当院はホワイトワイヤー矯正ができます。


ワイヤー矯正とは、ブラケットという歯の表面にくっつける装置とワイヤーを使った矯正方法です。
それぞれの歯の表面にブラケットを取り付けて、ブラケットをつなぐようにワイヤーを通して歯並びを整えていきます。
以前は金属製のブラケットを使うことが多かったのですが、現在では白いセラミック製の目立たないブラケットを使用することが多いです。
当院も白いセラミックブラケットを使用しております。
ワイヤーに関しても以前は銀色のワイヤーが主流でしたが、近年は白いワイヤーを使用することも多くなっています。
当院では基本、ホワイトワイヤーでしています。金属のワイヤーですることもできます。
また、歯の裏に装置を付ける裏側矯正もしています。
| 白いワイヤー | 金属のワイヤー | 裏側矯正 |
|---|---|---|
![]() |
![]() |
![]() |
|
メリット・デメリット
|
メリット・デメリット
|
メリット・デメリット
|

ワイヤーの金属色がやや目立つため見た目が気になる方には、審美性が高く、目立たない「ホワイトワイヤー矯正」をお勧めしています。
ホワイトワイヤーを使うと、歯の表側に装置を付けていても目立ちにくく、至近距離で見ると気付きますが、少し離れて見ると矯正しているとわかりません。
白いワイヤーを使い、ブラケットも白いセラミックブラケットを使用しますので、歯の色になじんでかなりカモフラージュ出来ます。
完全に見えないわけではないので、かなり近づくとわかりますが、ぱっと見ただけではわかりにくいです。ワイヤーの銀色が気になっていた方は白いワイヤーを使うことをお勧めしています。




最も一般的な方法で歯の表側にブラケットとワイヤー(マルチブラケット装置)を取り付けて 力をかけることによって歯並びを整えていきます。 通常は永久歯列に適用し、複雑な不正咬合でも治せるのが特徴です。
当院のワイヤー矯正では、歯の表面につけるブラケット(ボタンのようなもの)は、白色のセラミックブラケットを使用しています。ワイヤーは普通の銀色のものを使用します。
当院では、全て歯の色に近いセラミックの白色のブラケットを使っておりますので、銀色の金属のメタルブラケットと比べるとかなり目立ちにくくなっています。


「目立たない方法で歯並びを治したい」とおっしゃる患者さんが殆どですので、この白いセラミックブラケットを実際にご覧になると、透明ではないにせよ、思っていたほどには目立たないことがわかって驚かれます。

ワイヤー矯正にはメリットもデメリットもありますので、じっくり検討して決めて下さいね。
1. 確実に歯が動く
マウスピース矯正は取り外しのため、入れるのを忘れると動きませんが、ワイヤーは付けっぱなしのため、確実に動きます。マウスピース矯正では治しにくい歯並びも、ワイヤー矯正では治すことができます。
2. 全ての症例に適応できる適応範囲が広い治療法。ひどい出っ歯や受け口でも治る。
3. マウスピースと違って、装置の管理や洗浄が必要ない。
4. マウスピース矯正より、費用が安い。
5. 取り外しの手間がない。(その反面、取り外しができないというデメリットもある)
1. ワイヤーを付けてる事が他人から見えてしまう(ただし、白いワイヤーは見えにくい)
2. 歯ブラシが最初はしにくい(ただし、1週間くらいで慣れる)
3. 装置が舌やほっぺにあたって痛い(ただし、1〜2週間で慣れる)
また、裏側矯正の場合は、舌の痛みがしばらく続く事もある。
4. 歯ブラシがちゃんとできないと虫歯になるリスクもある。
5. 金属アレルギーの方はできない事がある。
6. 装置が外れる可能性もあり、外れると歯科医院で再度付け直さないといけない。
※症例紹介の費用は掲載時点の金額です。治療費用は改定される場合がありますので、最新の料金はお問い合わせください。






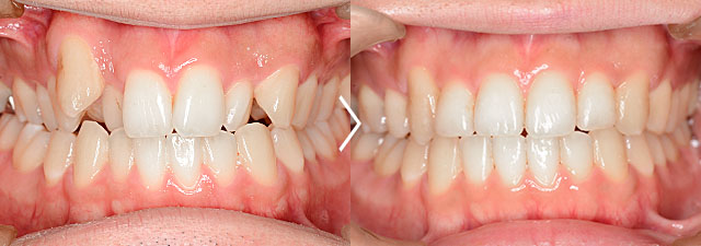
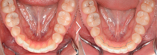
【治療内容】八重歯(叢生)の患者さんです。ホワイトワイヤー矯正で歯並びを治しました。
【費用】ホワイトワイヤー矯正 795,000円(税抜)
【リスク】矯正装置が口の中にあたって口内炎が出来やすくなる方もおられます。






【治療内容】ホワイトワイヤー矯正で、上の八重歯と下の歯並びのデコボコがきれいに整った症例です。
【費用】ホワイトワイヤー矯正 795,000円(税抜)
【リスク】矯正装置が口の中にあたって口内炎が出来やすくなる方もおられます。





【治療内容】ホワイトワイヤー矯正で、上の八重歯と下の歯並びのデコボコがきれいに整った症例です。
【費用】ホワイトワイヤー矯正 795,000円(税抜)
【リスク】矯正装置が口の中にあたって口内炎が出来やすくなる方もおられます。






【治療内容】ホワイトワイヤー矯正で、上の八重歯と下の歯並びのデコボコを整え、きれいな歯並びになった症例です。治療期間:1年8ヶ月
【費用】ホワイトワイヤー矯正 795,000円(税抜)
【リスク】矯正装置が口の中にあたって口内炎が出来やすくなる方もおられます。






【治療内容】すきっ歯でお悩みでご来院いただき、ホワイトワイヤー矯正で行った症例です。
【費用】ホワイトワイヤー矯正 795,000円(税抜)
【リスク】矯正装置が口の中にあたって口内炎が出来やすくなる方もおられます。

【治療内容】ホワイトワイヤー矯正で治療を行った、叢生の患者様の症例です。
【費用】ホワイトワイヤー矯正 795,000円(税抜)
【リスク】矯正装置が口の中にあたって口内炎が出来やすくなる方もおられます。






【治療内容】ホワイトワイヤー矯正で治療を行った、叢生の患者様の症例です。
【費用】ホワイトワイヤー矯正 795,000円(税抜)
【リスク】矯正装置が口の中にあたって口内炎が出来やすくなる方もおられます。






【治療内容】ホワイトワイヤー矯正で治療を行った、叢生の患者様の症例です。
【費用】ホワイトワイヤー矯正 795,000円(税抜)
【リスク】矯正装置が口の中にあたって口内炎が出来やすくなる方もおられます。






【治療内容】上下の歯が出ている上下前突の患者さんです。ホワイトワイヤー矯正で歯並びを治しました。
【費用】ホワイトワイヤー矯正 795,000円(税抜)
【リスク】矯正装置が口の中にあたって口内炎が出来やすくなる方もおられます。






【治療内容】上下の歯の間にすき間が開いている開口の患者さんです。ホワイトワイヤー矯正で歯並びを治しました。非抜歯で治療しました。
【費用】ホワイトワイヤー矯正 795,000円(税抜)
【リスク】矯正装置が口の中にあたって口内炎が出来やすくなる方もおられます。



【治療内容】ホワイトワイヤー矯正で治療を行った、開咬・叢生の患者様の症例です。
【費用】ホワイトワイヤー矯正 795,000円(税抜)
【リスク】矯正装置が口の中にあたって口内炎が出来やすくなる方もおられます。





【治療内容】受け口をホワイトワイヤー矯正で治しました。治療期間:1年3ヶ月
【費用】ホワイトワイヤー矯正 795,000円(税抜)
【リスク】矯正装置が口の中にあたって口内炎が出来やすくなる方もおられます。

ワイヤーを付けた直後は、歯に痛みがあったり、食べ物がワイヤーと歯の間にはさまったりするので、かなり食べにくいです。最初は柔らかい食べ物が中心になります。
また、歯ブラシも慣れるまでは大変なので、歯ブラシが面倒くさくて、間食を含め、食べる気もなくなります。(その間は本当にダイエット代わりになって痩せます。笑)
ただ、わずか1週間で殆んどの方は慣れて、固い物でも肉でも食べれるようになります。なので、結論は食事に関しては心配されなくて大丈夫です!

矯正治療中に起こる痛みは、ほとんどが「歯が動くことで起きる痛み」で、ワイヤーをつけかえて調整を行う時などに起こりやすいです。
大抵は3〜4日で痛みがひきますが、我慢できない時は痛み止めを飲んでいただきます。
歯が動く時の痛み以外に、矯正装置が頬や舌に当たって痛む時があり、その場合はご自身で装置の出っ張りにロウ、ワックスを付けていただくと痛みや違和感が減ります。詳しくは担当医からご説明いたします。

抜歯するかどうかですが、前歯の重なりがどのくらいの程度なのかによります。例えば、前歯がすごく重なってる方は歯を抜かなければいけない場合が多いです。またすごく八重歯がすごくきつい方も歯を抜かなければいけません。
前歯と八重歯の両方が結構重なってる場合も歯を抜かないといけないかも知れません。普通は前歯の重なりが全体で8mm以上あると抜歯になる可能性が高くなります。
抜歯が必要かどうかは初診カウンセリング時に、実際に歯の状態を見せていただいたうえでお話させていただきます。

ワイヤーは銀色のワイヤーと目立ちにくいホワイトワイヤーがあります。ワイヤーはレールのような役目でワイヤーに沿って歯が動いて徐々に歯列が整っていきます。
目立ちにくい白いセラミックのブラケットを使用しています。ブラケットは歯に表面に接着しワイヤーを通して歯を動かしていきます。(写真のブラケットについている小さな点は装着する歯の種類と位置を識別するしるしです。水性ですので装着して数日で消えます。)
奥歯にはブラケットではなくチューブという装置をつけます。歯に直接取り付ける場合と、バンドという奥歯にはめる金属の輪っかに取り付ける場合があります。
費用は、歯並びの状態や治療範囲、装置の種類(ホワイトワイヤー/メタルワイヤー/裏側矯正など)によって異なります。
初診カウンセリングで診察したうえで、治療内容と費用の目安をご案内します。
歯並びの程度や治療方法によりますが、治療期間は通常1年〜3年(平均2年)が目安です。治療中の通院は月1回程度です。
前歯など気になる部分だけを整える部分矯正の場合は、3ヶ月〜1年程度が目安になります。
痛みはワイヤー調整後などに出やすいですが、多くは3〜4日で落ち着きます。
装置が頬や舌に当たる痛みは、ワックスで軽減できることがあります。
はい。当院はホワイトワイヤー矯正に対応しています。ホワイトワイヤーと白いセラミックブラケットで、表側でも目立ちにくくできます。
ご希望によりメタルワイヤーも選べます。
付けた直後は食べにくいことがありますが、多くの方は約1週間で慣れます。
歯みがきは最初は難しいものの、慣れると問題なくできる方が多いです(磨き残しは虫歯リスクになるため丁寧なケアが大切です)。