感が改善し、顎の長さも短くなりご満足いただけました。
※afterは術後6か月時の写真です。
【費用】上下セットバック+オトガイ形成術(広範囲) 2,637,800円(税込)
【リスク】感染・腫れ・出血・知覚鈍麻など






執刀医 辻和志
【治療内容】出っ歯、口元の膨らみが気になると当院を受診されました。上の前歯と歯茎が前方にポジショニングしており、下の前歯も歯茎から前に出ておりました。
<上下セットバック>
歯と歯茎を上は、4oバック、2oアップ、下は3oバック、1oダウンし固定しました。
※口ゴボ感が改善し、ご満足いただけました。
※afterは術後3か月時の写真です。
【費用】上下セットバック 2,307,800円(税込)
【リスク】感染・腫れ・出血・知覚鈍麻など






執刀医 辻和志
【治療内容】出っ歯、口元の膨らみが気になると当院を受診されました。上の前歯と歯茎が前方にポジショニングしており、下の前歯も歯茎から前に出ておりました。
<上下セットバック>
歯と歯茎を上は、5oバック、2oアップ、下は3oバック、1oダウンし固定しました。
※口ゴボ感が改善し、ご満足いただけました。
※afterは術後6か月時の写真です。
【費用】上下セットバック 2,307,800円(税込)
【リスク】感染・腫れ・出血・知覚鈍麻など






執刀医 辻和志
【治療内容】出っ歯、口元の膨らみが気になると当院を受診されました。上の前歯と歯茎が前方にポジショニングしており、下の前歯も歯茎から前に出ておりました。
<上下セットバック>
歯と歯茎を上は、時計回転しながら、切縁4oバック、2oアップ、下は6oバック、2oダウンし固定しました。
<オトガイ形成術(広範囲)>
アゴ先の骨を前後的に4o、高さ最大5o、オトガイ孔を15o超える範囲で切除し、両サイドも最大4o幅で少なくしました。
※口ゴボ感が改善し、顎の長さも短くなりご満足いただけました。
※afterは術後6か月時の写真です。
【費用】上下セットバック+オトガイ形成術(広範囲) 2,637,800円(税込)
【リスク】感染・腫れ・出血・知覚鈍麻など






執刀医 辻和志
【治療内容】出っ歯、口元の膨らみが気になると当院を受診されました。上の前歯と歯茎が前方にポジショニングしており、下の前歯も歯茎から前に出ておりました。
<上下セットバック>
歯と歯茎を上は、5oバック、1oアップ、下は6oバック、2oダウンし固定しました。
<オトガイ形成術(広範囲)>
アゴ先の骨を前後的に3o、高さ最大6o、オトガイ孔を15o超える範囲で切除し少なくしました。
※口ゴボ感が改善し、顎の長さも短くなりご満足いただけました。
※afterは術後6か月時の写真です。
【費用】上下セットバック+オトガイ形成術(広範囲) 2,637,800円(税込)
【リスク】感染・腫れ・出血・知覚鈍麻など






執刀医 辻和志
【治療内容】出っ歯、口元の膨らみが気になると当院を受診されました。上の前歯と歯茎が前方にポジショニングしており、下の前歯も歯茎から前に出ておりました。
<上下セットバック>
歯と歯茎を上は、4oバック、2oアップ、下は4oバックし固定しました。
※口ゴボ感が改善し、ご満足いただけました。
※afterは術後6か月時の写真です。
【費用】上下セットバック 2,307,800円(税込)
【リスク】感染・腫れ・出血・知覚鈍麻など






執刀医 辻和志
【治療内容】出っ歯、口元の膨らみが気になると当院を受診されました。上の前歯と歯茎が前方にポジショニングしており、下の前歯も歯茎から前に出ておりました。
<上下セットバック>
歯と歯茎を上は、5oバック、2oアップ、下は3oバック、2oダウンし固定しました。
※口ゴボ感が改善し、ご満足いただけました。
※afterは術後6か月時の写真です。
【費用】上下セットバック 2,307,800円(税込)
【リスク】感染・腫れ・出血・知覚鈍麻など






執刀医 辻和志
【治療内容】出っ歯、口元の膨らみが気になると当院を受診されました。上の前歯と歯茎が前方にポジショニングしており、下の前歯も歯茎から前に出ておりました。
<上下セットバック>
歯と歯茎を上は、5oバック、2oアップ、下は2oバック、2oダウンし固定しました。
※口ゴボ感が改善し、ご満足いただけました。
※afterは術後3か月時の写真です。
【費用】上下セットバック 2,307,800円(税込)
【リスク】感染・腫れ・出血・知覚鈍麻など





執刀医 辻和志
【治療内容】出っ歯、口元の膨らみが気になると当院を受診されました。上の前歯と歯茎が前方にポジショニングしており、下の前歯も歯茎から前に出ておりました。
<上下セットバック>
歯と歯茎を上は、5oバック、3oアップ、下は4oバック、1oダウンし固定しました。
※口ゴボ感が改善し、ご満足いただけました。
※afterは術後1年時の写真です。
【費用】上下セットバック 2,307,800円(税込)
【リスク】感染・腫れ・出血・知覚鈍麻など






執刀医 辻和志
【治療内容】出っ歯、口元の膨らみが気になると当院を受診されました。上の前歯と歯茎が前方にポジショニングしており、下の前歯も歯茎から前に出ておりました。
<上下セットバック>
歯と歯茎を上は、4oバック、2oアップ、下は5oバック、2oダウンし固定しました。
<オトガイ形成術(広範囲)>
アゴ先の骨を前後的に0o、高さ最大5o、オトガイ孔を15o超える範囲で切除し少なくしました。
※口ゴボ感が改善し、顎の長さも短くなりご満足いただけました。
※afterは術後6か月時の写真です。
【費用】上下セットバック+オトガイ形成術(広範囲) 2,637,800円(税込)
【リスク】感染・腫れ・出血・知覚鈍麻など






執刀医 辻和志
【治療内容】出っ歯、口元の膨らみが気になると当院を受診されました。上の前歯と歯茎が前方にポジショニングしており、下の前歯も歯茎から前に出ておりました。
<上下セットバック>
歯と歯茎を上は、4oバック、1oアップ、下は5oバック、1oダウンし固定しました。
※口ゴボ感が改善し、ご満足いただけました。
※afterは術後6か月時の写真です。
※術後はセラミックで保隙しました。術後治療について
【費用】上下セットバック 2,307,800円(税込)
【リスク】感染・腫れ・出血・知覚鈍麻など






執刀医 辻和志
【治療内容】出っ歯、口元の膨らみが気になると当院を受診されました。上の前歯と歯茎が前方にポジショニングしており、下の前歯も歯茎から前に出ておりました。
<上下セットバック>
歯と歯茎を上は、6oバック、1oアップ、下は6oバック、0oダウンし固定しました。
※口ゴボ感が改善し、ご満足いただけました。
※afterは術後6か月時の写真です。
【費用】上下セットバック 2,307,800円(税込)
【リスク】感染・腫れ・出血・知覚鈍麻など





執刀医 辻和志
【治療内容】出っ歯、口元の膨らみが気になると当院を受診されました。上の前歯と歯茎が前方にポジショニングしており、下の前歯も歯茎から前に出ておりました。
<上下セットバック>
歯と歯茎を上は、6oバック、2oアップ、下は5oバック、1oダウンし固定しました。
※口ゴボ感が改善し、ご満足いただけました。
※afterは術後6か月時の写真です。
【費用】上下セットバック 2,307,800円(税込)
【リスク】感染・腫れ・出血・知覚鈍麻など






執刀医 辻和志
【治療内容】出っ歯、口元の膨らみが気になると当院を受診されました。上の前歯と歯茎が前方にポジショニングしており、下の前歯も歯茎から前に出ておりました。
<上下セットバック>
歯と歯茎を上は、6oバック、2oアップ、下は5oバック、1oダウンし固定しました。
※口ゴボ感が改善し、ご満足いただけました。
※afterは術後6か月時の写真です。
【費用】上下セットバック 2,307,800円(税込)
【リスク】感染・腫れ・出血・知覚鈍麻など






執刀医 辻和志
【治療内容】出っ歯、口元の膨らみが気になると当院を受診されました。上の前歯と歯茎が前方にポジショニングしており、下の前歯も歯茎から前に出ておりました。
<上下セットバック>
歯と歯茎を上は、5oバック、2oアップ、下は4oバック、1oダウンし固定しました。
※口ゴボ感が改善し、ご満足いただけました。
※afterは術後1か月時の写真です。
【費用】上下セットバック 2,307,800円(税込)
【リスク】感染・腫れ・出血・知覚鈍麻など






執刀医 辻和志
【治療内容】出っ歯、口元の膨らみが気になると当院を受診されました。上の前歯と歯茎が前方にポジショニングしており、下の前歯も歯茎から前に出ておりました。
<上下セットバック>
歯と歯茎を上は、5oバック、2oアップ、下は5oバック、2oダウンし固定しました。
※口ゴボ感が改善し、ご満足いただけました。
※afterは術後6か月時の写真です。
【費用】上下セットバック 2,307,800円(税込)
【リスク】感染・腫れ・出血・知覚鈍麻など






執刀医 辻和志
【治療内容】出っ歯、口元の膨らみが気になると当院を受診されました。上の前歯と歯茎が前方にポジショニングしており、下の前歯も歯茎から前に出ておりました。
<上下セットバック>
歯と歯茎を上は、5oバック、2oアップ、下は5oバック、1oダウンし固定しました。
※口ゴボ感が改善し、ご満足いただけました。
※afterは術後6か月時の写真です。
【費用】上下セットバック 2,307,800円(税込)
【リスク】感染・腫れ・出血・知覚鈍麻など






執刀医 辻和志
【治療内容】出っ歯、口元の膨らみが気になると当院を受診されました。上の前歯と歯茎が前方にポジショニングしており、下の前歯も歯茎から前に出ておりました。
<上下セットバック>
歯と歯茎を上は、6oバック、2oアップ、下は4oバック、1oダウンし固定しました。
※口ゴボ感が改善し、ご満足いただけました。
※afterは術後6か月時の写真です。
【費用】上下セットバック 2,307,800円(税込)
【リスク】感染・腫れ・出血・知覚鈍麻など




執刀医 辻和志
【治療内容】出っ歯、口元の膨らみが気になると当院を受診されました。上の前歯と歯茎が前方にポジショニングしており、下の前歯も歯茎から前に出ておりました。
<上下セットバック>
歯と歯茎を上は、4oバック、1oアップ、下は4oバック、1oダウンし固定しました。
※口ゴボ感が改善し、ご満足いただけました。
※afterは術後6か月時の写真です。
【費用】上下セットバック 2,307,800円(税込)
【リスク】感染・腫れ・出血・知覚鈍麻など





執刀医 辻和志
【治療内容】出っ歯、口元の膨らみが気になると当院を受診されました。上の前歯と歯茎が前方にポジショニングしており、下の前歯も歯茎から前に出ておりました。
<上下セットバック>
歯と歯茎を上は、6oバック、1oアップ、下は6oバック、1oダウンし固定しました。
※口ゴボ感が改善し、ご満足いただけました。
※afterは術後6か月時の写真です。
【費用】上下セットバック 2,307,800円(税込)
【リスク】感染・腫れ・出血・知覚鈍麻など





執刀医 辻和志
【治療内容】出っ歯、口元の膨らみが気になると当院を受診されました。上の前歯と歯茎が前方にポジショニングしており、下の前歯も歯茎から前に出ておりました。
<上下セットバック>
歯と歯茎を上は、5oバック、1oアップ、下は5oバック、1oダウンし固定しました。
※口ゴボ感が改善し、ご満足いただけました。
※afterは術後6か月時の写真です。
【費用】上下セットバック 2,307,800円(税込)
【リスク】感染・腫れ・出血・知覚鈍麻など






執刀医 辻和志
【治療内容】出っ歯、口元の膨らみが気になると当院を受診されました。上の前歯と歯茎が前方にポジショニングしており、下の前歯も歯茎から前に出ておりました。
<上下セットバック>
歯と歯茎を上は、6oバック、2oアップ、下は6oバック、1oダウンし固定しました。
※口ゴボ感が改善し、ご満足いただけました。
※afterは術後6か月時の写真です。
【費用】上下セットバック 2,307,800円(税込)
【リスク】感染・腫れ・出血・知覚鈍麻など






執刀医 辻和志
【治療内容】出っ歯、口元の膨らみが気になると当院を受診されました。上の前歯と歯茎が前方にポジショニングしており、下の前歯も歯茎から前に出ておりました。
<上下セットバック>
歯と歯茎を上は、6oバック、2oアップ、下は3oバック、1oダウンし固定しました。
※口ゴボ感が改善し、ご満足いただけました。
※afterは術後6か月時の写真です。
【費用】上下セットバック 2,307,800円(税込)
【リスク】感染・腫れ・出血・知覚鈍麻など






執刀医 辻和志
【治療内容】出っ歯、口元の膨らみが気になると当院を受診されました。上の前歯と歯茎が前方にポジショニングしており、下の前歯も歯茎から前に出ておりました。
<上下セットバック>
歯と歯茎を上は、5oバック、2oアップ、下は5oバック、2oダウンし固定しました。
※口ゴボ感が改善し、ご満足いただけました。
※afterは術後6か月時の写真です。
【費用】上下セットバック 2,307,800円(税込)
【リスク】感染・腫れ・出血・知覚鈍麻など






執刀医 辻和志
【治療内容】出っ歯、上唇でっぱりが気になると当院を受診されました。上の前歯と歯茎が前方にポジショニングしておりました。
<上セットバック>
歯と歯茎を上は、6oバック、1oアップ固定しました。
※上顎の突出感が改善し、ご満足いただけました。
※afterは術後6か月時の写真です。
【費用】上顎セットバック 1,812,580円(税込)
【リスク】感染・腫れ・出血・知覚鈍麻など






執刀医 辻和志
【治療内容】出っ歯、口元の膨らみが気になると当院を受診されました。上の前歯と歯茎が前方にポジショニングしており、下の前歯も歯茎から前に出ておりました。
<上下セットバック>
歯と歯茎を上は、6oバック、2oアップ、下は6oバック、1oダウンし固定しました。
※口ゴボ感が改善し、ご満足いただけました。
※afterは術後6か月時の写真です。
【費用】上下セットバック 2,307,800円(税込)
【リスク】感染・腫れ・出血・知覚鈍麻など






執刀医 辻和志
【治療内容】出っ歯、口元の膨らみが気になると当院を受診されました。上の前歯と歯茎が前方にポジショニングしており、下の前歯も歯茎から前に出ておりました。
<上下セットバック>
歯と歯茎を上は、5oバック、2oアップ、下は5oバック、2oダウンし固定しました。
※口ゴボ感が改善し、ご満足いただけました。
※afterは術後6か月時の写真です。
【費用】上下セットバック 2,307,800円(税込)
【リスク】感染・腫れ・出血・知覚鈍麻など






執刀医 辻和志
【治療内容】出っ歯、口元の膨らみが気になると当院を受診されました。上の前歯と歯茎が前方にポジショニングしており、下の前歯も歯茎から前に出ておりました。
<上下セットバック>
歯と歯茎を上は、4oバック、2oアップ、下は5oバック、1oダウンし固定しました。
※口ゴボ感が改善し、ご満足いただけました。
※afterは術後6か月時の写真です。
【費用】上下セットバック 2,307,800円(税込)
【リスク】感染・腫れ・出血・知覚鈍麻など






執刀医 辻和志
【治療内容】出っ歯、口元の膨らみが気になると当院を受診されました。上の前歯と歯茎が前方にポジショニングしており、下の前歯も歯茎から前に出ておりました。
<上下セットバック>
歯と歯茎を上は、5oバック、1oアップ、下は5oバック、1oダウンし固定しました。
※口ゴボ感が改善し、ご満足いただけました。
※afterは術後3か月時の写真です。
【費用】上下セットバック 2,307,800円(税込)
【リスク】感染・腫れ・出血・知覚鈍麻など






執刀医 辻和志
【治療内容】出っ歯、口元の膨らみが気になると当院を受診されました。上の前歯と歯茎が前方にポジショニングしており、下の前歯も歯茎から前に出ておりました。
<上下セットバック>
歯と歯茎を上は、5oバック、1oアップ、下は5oバック、1oダウンし固定しました。
※口ゴボ感が改善し、ご満足いただけました。
※afterは術後6か月時の写真です。
【費用】上下セットバック 2,307,800円(税込)
【リスク】感染・腫れ・出血・知覚鈍麻など



執刀医 辻和志
【治療内容】出っ歯、口元の膨らみが気になると当院を受診されました。上の前歯と歯茎が前方にポジショニングしており、下の前歯も歯茎から前に出ておりました。
<上下セットバック>
歯と歯茎を上は、5oバック、2oアップ、下は3oバック、2oダウンし固定しました。
※口ゴボ感が改善し、ご満足いただけました。
※afterは術後6か月時の写真です。
【費用】上下セットバック 2,307,800円(税込)
【リスク】感染・腫れ・出血・知覚鈍麻など






執刀医 辻和志
【治療内容】出っ歯、口元の膨らみが気になると当院を受診されました。上の前歯と歯茎が前方にポジショニングしており、下の前歯も歯茎から前に出ておりました。
<上下セットバック>
歯と歯茎を上は、4oバック、1oアップ、下は3oバック、1oダウンし固定しました。
※口ゴボ感が改善し、ご満足いただけました。
※afterは術後3か月時の写真です。
【費用】上下セットバック 2,307,800円(税込)
【リスク】感染・腫れ・出血・知覚鈍麻など






執刀医 辻和志
【治療内容】出っ歯、口元の膨らみが気になると当院を受診されました。上の前歯と歯茎が前方にポジショニングしており、下の前歯も歯茎から前に出ておりました。
<上下セットバック>
歯と歯茎を上は、4oバック、2oアップ、下は4oバック、2oダウンし固定しました。
※口ゴボ感が改善し、ご満足いただけました。
※afterは術後6か月時の写真です。
【費用】上下セットバック 2,307,800円(税込)
【リスク】感染・腫れ・出血・知覚鈍麻など






執刀医 辻和志
【治療内容】出っ歯、口元の膨らみが気になると当院を受診されました。上の前歯と歯茎が前方にポジショニングしており、下の前歯も歯茎から前に出ておりました。
<上下セットバック>
歯と歯茎を上は、5oバック、2oアップ、下は3oバック、1oダウンし固定しました。
※口ゴボ感が改善し、ご満足いただけました。
※afterは術後6か月時の写真です。
【費用】上下セットバック 2,307,800円(税込)
【リスク】感染・腫れ・出血・知覚鈍麻など






執刀医 辻和志
【治療内容】出っ歯、口元の膨らみが気になると当院を受診されました。上の前歯と歯茎が前方にポジショニングしており、下の前歯も歯茎から前に出ておりました。
<上下セットバック>
歯と歯茎を上は、5oバック、2oアップ、下は5oバック、1oダウンし固定しました。
<オトガイ形成術(広範囲)>
アゴ先の骨を前後的に0o、高さ最大4o、オトガイ孔を15o超える範囲で切除し少なくしました。
※口ゴボ感が改善し、顎の長さも短くなりご満足いただけました。
※afterは術後6か月時の写真です。
【費用】上下セットバック+オトガイ形成術(広範囲) 2,637,800円(税込)
【リスク】感染・腫れ・出血・知覚鈍麻など






執刀医 辻和志
【治療内容】出っ歯、口元の膨らみが気になると当院を受診されました。上の前歯と歯茎が前方にポジショニングしており、下の前歯も歯茎から前に出ておりました。
<上下セットバック>
歯と歯茎を上は、4oバック、2oアップ、下は5oバックし固定しました。
<オトガイ形成術(広範囲)>
アゴ先の骨を前後的に2o、高さ最大5o、オトガイ孔を15o超える範囲で右サイド最大7o、左サイド最大7o幅で切除し少なくしました。
※口ゴボ感が改善し、顎の長さも短くなりご満足いただけました。
※afterは術後3か月時の写真です。
【費用】上下セットバック+オトガイ形成術(広範囲) 2,637,800円(税込)
【リスク】感染・腫れ・出血・知覚鈍麻など






執刀医 辻和志
【治療内容】出っ歯、口元の膨らみが気になると当院を受診されました。上の前歯と歯茎が前方にポジショニングしており、下の前歯も歯茎から前に出ておりました。
<上下セットバック>
歯と歯茎を上は、4oバック、2oアップ、下は6oバック、2oダウンし固定しました。
<オトガイ形成術(広範囲)>
アゴ先の骨を前後的に0o、高さ最大4o、オトガイ孔を15o超える範囲で右サイド最大7o、左サイド最大7o幅切除し少なくしました。
※口ゴボ感が改善し、顎の長さも短くなりご満足いただけました。
※afterは術後3か月時の写真です。
【費用】上下セットバック+オトガイ形成術(広範囲) 2,637,800円(税込)
【リスク】感染・腫れ・出血・知覚鈍麻など






執刀医 辻和志
【治療内容】出っ歯、口元の膨らみが気になると当院を受診されました。上の前歯と歯茎が前方にポジショニングしており、下の前歯も歯茎から前に出ておりました。
<上下セットバック>
歯と歯茎を上は、5oバック、1oアップ、下は5oバック、1oダウンし固定しました。
※口ゴボ感が改善し、ご満足いただけました。
※afterは術後6か月時の写真です。
【費用】上下セットバック 2,307,800円(税込)
【リスク】感染・腫れ・出血・知覚鈍麻など






執刀医 辻和志
【治療内容】出っ歯、口元の膨らみが気になると当院を受診されました。上の前歯と歯茎が前方にポジショニングしており、下の前歯も歯茎から前に出ておりました。
<上下セットバック>
歯と歯茎を上は、5oバック、2oアップ、下は6oバック、1oダウンし固定しました。
※口ゴボ感が改善し、ご満足いただけました。
※afterは術後6か月時の写真です。
【費用】上下セットバック 2,307,800円(税込)
【リスク】感染・腫れ・出血・知覚鈍麻など






執刀医 辻和志
【治療内容】出っ歯、口元の膨らみが気になると当院を受診されました。上の前歯と歯茎が前方にポジショニングしており、下の前歯も歯茎から前に出ておりました。
<上下セットバック>
歯と歯茎を上は、5oバック、2oアップ、下は5oバック、2oダウンし固定しました。
※口ゴボ感が改善し、ご満足いただけました。
※afterは術後6か月時の写真です。
【費用】上下セットバック 2,307,800円(税込)
【リスク】感染・腫れ・出血・知覚鈍麻など






執刀医 辻和志
【治療内容】出っ歯、口元の膨らみが気になると当院を受診されました。上の前歯と歯茎が前方にポジショニングしており、下の前歯も歯茎から前に出ておりました。
<上下セットバック>
歯と歯茎を上は、6oバック、2oアップ、下は5oバック、1oダウンし固定しました。
※口ゴボ感が改善し、ご満足いただけました。
※afterは術後6か月時の写真です。
【費用】上下セットバック 2,307,800円(税込)
【リスク】感染・腫れ・出血・知覚鈍麻など






執刀医 辻和志
【治療内容】出っ歯、口元の膨らみが気になると当院を受診されました。上の前歯と歯茎が前方にポジショニングしており、下の前歯も歯茎から前に出ておりました。
<上下セットバック>
歯と歯茎を上は、5oバック、2oアップ、下は6oバック、2oダウンし固定しました。
<オトガイ形成術(広範囲)>
アゴ先の骨を前後的に0o、高さ最大5o、オトガイ孔を15o超える範囲で切除し少なくしました。
※口ゴボ感が改善し、顎の長さも短くなりご満足いただけました。
※afterは術後6か月時の写真です。
【費用】上下セットバック+オトガイ形成術(広範囲) 2,637,800円(税込)
【リスク】感染・腫れ・出血・知覚鈍麻など






執刀医 辻和志
【治療内容】出っ歯、口元の膨らみが気になると当院を受診されました。上の前歯と歯茎が前方にポジショニングしており、下の前歯も歯茎から前に出ておりました。
<上下セットバック>
歯と歯茎を上は、7oバック、2oアップ、下は2oバック、2oダウンし固定しました。
※口ゴボ感が改善し、ご満足いただけました。
※afterは術後6か月時の写真です。
※術後はセラミックで保隙しました。術後治療について
【費用】上下セットバック 2,307,800円(税込)
【リスク】感染・腫れ・出血・知覚鈍麻など






執刀医 辻和志
【治療内容】出っ歯、口元の膨らみが気になると当院を受診されました。上の前歯と歯茎が前方にポジショニングしており、下の前歯も歯茎から前に出ておりました。
<上下セットバック>
歯と歯茎を上は、5oバック、2oアップ、下は4oバック、1oダウンし固定しました。
※口ゴボ感が改善し、ご満足いただけました。
※afterは術後6か月時の写真です。
【費用】上下セットバック 2,307,800円(税込)
【リスク】感染・腫れ・出血・知覚鈍麻など






執刀医 辻和志
【治療内容】出っ歯、口元の膨らみが気になると当院を受診されました。上の前歯と歯茎が前方にポジショニングしており、下の前歯も歯茎から前に出ておりました。
<上下セットバック>
歯と歯茎を上は、5oバック、2oアップ、下は4oバックし固定しました。
※口ゴボ感が改善し、ご満足いただけました。
※afterは術後6か月時の写真です。
【費用】上下セットバック 2,307,800円(税込)
【リスク】感染・腫れ・出血・知覚鈍麻など






執刀医 辻和志
【治療内容】出っ歯、口元の膨らみが気になると当院を受診されました。上の前歯と歯茎が前方にポジショニングしており、下の前歯も歯茎から前に出ておりました。
<上下セットバック>
歯と歯茎を上は、5oバック、2oアップ、下は5oバック、1oダウンし固定しました。
<オトガイ形成術(広範囲)>
アゴ先の骨を前後的に0o、高さ最大5o、オトガイ孔を15o超える範囲で切除し少なくしました。
※口ゴボ感が改善し、顎の長さも短くなりご満足いただけました。
※afterは術後6か月時の写真です。
【費用】上下セットバック+オトガイ形成術(広範囲) 2,637,800円(税込)
【リスク】感染・腫れ・出血・知覚鈍麻など






執刀医 辻和志
【治療内容】出っ歯、口元の膨らみが気になると当院を受診されました。上の前歯と歯茎が前方にポジショニングしており、下の前歯も歯茎から前に出ておりました。
<上下セットバック>
歯と歯茎を上は、5oバック、2oアップ、下は4oバック、1oダウンし固定しました。
※口ゴボ感が改善し、ご満足いただけました。
※afterは術後6か月時の写真です。
【費用】上下セットバック 2,307,800円(税込)
【リスク】感染・腫れ・出血・知覚鈍麻など
![]()






執刀医 辻和志
【治療内容】上下セットバック…上のアゴと下のアゴが前にでていたため、上下のアゴの骨を切って後ろにさげました。
【費用】上下セットバック 2,307,800円(税込)
【リスク】全身麻酔で行うため全身の健康状態が悪い方は行うことができません。また、手術当日は安静にしていただく必要があります。
![]()






執刀医 辻和志
【治療内容】上下セットバック…上のアゴと下のアゴが前にでていたため、上下のアゴの骨を切って後ろにさげました。
【費用】上下セットバック 2,307,800円(税込)
【リスク】全身麻酔で行うため全身の健康状態が悪い方は行うことができません。また、手術当日は安静にしていただく必要があります。


【治療内容】あごが骨格ごと前に出ているため、第1小臼歯を抜き、前歯6本をまとめて抜いてできたスペースに下げて、プレートで止めました。
この手術はお口の中から行うのでお顔に傷は全く残りません。
出っ歯を矯正治療で治すと、もちろん歯並びは治りますが、骨格そのものは治らないのです。もし骨格そのものが治れば、お顔自体が大きく変わります。口元が出た感じが治り、別人のように美しくなれます
幼い頃から出っ歯や口ゴボにコンプレックスを抱えたり、辛い思いをされた方々の治療をこれまで数多く担当してきました。そのような経験を持つ方々の気持ちに寄り添い、心から味方でありたいと思っています。
手術は麻酔で眠っている間に2〜3時間で終わります。ぜひ、コンプレックスから解放されて、新たな一歩を踏み出してみませんか?

横顔の鼻の頭とアゴを結んだEライン(横顔)がとてもキレイになります。
上アゴを引っ込める保険適用手術(ルフォー手術)の場合は、まずは手術前に2年くらいの矯正が必要になります。(術前矯正)
手術自体もセットバック法よりダメージが大きく、手術の直後2週間は、顎間固定(がくかんこてい)と言って、上下のアゴをワイヤーで固定しないといけません。
その間は全く口が開けれず、流動食を歯のすき間から流しこむことになります。
さらに、手術後に、術後矯正が1年くらい必要になります。
手術がしんどい上に、治療期間も平均4〜5年かかります。
それに比べ、この上アゴのセットバック法は、わずか2〜3時間程度で手術が終わり、圧倒的に短くて楽です。食事も翌日から可能です。


上下セットバックでは前歯6本分の骨を部分的に動かします。
上あごを全体で動かす手術 (ルフォー)に比べて、手術のダメージが低いのが大きなメリットです。
また、セットバック手術は前歯の骨と歯の傾きを変えることができるのが特徴です。
上の前歯が骨格から前に出ている場合にセットバック手術では前歯部の傾きを限局的に改善できますが、ルフォー手術ではセットバック手術ほどの傾きの改善は難しい場合があります。
また、奥歯(5番目から後ろ)はそのままで手術では前の部分のみを動かすため、奥歯の噛み合わせが変わらず安定します。
奥歯の部分の骨を動かさなければいけない術式の場合は、奥歯の部分の骨を動かすと奥歯の噛み合わせが変わってしまい、患者さんにはかなり大きなストレスになるだけでなく、噛みにくくなります。そのため、手術のあとで歯並びの矯正治療をしないといけなくなりますが、それも大変です。
当院のセットバック法は、手術後も奥歯の噛み合わせが変わりませんので、噛み合わせが安定しており、手術後に流動食にしなくて済みます。動かした前歯で噛まなければ手術後の早期から普通のお食事を取ることができます。
上の前歯が下の前歯よりも8mm以上前へ出ている程度のきつい場合や、下アゴが左右に大きくずれてる場合などは、大学病院にて大きい手術が必要になります。
セットバックでいけるか大きな手術が必要かはご自身での判断は難しいですが、かなり多くの場合セットバック手術が可能です。お気軽に相談ください。
セットバック手術のリスクについて術後の状態、後遺症が残る可能性などを動画でご説明します。
手術後の腫れ・むくみ等のダウンタイムを気にされる方は多いと思うので、実際の患者様の実例を元に、腫れが引くまでの経過をご説明します。

歯科用レントゲン撮影、血液検査等

2〜3時間

全身麻酔

入院なし

2〜3日は多少の痛みを感じますが、痛み止めがききます。徐々に軽減していきます。

1〜2週間
・通常は骨の連結部分は数か月から半年で骨がくっつきますが、稀にその場所に骨膜炎、骨髄炎などが起こると、癒合遅延や癒合不全などを起すこともあります。その際に再手術が必要になることもあり、有料になります。
・この手術は術後6か月間食事で注意していただく事があります。
骨の連結部分は2週間くらいで骨癒合が進み、ある程度はくっつきます。
ただ、その後も前歯で食べ物を思いっきり噛んだりすると、連結部が動く可能性があります。偽関節という状態となってしまいます。
そのため6か月間は前歯で思いっきり噛むのは避けてください。

手術自体は2〜3時間程度です。
手術当日は通常朝10時にご来院いただき手術となります。手術後麻酔が切れて止血を確認したのち、お帰りいただけるのは夕方ごろとお考えください。

術後半年程度は痛みや腫れなどがあります。手術直後は非常に腫れますが、1〜2週間後には7割程度の腫れは引きます。
手術後1週間後、1ヶ月後、3ヶ月後、6ヶ月後に検診にお越しいただき、骨の治癒や腫れの状態などを確認します。

歯列矯正では歯の移動をして歯並びを整えますが、骨までは動かせません。セットバックであれば骨から後ろに下げることが可能です。
歯のがたつきが気になる場合は、手術後矯正治療を行うことで歯並びもきれいになります。