

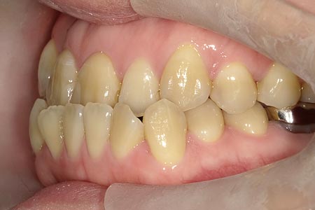
▲反対咬合(受け口)

下の前歯が上の前歯よりも前に出ている状態を受け口といいます。
上の歯が下の歯にかぶさるようになるのが正しい咬み合わせですが、受け口の方は上の歯に下の歯がかぶさっています。
受け口は「反対咬合」または「下顎前突」ともいいます。前歯だけが前後している場合とあごの骨が前後にずれている場合があります。横顔がしゃくれているように見えることがあります。
受け口の原因は遺伝的なものと後天的なものがあります。
遺伝的な要因と咬み合わせ、筋肉のバランス、頬杖・下あごを出す癖などが関係しています。受け口は下あごが大きく成長しすぎてしまったり、上あごが成長できずに小さい場合などに起こります。
両親が受け口だと、遺伝によって子供も受け口になることがあります。上顎が小さい、または下顎が大きいことが受け口の原因になります。
日常的に下顎を突き出す癖があったりすると、受け口の原因になりますし、顎関節症になることもあります。
口呼吸をしていると、舌の位置が下がってしまい、気道が狭くなるために無意識のうちに下顎を突き出すようにして気道を確保しようとします。 これを続けた結果、受け口になってしまいます。
受け口の場合前歯がきちんと咬みあわないので食べ物をよく噛めなかったり、舌の動きが制限されて発音がしにくく特にサ行やタ行が難しくなるので、言葉が聞き取りづらいと言われることもあります。
また下あごが前に押し出されることで歯が動揺(歯がグラグラする)したり、歯肉が下がり歯周病を引き起こしやすくなります。

大人の方の場合、骨格の成長は終わってますので、子どもさんのような骨格にアプローチするような治療法ではなく、歯を動かすことによって治していきます。
基本的には「上の前歯を前に持ってくる」か、「下の前歯を後ろにひっこめる」ことになります。普通は両方を合わせて治療をします。
大人の受け口の治し方は症状によって変わります
症状別にご説明します
この場合は、歯を抜くことなしに、上あごの歯並びをキレイに並べる時に、上あごの前歯を前に出すことによって受け口を治します。
この方法で治療できた場合は治療期間も短く、歯も抜かないので患者さん的には結構楽に矯正ができます。


この場合、前に出てしまっている下あごの前歯を引っこめる訳ですが、どうやって引っこめるかというと、小臼歯(前歯と奥歯の中間の歯)を抜いて、そこに出来たスペースを利用して前歯を引っこめていきます。
小臼歯を抜くと、そこには5mmくらいのスペースができますが、そこにできた5mmくらいのスペースに前歯を下げて持って行くわけです。
重度の場合は、完璧に治そうと思えば手術をしなければなりません。ただ、手術はもちろん全身麻酔とか、手術自体のリスクもありますので患者さんご自身も本来は望んでおられないと思います。
手術なしで治そうと思えば治すことはできます。その場合、どんな風に治るかと言うと、上下の前歯の前後関係が反対であった状態が、正常な状態になるということです。

前歯の関係は正常になりますが、骨格を治すことはできませんので、下あご自体の「出てる感」、横顔で見た時の下あごの突出感というものはあまり治りません。
どうしても突出感自体を治したいという方や、顎骨自体が大きい方は手術をお勧めいたします。

受け口は小児矯正をおすすめいたします。
小さいうちに治しておけば、成長を利用しながら骨格や歯並びを整えていきますので、大人になってから治すよりきれいに治ります。
また、受け口は自然に治る可能性は低く、手術が必要になるケースもあります。

受け口を小児矯正で治療することで、外科手術なしに治る可能性がかなり高くなりますし、思春期に受け口で悩むといった心理的な負担も減ります。

受け口のお子さんの場合は治療開始年齢が早い方が、お子さんの成長を利用して歯並びや噛み合わせも含めて治すことが出来ますので、早めに矯正歯科までご相談くださいね。

一年以内に効果があらわれてくるお子さんもおられます。
お子さんが反対咬合では乳歯の時期に既に反対咬合になっている場合が多いです。
反対咬合になると、上下の前歯がぶつかり合うため、ものが食べにくい等、様々な問題が起こってきます。
そのため、出来るだけ早めに歯科にご相談ください。

治療法としては、下顎の成長を抑制しながら、上顎の成長を促進していきます。
3〜5才の子供さんの場合は寝ている時だけ装着する「ムーシールド」という簡単な方法で治療を行うことが多いです。
ムーシールドは主に上あごの成長を促進するために使用するマウスピース型の矯正装置です。

6才くらいからは上あごを前方に成長させるために上顎前方牽引装置(じょうがくぜんぽうけんいんそうち)を使います。
上顎前方牽引装置は、上あごを前に成長させると同時に下あごの成長を抑制して、受け口を治します。

上あごの成長は11才までには終了するために、11才を過ぎた子どもさんの場合には、チンキャップという下あごの成長抑制装置を使うこともあります。


骨格のコントロールを行いながら、歯並び自体も治します。
歯並びに関しては、上あごの成長を促進しただけでは歯並びがきれいにならず、最終的にはワイヤーを歯に付けて治すこともあります。
ワイヤーを付ける時期は、永久歯が生えそろってからの12才以降くらいになることが多いです。


【治療内容】前歯1本だけが反対咬合になっていました。その1本を前に出すためにリンガルアーチという装置を使いました。およそ3週間で治療出来ました。
【費用】120,000円(税抜)
【リスク】初めて装置を入れた子どもさんにとっては一週間くらいは慣れないので思わず指で触ってしまい装置を変形させてしまわないようにすることが大事です。
※症例紹介の費用は掲載時点の金額です。治療費用は改定される場合がありますので、最新の料金はお問い合わせください。


【治療内容】受け口・叢生をワイヤー矯正で治しました。
【費用】ワイヤー矯正 750,000円(税抜)
【リスク】ワイヤーの付け始めに痛みが出ることがあります。


【治療内容】受け口をインビザラインで治しました。
【費用】インビザライン 790,000円(税抜)
【リスク】インビザラインを1日22時間入れなければいけないため、ちゃんと入れていただけない方はちゃんと治療が進みません。






【治療内容】受け口の患者さんです。インビザラインを装着し歯並びを治しました。
【費用】インビザライン 790,000円(税抜)
【リスク】インビザラインを1日22時間入れなければいけないため、ちゃんと入れていただけない方はちゃんと治療が進みません。
以下はご興味のある方のみお読みください

受け口の方の場合、歯を抜いて治療するかどうかをよく聞かれますが、骨格的に下あごの出具合がきつい場合は、下の小臼歯2本を抜く可能性が高くなります。また、下あごの前歯がかなり重なっている場合も小臼歯抜歯の可能性が高くなります。
下あごの出具合があまりきつくない場合で、下あごの前歯が重なってなく、上あごの歯が重なっている場合は上下とも抜かなくてもいける可能性が高いです。
あるいは、下あごを大きく下げたいというお気持ちが強ければ、下あごの歯は抜いた方が大きく下がります。

また、受け口の治療期間に関してですが、それは個人によってかなり違ってきます。ただ大ざっぱに言うならば、早くて1年半、長くて2年半から3年くらいかかります。
この治療期間は歯を抜くかどうかによって大きく変わりますし、受け口の程度によっても変わります。そして、患者さんご自身の希望によっても変わります。もちろんなるべく早く終わるよう最新の知識で臨んでいます。
そして、受け口治療をマウスピース矯正や裏側矯正でしたという方も結構いらっしゃいます。結論は裏側矯正は適していますが、マウスピース矯正は適応が限られるということです。マウスピース矯正は大きく歯を引っ込めることが苦手なんです。でも、できる場合もありますのでご相談頂けたらと思います。
あと、当然ながら結果的に治療が終わったらどんな感じになるのか知りたいという方も多いです。
治療が終わって最終的にどんな風になるかは、治療前の状態やご自身のご希望で大きく変わってきます。

もし骨格的に受け口がきつい場合であれば、歯並びはキレイになりますが、骨格的に下あごが大きく引っ込むことはありません。横顔的にも、少ししか変わらないかと思います。ただ、歯並びの反対は治りますし、少しは下あごも下がりますので、それで満足の方もおられますし、そうでない方もおられます。
骨格的に大きな問題がなく、ただ単に前歯のかみ合わせが反対になってるだけでしたら、治療後はかなり満足度の高い仕上がりになります。歯並びはすごくキレイになり、またかみ合わせもぐんと良くなります。
我々矯正歯科医は、最もキレイな仕上がりになるよう常に患者さんのことを考え、毎日矯正治療の勉強をしています。

最後になりますが、受け口を治すのに歯にセラミックをかぶせて治す方法もあります。軽度の受け口ならそれでもいいかとは思いますが、そうでない場合は基本的にはそんなにお勧めはしていません。
なぜなら、歯を大きく削ったり、歯の神経を取ったりするからです。そういったことを行うと、歯は残念ながら弱くなり寿命が縮まります。一生の健康のことも考えた治療が望ましいと考えています。
さらに、かぶせて治す場合は仕上がりもそんなにキレイにはなりにくいです。
見た目だけでなく機能的な問題も改善します


矯正治療によって歯並びがきれいに整い、咬み合わせが改善することで、 顔のゆがみの改善にもつながります。受け口を治すと見た目はもちろん、食べ物が良く咬めるようになるなど機能的な問題も改善されます。
大阪矯正歯科グループでは、「自然な見た目」と「良い噛み合わせ」の2点を ゴールと考え、受け口の治療を行っていきます。
ワイヤー矯正と併用して歯列を後ろへ動かすための固定源としてミニスクリューを埋め込む方法です。一般的な矯正では奥歯を固定源としますが、奥歯にも力がかかり前に動いてしまうので歯が十分に後退できなくなってしまいます。ミニスクリューを固定源にするので理想的な位置に歯列を動かすことができます。
歯の表側にブラケットとワイヤーをつける方法です。白いセラミックブラケットとホワイトワイヤーを使いますので目立ちにくいです。セラミックブラケットは歯の色に近いので従来の銀色のブラケットのようにギラギラした感じがなく上品です。
開咬やすきっ歯、ガタガタ(叢生)他、様々なお悩みにお答えしておりますので、お気軽にご相談ください。
※当院では初診相談は無料で行っておりますが、精密検査が必要な場合は検査費用を別途申し受けておりますのでご了承ください。
顎変形症の方は保険適用で矯正治療も外科手術も受ける事ができる場合がありますが、入院設備が必要なため当院では扱っておりませんので、ご了承ください。
受け口は、下の前歯が上の前歯より前に出て上下のかみ合わせが逆になっている状態です。
「反対咬合」「下顎前突」とも呼ばれ、前歯のかみ合わせの問題の場合と、あごの骨格が関係している場合があります。
原因は遺伝的な要因と後天的な要因があります。
下あごが大きく成長しすぎたり、上あごの成長が不十分な場合に起こることがあり、頬杖・下あごを出す癖、口呼吸などが影響することもあります。
症状によって異なります。軽度は矯正だけで改善できる場合があります。
中程度では小臼歯を抜いてスペースを作り、下の前歯を後ろへ下げて治すことがあります。
重度は骨格まできれいに治すには手術が必要な場合がありますが、手術なしでも前歯のかみ合わせを正常にする治療は可能です(ただし骨格の「出ている感じ」は残ることがあります)。
条件によってはマウスピース矯正(インビザライン)で改善を目指せます。
下の前歯の重なりが強い場合は、小臼歯を抜いてできたスペースを使い、マウスピースで歯を整えることで改善を目指します。
骨格が原因の受け口(骨格性)の場合は、矯正のみでは限界があるため、当院ではセットバック手術をご案内しています。
治療期間は受け口の程度、抜歯の有無、治療方法やご希望によって変わります。
目安として早い方で1年半、一般的に2年半前後、長い場合は2年半〜3年くらいかかることがあります。