
※症例紹介の費用は掲載時点の金額です。治療費用は改定される場合がありますので、最新の料金はお問い合わせください。






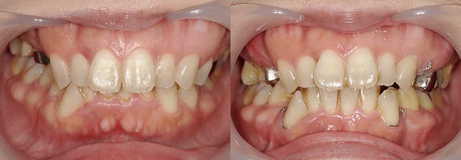
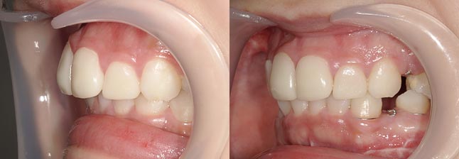
執刀医 辻和志
【治療内容】上下セットバック…上のアゴと下のアゴが前にでていたため、上下のアゴの骨を切って後ろにさげました。
【費用】上下セットバック 2,307,800円(税込)
【リスク】全身麻酔で行うため全身の健康状態が悪い方は行うことができません。また、手術当日は安静にしていただく必要があります。






執刀医 辻和志
【治療内容】上下セットバック…上のアゴと下のアゴが前にでていたため、上下のアゴの骨を切って後ろにさげました。
【費用】上下セットバック 2,307,800円(税込)
【リスク】全身麻酔で行うため全身の健康状態が悪い方は行うことができません。また、手術当日は安静にしていただく必要があります。






大分県 20歳 女性
執刀医 辻和志
【治療内容】上下セットバック…上のアゴと下のアゴが前にでていたため、上下のアゴの骨を切って後ろにさげました。
【費用】上下セットバック 2,307,800円(税込)
【リスク】全身麻酔で行うため全身の健康状態が悪い方は行うことができません。また、手術当日は安静にしていただく必要があります。






大阪府 24歳 女性
執刀医 辻和志
【治療内容】上下セットバック…上のアゴと下のアゴが前にでていたため、上下のアゴの骨を切って後ろにさげました。
【費用】上下セットバック 2,307,800円(税込)
【リスク】全身麻酔で行うため全身の健康状態が悪い方は行うことができません。また、手術当日は安静にしていただく必要があります。






兵庫県 27歳 女性
執刀医 辻和志
【治療内容】上下セットバック…上のアゴと下のアゴが前にでていたため、上下のアゴの骨を切って後ろにさげました。
【費用】上下セットバック 2,307,800円(税込)
【リスク】全身麻酔で行うため全身の健康状態が悪い方は行うことができません。また、手術当日は安静にしていただく必要があります。






執刀医 辻和志
【治療内容】上下セットバック…上のアゴと下のアゴが前にでていたため、上下のアゴの骨を切って後ろにさげました。
【費用】上下セットバック 2,307,800円(税込)
【リスク】全身麻酔で行うため全身の健康状態が悪い方は行うことができません。また、手術当日は安静にしていただく必要があります。






大阪府 24歳 男性
執刀医 辻和志
【治療内容】上下セットバック…上のアゴと下のアゴが前にでていたため、上下のアゴの骨を切って後ろにさげました。
【費用】上下セットバック 2,307,800円(税込)
【リスク】全身麻酔で行うため全身の健康状態が悪い方は行うことができません。また、手術当日は安静にしていただく必要があります。






東京都 22歳 女性
執刀医 辻和志
【治療内容】上下セットバック…上のアゴと下のアゴが前にでていたため、上下のアゴの骨を切って後ろにさげました。
【費用】上下セットバック 2,307,800円(税込)
【リスク】全身麻酔で行うため全身の健康状態が悪い方は行うことができません。また、手術当日は安静にしていただく必要があります。






三重県 26歳 女性
執刀医 辻和志
【治療内容】上下セットバック…上のアゴと下のアゴが前にでていたため、上下のアゴの骨切って後ろに下げました。
【費用】上下セットバック 2,307,800円(税込)
【リスク】全身麻酔で行うため全身の状態が悪い方は行うことができません。また、手術当日は安静にしていただく必要があります。






執刀医 辻和志
【治療内容】出っ歯、口元の膨らみが気になると当院を受診されました。上の前歯と歯茎が前方にポジショニングしており、下の前歯も歯茎から前に出ておりました。
<上下セットバック>
歯と歯茎を上は、5oバック、1oアップ、下は5oバック、1oダウンし固定しました。
<オトガイ形成術(広範囲)>
アゴ先の骨を前後的に0o、高さ最大5o、オトガイ孔を15o超える範囲で切除し少なくしました。
※口ゴボ感が改善し、顎の長さも短くなりご満足いただけました。
※afterは術後5か月時の写真です。
【費用】上下セットバック+オトガイ形成術(広範囲) 2,637,800円(税込)
【リスク】感染・腫れ・出血・知覚鈍麻など






執刀医 辻和志
【治療内容】出っ歯、口元の膨らみが気になると当院を受診されました。上の前歯と歯茎が前方にポジショニングしており、下の前歯も歯茎から前に出ておりました。
<上下セットバック>
歯と歯茎を上は、5oバック、1oアップ、下は4oバック、1oダウンし固定しました。
※口ゴボ感が改善し、ご満足いただけました。
※afterは術後6か月時の写真です。
【費用】上下セットバック 2,307,800円(税込)
【リスク】感染・腫れ・出血・知覚鈍麻など






執刀医 辻和志
【治療内容】出っ歯、口元の膨らみが気になると当院を受診されました。上の前歯と歯茎が前方にポジショニングしており、下の前歯も歯茎から前に出ておりました。
<上下セットバック>
歯と歯茎を上は、5oバック、1oアップ、下は3oバック、1oダウンし固定しました。
※口ゴボ感が改善し、ご満足いただけました。
※afterは術後3か月時の写真です。
【費用】上下セットバック 2,307,800円(税込)
【リスク】感染・腫れ・出血・知覚鈍麻など






執刀医 辻和志
【治療内容】出っ歯、口元の膨らみが気になると当院を受診されました。上の前歯と歯茎が前方にポジショニングしており、下の前歯も歯茎から前に出ておりました。
<上下セットバック>
歯と歯茎を上は、6oバック、2oアップ、下は6oバック、2oダウンし固定しました。
※口ゴボ感が改善し、ご満足いただけました。
※afterは術後6か月時の写真です。
【費用】上下セットバック 2,307,800円(税込)
【リスク】感染・腫れ・出血・知覚鈍麻など






執刀医 辻和志
【治療内容】出っ歯、口元の膨らみが気になると当院を受診されました。上の前歯と歯茎が前方にポジショニングしており、下の前歯も歯茎から前に出ておりました。
<上下セットバック>
歯と歯茎を上は、5oバック、2oアップ、下は5oバック、1oダウンし固定しました。
※口ゴボ感が改善し、ご満足いただけました。
※afterは術後3か月時の写真です。
【費用】上下セットバック 2,307,800円(税込)
【リスク】感染・腫れ・出血・知覚鈍麻など






執刀医 辻和志
【治療内容】出っ歯、口元の膨らみが気になると当院を受診されました。上の前歯と歯茎が前方にポジショニングしており、下の前歯も歯茎から前に出ておりました。
<上下セットバック>
歯と歯茎を上は、4oバック、2oアップ、下は3oバック、1oダウンし固定しました。
※口ゴボ感が改善し、ご満足いただけました。
※afterは術後6か月時の写真です。
【費用】上下セットバック 2,307,800円(税込)
【リスク】感染・腫れ・出血・知覚鈍麻など






執刀医 辻和志
【治療内容】出っ歯、口元の膨らみが気になると当院を受診されました。上の前歯と歯茎が前方にポジショニングしており、下の前歯も歯茎から前に出ておりました。
<上下セットバック>
歯と歯茎を上は、4oバック、2oアップ、下は3oバック、1oダウンし固定しました。
※口ゴボ感が改善し、ご満足いただけました。
※afterは術後6か月時の写真です。
【費用】上下セットバック 2,307,800円(税込)
【リスク】感染・腫れ・出血・知覚鈍麻など






執刀医 辻和志
【治療内容】出っ歯、口元の膨らみが気になると当院を受診されました。上の前歯と歯茎が前方にポジショニングしており、下の前歯も歯茎から前に出ておりました。
<上下セットバック>
歯と歯茎を上は、5oバック、2oアップ、下は4oバック、1oダウンし固定しました。
※口ゴボ感が改善し、ご満足いただけました。
※afterは術後6か月時の写真です。
【費用】上下セットバック 2,307,800円(税込)
【リスク】感染・腫れ・出血・知覚鈍麻など






執刀医 辻和志
【治療内容】出っ歯、口元の膨らみが気になると当院を受診されました。上の前歯と歯茎が前方にポジショニングしており、下の前歯も歯茎から前に出ておりました。
<上下セットバック>
歯と歯茎を上は、5oバック、2oアップ、下は4oバック、1oダウンし固定しました。
※口ゴボ感が改善し、ご満足いただけました。
※afterは術後6か月時の写真です。
【費用】上下セットバック 2,307,800円(税込)
【リスク】感染・腫れ・出血・知覚鈍麻など






執刀医 辻和志
【治療内容】出っ歯、口元の膨らみが気になると当院を受診されました。上の前歯と歯茎が前方にポジショニングしており、下の前歯も歯茎から前に出ておりました。
<上下セットバック>
歯と歯茎を上は、6oバック、2oアップ、下は5oバック、2oダウンし固定しました。
※口ゴボ感が改善し、ご満足いただけました。
※afterは術後6か月時の写真です。
【費用】上下セットバック 2,307,800円(税込)
【リスク】感染・腫れ・出血・知覚鈍麻など






執刀医 辻和志
【治療内容】出っ歯、口元の膨らみが気になると当院を受診されました。上の前歯と歯茎が前方にポジショニングしており、下の前歯も歯茎から前に出ておりました。
<上下セットバック>
歯と歯茎を上は、6oバック、2oアップ、下は4oバック、2oダウンし固定しました。
※口ゴボ感が改善し、ご満足いただけました。
※afterは術後6か月時の写真です。
【費用】上下セットバック 2,307,800円(税込)
【リスク】感染・腫れ・出血・知覚鈍麻など






執刀医 辻和志
【治療内容】出っ歯、口元の膨らみが気になると当院を受診されました。上の前歯と歯茎が前方にポジショニングしており、下の前歯も歯茎から前に出ておりました。
<上下セットバック>
歯と歯茎を上は、5oバック、2oアップ、下は4oバック、1oダウンし固定しました。
※口ゴボ感が改善し、ご満足いただけました。
※afterは術後6か月時の写真です。
【費用】上下セットバック 2,307,800円(税込)
【リスク】感染・腫れ・出血・知覚鈍麻など






執刀医 辻和志
【治療内容】上下セットバック…上のアゴと下のアゴが前にでていたため、上下のアゴの骨を切って後ろにさげました。
【費用】上下セットバック 2,307,800円(税込)
【リスク】全身麻酔で行うため全身の健康状態が悪い方は行うことができません。また、手術当日は安静にしていただく必要があります。






執刀医 辻和志
【治療内容】上下セットバック…上のアゴと下のアゴが前にでていたため、上下のアゴの骨を切って後ろにさげました。
【費用】上下セットバック 2,307,800円(税込)
【リスク】全身麻酔で行うため全身の健康状態が悪い方は行うことができません。また、手術当日は安静にしていただく必要があります。






大阪府 21歳 女性
執刀医 辻和志
【治療内容】上下セットバック…上のアゴと下のアゴが前にでていたため、上下のアゴの骨を切って後ろにさげました。
【費用】上下セットバック 2,307,800円(税込)
【リスク】全身麻酔で行うため全身の健康状態が悪い方は行うことができません。また、手術当日は安静にしていただく必要があります。






執刀医 辻和志
【治療内容】出っ歯、口元の膨らみが気になると当院を受診されました。上の前歯と歯茎が前方にポジショニングしており、下の前歯も歯茎から前に出ておりました。
<上下セットバック>
歯と歯茎を上は、5oバック、2oアップ、下は3oバック、1oダウンし固定しました。
※口ゴボ感が改善し、ご満足いただけました。
※afterは術後6か月時の写真です。
【費用】上下セットバック 2,307,800円(税込)
【リスク】感染・腫れ・出血・知覚鈍麻など






執刀医 辻和志
【治療内容】上下セットバック…上のアゴと下のアゴが前にでていたため、上下のアゴの骨を切って後ろにさげました。
【費用】上下セットバック 2,307,800円(税込)
【リスク】全身麻酔で行うため全身の健康状態が悪い方は行うことができません。また、手術当日は安静にしていただく必要があります。






執刀医 辻和志
【治療内容】上下セットバック…上のアゴと下のアゴが前にでていたため、上下のアゴの骨を切って後ろにさげました。
【費用】上下セットバック 2,307,800円(税込)
【リスク】全身麻酔で行うため全身の健康状態が悪い方は行うことができません。また、手術当日は安静にしていただく必要があります。






執刀医 辻和志
【治療内容】上下セットバック…上のアゴと下のアゴが前にでていたため、上下のアゴの骨を切って後ろにさげました。
【費用】上下セットバック 2,307,800円(税込)
【リスク】全身麻酔で行うため全身の健康状態が悪い方は行うことができません。また、手術当日は安静にしていただく必要があります。






執刀医 辻和志
【治療内容】上下セットバック…上のアゴと下のアゴが前にでていたため、上下のアゴの骨を切って後ろにさげました。
【費用】上下セットバック 2,307,800円(税込)
【リスク】全身麻酔で行うため全身の健康状態が悪い方は行うことができません。また、手術当日は安静にしていただく必要があります。






執刀医 辻和志
【治療内容】上下セットバック…上のアゴと下のアゴが前にでていたため、上下のアゴの骨を切って後ろにさげました。
【費用】上下セットバック 2,307,800円(税込)
【リスク】全身麻酔で行うため全身の健康状態が悪い方は行うことができません。また、手術当日は安静にしていただく必要があります。






執刀医 辻和志
【治療内容】上下セットバック+オトガイ形成術…上のアゴと下のアゴが前にでていたため、上下のアゴの骨を切って後ろに下げ、アゴ先を広範囲に切除しました。
【費用】上下セットバック+オトガイ形成術(広範囲) 2,637,800円(税込)
【リスク】全身麻酔で行うため全身の健康状態が悪い方は行うことができません。また、手術当日は安静にしていただく必要があります。






執刀医 辻和志
【治療内容】上下セットバック+オトガイ形成術…上のアゴと下のアゴが前にでていたため、上下のアゴの骨を切って後ろに下げ、アゴ先を広範囲に切除しました。
【費用】上下セットバック+オトガイ形成術(広範囲) 2,637,800円(税込)
【リスク】全身麻酔で行うため全身の健康状態が悪い方は行うことができません。また、手術当日は安静にしていただく必要があります。






執刀医 辻和志
【治療内容】上下セットバック…上のアゴと下のアゴが前にでていたため、上下のアゴの骨を切って後ろにさげました。
【費用】上下セットバック 2,307,800円(税込)
【リスク】全身麻酔で行うため全身の健康状態が悪い方は行うことができません。また、手術当日は安静にしていただく必要があります。






執刀医 辻和志
【治療内容】上下セットバック+オトガイ形成術…上のアゴと下のアゴが前にでていたため、上下のアゴの骨を切って後ろに下げ、アゴ先を広範囲に切除しました。
【費用】上下セットバック+オトガイ形成術(広範囲) 2,637,800円(税込)
【リスク】全身麻酔で行うため全身の健康状態が悪い方は行うことができません。また、手術当日は安静にしていただく必要があります。






執刀医 辻和志
【治療内容】上下セットバック…上のアゴと下のアゴが前にでていたため、上下のアゴの骨を切って後ろにさげました。
【費用】上下セットバック 2,307,800円(税込)
【リスク】全身麻酔で行うため全身の健康状態が悪い方は行うことができません。また、手術当日は安静にしていただく必要があります。






執刀医 辻和志
【治療内容】上下セットバック…上のアゴと下のアゴが前にでていたため、上下のアゴの骨を切って後ろにさげました。
【費用】上下セットバック 2,307,800円(税込)
【リスク】全身麻酔で行うため全身の健康状態が悪い方は行うことができません。また、手術当日は安静にしていただく必要があります。






大阪府 26歳 女性
執刀医 辻和志
【治療内容】上下セットバック…上のアゴと下のアゴが前にでていたため、上下のアゴの骨を切って後ろにさげました。
【費用】上下セットバック 2,307,800円(税込)
【リスク】全身麻酔で行うため全身の健康状態が悪い方は行うことができません。また、手術当日は安静にしていただく必要があります。






大阪府 29歳 女性
執刀医 辻和志
【治療内容】上下セットバック…上のアゴと下のアゴが前にでていたため、上下のアゴの骨を切って後ろにさげました。
【費用】上下セットバック 2,307,800円(税込)
【リスク】全身麻酔で行うため全身の健康状態が悪い方は行うことができません。また、手術当日は安静にしていただく必要があります。






大阪府 24歳 女性
執刀医 辻和志
【治療内容】上下セットバック…上のアゴと下のアゴが前にでていたため、上下のアゴの骨を切って後ろにさげました。
【費用】上下セットバック 2,307,800円(税込)
【リスク】全身麻酔で行うため全身の健康状態が悪い方は行うことができません。また、手術当日は安静にしていただく必要があります。






福井県 26歳 女性
執刀医 辻和志
【治療内容】上下セットバック…上のアゴと下のアゴが前にでていたため、上下のアゴの骨切って後ろに下げました。
【費用】上下セットバック 2,307,800円(税込)
【リスク】全身麻酔で行うため全身の状態が悪い方は行うことができません。また、手術当日は安静にしていただく必要があります。






執刀医 辻和志
【治療内容】上下セットバック…上下のアゴが前に出ていたため、上下のアゴの骨を切って後ろにさげました。
【費用】上下セットバック 2,307,800円(税込)
【リスク】全身麻酔で行うため全身の健康状態が悪い方は行うことができません。また、手術当日は安静にしていただく必要があります。






埼玉県 29歳 女性
執刀医 辻和志
【治療内容】上下のアゴが前にでていたため、上下のアゴの骨を切って後ろにさげました。
【費用】上下セットバック 2,307,800円(税込)
【リスク】全身麻酔で行うため全身の健康状態が悪い方は行うことができません。また、手術当日は安静にしていただく必要があります。






大阪府 22歳 女性
執刀医 辻和志
【治療内容】上のアゴと下のアゴの両方にこんもり感があったため、上下のアゴの骨をきって後ろに下げました。
【費用】上下セットバック 2,307,800円(税込)
【リスク】全身麻酔で行うため全身の健康状態が悪い方は行うことができません。また、手術当日は安静にしていただく必要があります。






埼玉県 20歳 女性
執刀医 辻和志
【治療内容】上のアゴが前にでていたため、上のアゴの骨を切って後ろにさげました。また、下のアゴ先が後退していたため、アゴ先を前方に移動させました。
【費用】上顎セットバック 1,647,800円(税込)、オトガイ前方移動術 1,537,800円(税込)
【リスク】全身麻酔で行うため全身の健康状態が悪い方は行うことができません。また、手術当日は安静にしていただく必要があります。






大阪府 31歳 女性
執刀医 辻和志
【治療内容】上下セットバック…上のアゴと下のアゴが前にでていたため、上下のアゴの骨を切って後ろにさげました。
【費用】上下セットバック 2,307,800円(税込)
【リスク】全身麻酔で行うため全身の健康状態が悪い方は行うことができません。また、手術当日は安静にしていただく必要があります。






兵庫県 47歳 女性
執刀医 辻和志
【治療内容】上下セットバック…上のアゴと下のアゴが前にでていたため、上下のアゴの骨を切って後ろにさげました。
【費用】上下セットバック 2,307,800円(税込)
【リスク】全身麻酔で行うため全身の健康状態が悪い方は行うことができません。また、手術当日は安静にしていただく必要があります。






滋賀県26歳 男性
執刀医 辻和志
【治療内容】上下セットバック…上下のアゴが前に出ていたため、上下のアゴの骨を切って後ろにさげました。
【費用】上下セットバック 2,307,800円(税込)
【リスク】全身麻酔で行うため全身の健康状態が悪い方は行うことができません。また、手術当日は安静にしていただく必要があります。




執刀医 辻和志
【治療内容】この方の場合、上のアゴと下のアゴの両方にこんもり感があった為、上下のアゴの骨を切って後ろに下げました。
【費用】上下セットバック 2,307,800円(税込)
【リスク】全身麻酔で行うため全身の健康状態が悪い方は行うことができません。また、手術当日は安静にしていただく必要があります。






執刀医 辻和志
【治療内容】上のアゴと下のアゴの両方にこんもり感があった為、上下のアゴの骨を切って後ろに下げました。
【費用】上下セットバック 2,307,800円(税込)
【リスク】全身麻酔で行うため全身の健康状態が悪い方は行うことができません。また、手術当日は安静にしていただく必要があります。






執刀医 辻和志
【治療内容】上下セットバック…上下のアゴが前に出ていたため、上下のアゴの骨を切って後ろにさげました。
【費用】上下セットバック 2,307,800円(税込)
【リスク】全身麻酔で行うため全身の健康状態が悪い方は行うことができません。また、手術当日は安静にしていただく必要があります。






大阪府 27歳 女性
執刀医 辻和志
【治療内容】上下のアゴが前に出ていたため、上下のアゴの骨を切って後ろにさげました。
【費用】上下セットバック 2,307,800円(税込)
【リスク】全身麻酔で行うため全身の健康状態が悪い方は行うことができません。また、手術当日は安静にしていただく必要があります。






執刀医 辻和志
【治療内容】出っ歯、口元の膨らみが気になると当院を受診されました。上の前歯と歯茎が前方にポジショニングしており、下の前歯も歯茎から前に出ておりました。
<上下セットバック>
歯と歯茎を上は、5oバック、2oアップ、下は5oバック、1oダウンし固定しました。
※口ゴボ感が改善し、ご満足いただけました。
※afterは術後3か月時の写真です。
【費用】上下セットバック 2,307,800円(税込)
【リスク】感染・腫れ・出血・知覚鈍麻など






執刀医 辻和志
【治療内容】出っ歯、口元の膨らみが気になると当院を受診されました。上の前歯と歯茎が前方にポジショニングしており、下の前歯も歯茎から前に出ておりました。
<上下セットバック>
歯と歯茎を上は、5oバック、2oアップ、下は5oバック、1oダウンし固定しました。
※口ゴボ感が改善し、ご満足いただけました。
※afterは術後3か月時の写真です。
【費用】上下セットバック 2,307,800円(税込)
【リスク】感染・腫れ・出血・知覚鈍麻など






執刀医 辻和志
【治療内容】出っ歯、口元の膨らみが気になると当院を受診されました。上の前歯と歯茎が前方にポジショニングしており、下の前歯も歯茎から前に出ておりました。
<上下セットバック>
歯と歯茎を上は、5oバック、2oアップ、下は4oバック、2oダウンし固定しました。
※口ゴボ感が改善し、ご満足いただけました。
※afterは術後6か月時の写真です。
【費用】上下セットバック 2,307,800円(税込)
【リスク】感染・腫れ・出血・知覚鈍麻など






執刀医 辻和志
【治療内容】出っ歯、口元の膨らみが気になると当院を受診されました。上の前歯と歯茎が前方にポジショニングしており、下の前歯も歯茎から前に出ておりました。
<上下セットバック>
歯と歯茎を上は、5oバック、2oアップ、下は4oバック、1oダウンし固定しました。
※口ゴボ感が改善し、ご満足いただけました。
※afterは術後3か月時の写真です。
【費用】上下セットバック 2,307,800円(税込)
【リスク】感染・腫れ・出血・知覚鈍麻など






執刀医 辻和志
【治療内容】出っ歯、口元の膨らみが気になると当院を受診されました。上の前歯と歯茎が前方にポジショニングしており、下の前歯も歯茎から前に出ておりました。
<上下セットバック>
歯と歯茎を上は、5oバック、2oアップ、下は4oバック、1oダウンし固定しました。
※口ゴボ感が改善し、ご満足いただけました。
※afterは術後3か月時の写真です。
【費用】上下セットバック 2,307,800円(税込)
【リスク】感染・腫れ・出血・知覚鈍麻など






執刀医 辻和志
【治療内容】上下セットバック…上のアゴと下のアゴが前にでていたため、上下のアゴの骨を切って後ろにさげました。
【費用】上下セットバック 2,307,800円(税込)
【リスク】全身麻酔で行うため全身の健康状態が悪い方は行うことができません。また、手術当日は安静にしていただく必要があります。






執刀医 辻和志
【治療内容】上下セットバック…上のアゴと下のアゴが前にでていたため、上下のアゴの骨を切って後ろにさげました。
【費用】上下セットバック 2,307,800円(税込)
【リスク】全身麻酔で行うため全身の健康状態が悪い方は行うことができません。また、手術当日は安静にしていただく必要があります。



執刀医 辻和志
【治療内容】上のアゴが前に出ていたため、上のアゴの骨を切って後ろにさげました。
【費用】上顎セットバック 1,647,800円(税込)
【リスク】全身麻酔で行うため全身の健康状態が悪い方は行うことができません。また、手術当日は安静にしていただく必要があります。






大阪府 25歳 女性
執刀医 辻和志
【治療内容】上のアゴが前に出ていたため、上のアゴの骨を切って後ろにさげました。
【費用】上顎セットバック 1,647,800円(税込)
【リスク】全身麻酔で行うため全身の健康状態が悪い方は行うことができません。また、手術当日は安静にしていただく必要があります。






大阪府 女性
執刀医 辻和志
【治療内容】上のアゴと下のアゴの両方にこんもり感があったため、上下のアゴの骨をきって後ろに下げました。
【費用】上下セットバック 2,307,800円(税込)
【リスク】全身麻酔で行うため全身の健康状態が悪い方は行うことができません。また、手術当日は安静にしていただく必要があります。






大阪府 29歳 女性
執刀医 辻和志
【治療内容】上のアゴと下のアゴの両方にこんもり感があったため、上下のアゴの骨をきって後ろに下げました。
【費用】上下セットバック 2,307,800円(税込)
【リスク】全身麻酔で行うため全身の健康状態が悪い方は行うことができません。また、手術当日は安静にしていただく必要があります。






大阪府 27歳 女性
執刀医 辻和志
【治療内容】上下セットバック…上のアゴと下のアゴが前にでていたため、上下のアゴの骨を切って後ろにさげました。また、アゴ先も整えました。
【費用】上下セットバック +オトガイ形成 2,417,800円(税込)
【リスク】全身麻酔で行うため全身の健康状態が悪い方は行うことができません。また、手術当日は安静にしていただく必要があります。



大阪府 34歳 女性
執刀医 辻和志
【治療内容】上のアゴと下のアゴの両方にこんもり感があったため、上下のアゴの骨をきって後ろに下げました。
【費用】上下セットバック 2,307,800円(税込)
【リスク】全身麻酔で行うため全身の健康状態が悪い方は行うことができません。また、手術当日は安静にしていただく必要があります。






兵庫県34歳 女性
執刀医 辻和志
【治療内容】上下セットバック…上下のアゴが前に出ていたため、上下のアゴの骨を切って後ろにさげました。
【費用】上下セットバック 2,307,800円(税込)
【リスク】全身麻酔で行うため全身の健康状態が悪い方は行うことができません。また、手術当日は安静にしていただく必要があります。






執刀医 辻和志
【治療内容】上下セットバック…上下のアゴが前に出ていたため、上下のアゴの骨を切って後ろにさげました。
【費用】上下セットバック 2,307,800円(税込)
【リスク】全身麻酔で行うため全身の健康状態が悪い方は行うことができません。また、手術当日は安静にしていただく必要があります。