






【治療内容】部分矯正(表側ワイヤー)で歯並びを治しました。
【費用】部分矯正 260,000円(税抜)
【リスク】矯正装置が口の中にあたって口内炎が出来やすくなる方もおられます。



【治療内容】ワイヤーで上顎の部分矯正を行いました。治療期間は10ヶ月です。
【費用】部分矯正 260,000円(税抜)
【リスク】矯正装置が口の中にあたって口内炎が出来やすくなる方もおられます。





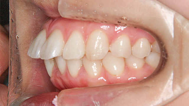
【治療内容】上顎の前歯1本が前に傾いて、出っ歯のように見えていた症例です。歯と歯のガタつきもあわせて、部分矯正で整えました。抜歯は行わず、非抜歯で治療しています。治療期間:1年
【費用】ホワイトワイヤー部分矯正 280,000円(税抜)
【リスク】矯正装置が口の中にあたって口内炎が出来やすくなる方もおられます。

【治療内容】出っ歯の患者様の症例です。
ホワイトワイヤー矯正で治療しました。
【費用】ホワイトワイヤー矯正 795,000円(税抜)
【リスク】矯正装置が口の中にあたって口内炎が出来やすくなる方もおられます。
※症例紹介の費用は掲載時点の金額です。治療費用は改定される場合がありますので、最新の料金はお問い合わせください。

これらに基づいて、あなたに最適な治療法を丁寧にご説明します。
出っ歯の治療は症状によって違います。
当院はあなたに合った治し方をご提案します。
など正確な診断をしてご説明します。
具体的な方法としては6つあります。6つの治療法ができる医院は全国に数軒しかありません。
「出っ歯」と「口ゴボ」は一見同じように見えることがありますが、実は原因がまったく異なります。原因によって適した治療法も変わるため、この違いを理解することがとても大切です。

歯の角度や位置が前に傾いている状態のことです。医学的には「上顎前突(じょうがくぜんとつ)」と呼ばれます。
歯の傾きだけが原因なら、矯正で十分改善できます。

歯を支える骨(歯槽骨)や、上あご・下あごが前方に位置している状態です。医学的には「上下顎前突(じょうげがくぜんとつ)」に該当することが多いです。
骨格が原因の場合は歯だけでは下がりにくく、セットバック手術が有効な場合があります。
出っ歯だと思っていた方も、実は「口ゴボ(骨格性)」であるケースが多く見られます。
ご自身がどちらのタイプかによって、矯正が適しているのか、セットバック手術が適しているのかが大きく変わります。
出っ歯(上顎前突)は、上の前歯の角度や位置が前に出ている「歯が原因」の状態です。
口ゴボ(上下顎前突)は、歯を支える骨や顎の位置が前方にある「骨格が原因」の状態で、原因により適した治療法が変わります。
はい。出っ歯は前歯を後ろに下げることで改善します。
歯の傾きや位置が主な原因であれば、矯正治療で改善しやすいケースが多いです。
出っ歯の原因が歯である場合はインビザラインで改善が見込めます。
ただし、骨格ごと出ている重度の場合は、外科的治療(セットバック手術)が適していることもあります。
大人(中学生以上)の出っ歯治療では、小臼歯(前から4番目など)を抜いてスペースを作り、前歯を後ろへ移動させる方法を提案することがあります。
必要かどうかは歯並びや骨格、下げる量により異なります。
治療期間は症状や治療方法によって異なりますが、矯正治療の期間はおおむね1年〜3年が目安です。
詳しい期間の目安はカウンセリングでお口の状態を確認したうえでご案内します。
出っ歯を治すには小臼歯を抜歯して、そこに出来たスペースに前歯を移動させて治療します。
成人の方の場合は、歯を安全に動かすためにも抜歯矯正を提案する場合がございます。
小臼歯を抜歯すると、5mmくらいのスペースができますので、そのスペースに前歯を移動させて出っ歯を治します。
前歯が下がると上あごの骨格自体も下がります。

上下の前歯が骨格ごと下がりますので、横顔がキレイになります。
最近、自力で治したいと、割り箸を使ったセルフトレーニングで治すなどがネットに上がっていますが、大変危険です。歯にダメージがかかって歯が折れてしまったり、抜歯につながる可能性もあります。欠損して後悔されないように、矯正は歯科医師にお任せくださいね。
【治療内容】上の前歯が骨格ごと大きく出ている場合は4番の歯(第一小臼歯)を抜いて歯を動かすスペースを作り、前歯を後ろに下げます。
【費用】ワイヤー矯正 750,000円(税抜)
【リスク】ワイヤーを初めてつけてから1週間は少し痛みがあり、食事もしにくいため、気をつける必要があります。
最近、マウスピース矯正がすごく注目されてます。
マウスピースは取り外し式でお手軽で、人前に出る時は外せるなど、メリットがたくさんあります。
以前は、出っ歯はマウスピースでは治りにくいと言われてました。
現在では、出っ歯の方のほとんどはインビザライン矯正で治ります。

にもかかわらず、出っ歯はインビザラインでは治らないと言ってる歯科医院はインビザラインの知識や経験がないか格安の歯科医院です。
ただ、キレイに治りにくい場合もあります。それは、骨格ごとひどい出っ歯になってる場合です。
そういう場合でも、インビザライン矯正の結果、前歯が引っ込みますので治ることは治りますが、前歯を引っ込める量がすごく大きい方の場合は、ワイヤーを併用したり手術の方が適してる場合もあります。

出っ歯を治すためには、前から4番目の歯を抜いて、できたスペースに前歯を引っ込めるわけですが、その時に、奥歯を支えにして、前歯を引っ張ってさげるために、奥歯が前に行きやすいんです。
裏側矯正の場合は、ワイヤーを裏に付ける為に奥歯が前に行きにくくなり、より大きく前歯が下がります。なので、裏側矯正は出っ歯治療に向いているんです。
どちらも、メリット・デメリットがあります。どちらを選ぶかは、時間、費用、見た目だけでなく、他にも健康面など色んなことが関わってきます。具体的にご案内します。

歯を削ってセラミックの歯をかぶせて治したとしても、出っ歯の歯の向きが変わるだけです。
向きが変わるだけで良いという方には良いかもしれませんが、お顔の骨格自体が後ろに引っ込むことはありません。
クラウンと呼ばれるかぶせものもオールセラミックなど材料が様々です。どれを選ばれるかにより歯肉との境目に金属が見えてしまったり、見た目も変わってまいります。
ですので、ワイヤー矯正などに比べると凄くキレイにはならないのです。さらに、大事な歯の神経も取らなければいけません。ただ、治療期間は短いです。メリット、デメリットをまとめます。
メリット
デメリット

メリット
デメリット
【結論】全体的に出っ歯の方には、かぶせて治す方法はオススメできません。
子供さんの出っ歯治療には3つの種類があります。
1. 上あごの骨格の位置は正常。前歯だけが前に飛び出している。
2. 上あごの骨格の位置は正常。下あごが引っ込んでいる。
3. 上あごの骨格が前に出ている。
それぞれについて治療法をご説明します。

この場合は上あごの骨格は正常なのに、出っ歯になっている場合です。
⇒前歯の角度を変えて治す。
(装置はワイヤー、ブラケット等)
⇒6歳臼歯→小臼歯→前歯(重なりを取ってから)の順で後ろに下げる。
(装置はGMD,ペンデュラム、ワイヤー、ブラケット)
(装置は、斜面板、FKOなど)
骨格を後ろに下げて出っ歯を治します。3つの治療方法があります。
⇒スペースに前歯を移動させて出っ歯を治す。
(装置はワイヤー、ブラケット)

出っ歯、口元が突出している状態の治療方法は大人と子供で大きく異なります。
子供さんは骨格の成長を利用して出っ歯を治し、大人は歯と骨格を動かすことで改善することが可能です。
上の前歯が下の前歯より突き出ている状態を出っ歯もしくは上顎前突と言います。
出っ歯は上の前歯が前に出ている歯並びで、口元が盛り上がって見えたり、または下顎が引っ込んでいる場合もあります。そのため見た目が気になり、コンプレックスになっている方も多くおられます。
「出っ歯」は不正咬合の中で日本人に多い症状です。歯だけが出ている場合と上あご全体が下あごよりも大きく出ていて骨格的に問題のある場合があります。
出っ歯の原因には大きくわけて二つあります。遺伝によるもの(先天的)と、癖(くせ:後天的)によるものです。
1.遺伝:親から引き継いだもので、これはどうしようもありません。
2.おしゃぶり(幼児期のおしゃぶり)を長期間使用した人:赤ちゃんの時におしゃぶりを使っていて、それがやめられなくて指しゃぶりをする子どもさんは前歯をベロで押してしまい、前歯が前に出てしまいます。
3.爪を噛む癖のある人:爪を噛むと、上の前歯が、前方方向に倒れてきて、出っ歯の原因になったり、歯と歯の間にすき間ができてしまったりします。
4.口呼吸(くちこきゅう)をしてる人:口呼吸を長く続けていると、いつも口がポカンと開いた状態になってしまいます。そうすると、唇の筋肉が弱ってしまい、ベロの筋肉に前歯が押されて前歯が出てしまい、出っ歯になってしまいます。
5.唇を噛む癖のある人(下くちびるを前歯で噛む):下くちびるを噛むと下の前歯は内側に倒されます。上の歯は外側に出てしまい、出っ歯の原因となります。
6.ベロを前に出す(ベロで前歯を押す)癖のある人:物を飲み込む時にベロを前に押し出すような癖のある方は、ベロが前歯を押しており、出っ歯の原因となります。
7.ベロを上下の前歯の間にはさむ癖のある人:何かに夢中になったりテレビを見ているときに、口がポカーンと開いてしまって上下の歯と歯の間にベロが入りこむと、ベロが前歯を後ろから押すことになってしまい、出っ歯の原因となります。
8.ベロを前歯で噛む癖のある人:ベロを前歯で噛むと、前歯は前に押し出される方向に力が働いてしまい、出っ歯になってしまいます。

出っ歯で起こる問題として上の前歯が出ていることで上唇が上がったままになり、口が閉じにくいという傾向があります。
また、唇が閉じにくくなるので唇が乾燥したり、口呼吸になってしまったり、ぶつかった時に折れたり欠けたりしやすくなりますので、注意が必要です。
出っ歯には上の歯だけが出ているタイプと上あごの骨がずれて前に出ているタイプがあります。原因としては遺伝的要因と口呼吸、指しゃぶり、舌の癖などがあります。
口元が出ていると口が閉じにくいため口の中が乾燥しやすく唾液が少なくなり、放っておくと虫歯、歯周病、口臭のリスクが高くなります。また、発音障害が出たり、上下の歯がうまくかみ合わないため顎関節への負担も大きくなります。
上下の前歯がうまく咬み合わないので無意識のうちにあごをずらして咬む癖がついてしまうことがあり顎関節への負担を大きくしてしまいます。そこから頭痛や肩こりを引き起こすこともあります。
出っ歯が治ると、見た目が良くなるために何事にも前向きで活発になり、人前に出るのが楽しくなり、自分に自信が持てます。
また、むし歯や歯周病にもなりにくくなり、さらには肩こりや顎関節症にもなりにくくなることが証明されています。つまり、心も体も健康になります。
具体的な治し方にはいろんな方法があります。ワイヤーを表からつける方法、周囲にわかりにくいよう裏からつける方法や程度が軽ければマウスピース型の矯正装置で治すこともできます。
きれいな歯並びになると見た目がよくなるだけでなく、しっかり食べ物が噛める、虫歯や歯周病の予防、頭痛や肩こりの軽減など多くのメリットがあり、歯や体の健康を保つことにつながります。
大阪矯正歯科グループでは、「自然な見た目」と「良い噛み合わせ」の2点を ゴールと考え、出っ歯でお悩みの方の治療を行っていきます。
ただ、正確な診断は、実際に前歯、奥歯、お顔(横顔)も見ないと分かりません。
さらに、3Dシミュレーションで、治療後の状態をお見せすることができますので大変わかりやすいです。
今なら無料カウンセリングしていますのでお気軽にご予約ください。
相談だけでも大歓迎です
他院との比較も問題ありません