
※症例紹介の費用は掲載時点の金額です。治療費用は改定される場合がありますので、最新の料金はお問い合わせください。



患者さんからは、コンプレックスだった歯並びが改善されたことで、人前で口を開けることに抵抗がなくなり、自然と日々の生活に笑顔が増えたと嬉しいお言葉をいただきました。
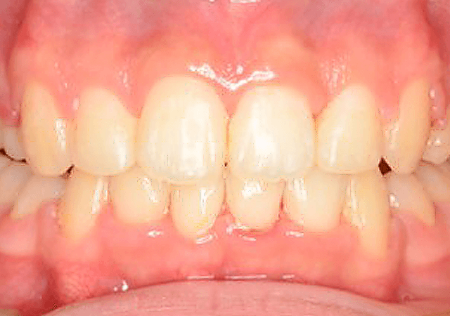
【治療内容】八重歯(叢生)の患者さんです。ワイヤー部分矯正で歯並びを治しました。
【費用】ワイヤー部分矯正 260,000円(税抜)
【リスク】矯正装置が口の中にあたって口内炎が出来やすくなる方もおられます。



患者さんからは、歯並びが綺麗になって自分に自信を持てるようになった。周りからは性格が明るくなったと言われると嬉しいお言葉をいただきました。
【治療内容】八重歯(叢生)の患者さんです。マウスピース部分矯正(インビザラインGO)で歯並びを治しました。治療期間:1年6ヶ月
【費用】マウスピース部分矯正(インビザラインGO) 390,000円(税抜)
【リスク】マウスピースを1日22時間入れなければいけないため、装着時間を厳守しないと矯正治療が進みません。





【治療内容】上顎前歯部に歯のガタつきがあり、前歯1本が前に傾いて見えていた症例です。部分矯正で前歯の重なりと傾きを整えました。抜歯は行わず、非抜歯で治療しています。治療期間:1年
【費用】ホワイトワイヤー部分矯正 280,000円(税抜)
【リスク】矯正装置が口の中にあたって口内炎が出来やすくなる方もおられます。

【治療内容】部分矯正を行った患者様の症例です。ホワイトワイヤー矯正で叢生(ガタガタ)を治療しました。
【費用】ホワイトワイヤー部分矯正 280,000円(税抜)
【リスク】矯正装置が口の中に当たって口内炎が出来やすくなる方もおられます。


【治療内容】ワイヤー矯正で上顎の部分矯正をされた症例です。治療期間は1年でした。
【費用】上顎のみワイヤー部分矯正 260,000円(税抜)
【リスク】矯正装置が口の中にあたって口内炎が出来やすくなる方もおられます。



患者さんからは、笑うたびに口元を手で隠していたのですが、歯並びが整い人前で大きく口を開いて笑えるようになってから、対人関係に積極的になれたと嬉しいお言葉をいただきました。
【治療内容】八重歯(叢生)の患者さんです。ワイヤー矯正で歯並びを治しました。
【費用】ワイヤー矯正 750,000円(税抜)
【リスク】矯正装置が口の中にあたって口内炎が出来やすくなる方もおられます。

治療前は、八重歯や前歯の重なりが気になり、笑顔に少し抵抗があったそうです。ホワイトワイヤー矯正で歯並びが整い、人前でも笑いやすくなったとお話しいただきました。
【治療内容】叢生をホワイトワイヤー矯正で治療しました。
【費用】ホワイトワイヤー矯正 795,000円(税抜)
【リスク】矯正装置が口の中にあたって口内炎が出来やすくなる方もおられます。

歯並びのデコボコが気になり、写真を撮る時にも口元を意識されていたそうです。ワイヤー矯正で口元の印象が整い、自然に笑える場面が増えたと嬉しいお声をいただきました。
【治療内容】叢生をホワイトワイヤー矯正で治療しました。
【費用】ホワイトワイヤー矯正 795,000円(税抜)
【リスク】矯正装置が口の中にあたって口内炎が出来やすくなる方もおられます。

叢生による見た目の悩みだけでなく、歯磨きのしにくさも気にされていました。ホワイトワイヤー矯正後は、口元の印象が整い、毎日のケアにも前向きになれたと喜んでいただけました。
【治療内容】叢生をホワイトワイヤー矯正で治療しました。
【費用】ホワイトワイヤー矯正 795,000円(税抜)
【リスク】矯正装置が口の中にあたって口内炎が出来やすくなる方もおられます。




【治療内容】八重歯・ガタガタしていた全体的な歯並びを裏側矯正(コンビネーション)で治療しました。治療期間:1年2ヶ月
【費用】裏側矯正(コンビネーション) 1,120,000円(税抜)
【リスク】装置をつけると最初は少し痛くて、発音しづらい。

これらに基づいて、あなたに最適な治療法を丁寧にご説明します。
部分矯正が適応になることもあります
八重歯の治療は症状によって違います。当院はあなたに合った治し方をご提案します。
など正確な診断をしてご説明します。
八重歯がコンプレックス…
人前で笑えない毎日を変えます。
大阪で年間8,000症例の実績が、
あなたの八重歯を確実にキレイにします
八重歯は歯列から飛び出していることが多く、歯と歯が重なった部分に汚れ(プラーク)が溜まりやすくなります。
そのため、虫歯や歯周病のリスクが高くなったり、噛み合わせに影響したりすることがあります。見た目だけでなく、お口の健康面からも治療を検討される方が多い歯並びです。
犬歯は前から3番目にある歯の名前です。
一方、八重歯は犬歯などの歯が歯列から外れて、重なって生えている状態を指します。つまり、犬歯そのものが悪いわけではなく、犬歯が正しい位置に並ばずに飛び出している状態が「八重歯」と呼ばれることが多いです。
歯が並ぶためのスペースが不足している方は、八重歯になりやすい傾向があります。
あごが小さい、歯のサイズが大きい、乳歯から永久歯への生えかわりのタイミングに問題があった、乳歯を早く失ったなどの場合に、犬歯が歯列から外れて八重歯になることがあります。
八重歯として目立っている犬歯は、噛み合わせに大切な役割を持つ歯のため、基本的に抜くことはほとんどありません。
矯正治療では、犬歯を抜くのではなく、正しい位置へ並べることを目指します。
歯を並べるスペースが大きく不足している場合は、犬歯の隣にある小臼歯(4番)などを抜歯して、犬歯をきれいに並べるためのスペースを作ることがあります。
抜歯が必要かどうかは、歯並びや噛み合わせ、口元のバランスを確認したうえで判断します。
八重歯の矯正で抜歯が必要かどうかは、歯が並ぶためのスペースがどのくらい不足しているかによって変わります。
八重歯や前歯の重なりが強い場合、無理に非抜歯で並べようとすると、前歯が前方へ出て出っ歯のような口元になることがあります。そのため、スペースを確保する目的で小臼歯などを抜歯する場合があります。
一方で、八重歯の程度が比較的軽い場合は、スライス、奥歯の後方移動、歯列のアーチ拡大などによって、抜歯をせずに治療できることもあります。
当院では、できるだけ歯を抜かない方法も検討したうえで、歯並び・噛み合わせ・口元のバランスを総合的に見て、抜歯が必要かどうかを判断します。
軽度の八重歯で、噛み合わせに大きな問題がない場合は、部分矯正で対応できることがあります。
ただし、八重歯は歯を並べるスペースが不足していることが多く、部分矯正だけでは難しいケースも少なくありません。
スペース不足が大きい場合や、噛み合わせ全体の改善が必要な場合は、全体矯正をご提案することがあります。
八重歯をそのままにしておくと、歯磨きがしにくい部分に汚れが残りやすく、虫歯や歯周病のリスクが高まることがあります。
また、歯の重なりによって噛み合わせに負担がかかったり、口元の見た目が気になったりする場合もあります。症状の程度によってリスクは異なるため、気になる方は一度ご相談ください。
八重歯の矯正費用は、部分矯正で対応できるか、全体矯正が必要か、また使用する装置によって異なります。
軽度の八重歯であれば部分矯正で費用を抑えられる場合もありますが、抜歯を伴う全体矯正が必要な場合は費用が変わります。詳しい費用は、歯並びや噛み合わせを確認したうえでご案内します。
八重歯の矯正では、歯がきれいに並ぶためのスペースを確保し、飛び出している犬歯などを正しい位置へ動かしていきます。
スペースを作る方法には、歯の横幅を少し削るスライス、歯列を広げる方法、小臼歯の抜歯などがあります。症状に応じて、ワイヤー矯正・マウスピース矯正・裏側矯正などの中から適した治療方法をご提案します。
治療期間は症状によって変わりますが、目安として小臼歯を抜いて治療する場合は約2年(早い方で1年半、かかる方で2年半以上)です。
歯をスライスして治療する場合は重なりの程度によりますが、軽度は半年〜1年、中度は約1年、重度は1年〜1年半が目安です。
八重歯はお口が小さいために、歯が並びきらずに飛び出てしまうことによって起こります。
大人の場合はあごの成長がほぼ終わっているため、子供のようにあごの成長を利用して大きくすることは基本的にできません。
そのため、歯を並べるためのスペースを、抜歯・スライス・奥歯の移動・歯列の拡大などによって作る必要があります。
大人の八重歯の治療方法は、大きく分けると次の2つです。

八重歯や叢生の不正咬合の程度が強い場合には抜歯矯正となります。抜歯して歯を動かすスペースを作ります。八重歯の隣の小臼歯(4番(または5番))を抜歯します。
小臼歯を抜歯することで、歯を並べるためのまとまったスペースを確保できます。例えば小臼歯を2本抜歯した場合、歯の大きさにもよりますが、およそ14mm前後のスペースができます。
健康な歯を抜くことに抵抗を感じる方も多いかと思いますが、矯正において抜歯も治療の一部といっても言い過ぎではありません。
というのも、八重歯・叢生の程度が強い場合に非抜歯で矯正治療を行うと、歯が動くスペースがないので、出っ歯になってしまいます。
抜歯することで歯並びがきれいに整い、噛み合わせも改善します。また、虫歯や歯周病などにもなりにくくなるので歯の健康にも良い影響があります。
非抜歯矯正では、歯を抜かずに歯が並ぶスペースを作ります。主な方法として、スライス、奥歯の後方移動、歯列のアーチ拡大などがあります。
八重歯・叢生の不正咬合の程度が強くない場合には非抜歯矯正が可能です。歯を抜かずに、歯を動かすスペースの確保するために歯の横幅を減らすスライス(ストリッピング)という方法を取ります。
歯の両サイドの表面のエナメル質の部分をほんの少し(0.2mm〜0.5mm程度)削ります。前歯6本をスライスすると矯正に必要なスペースが十分できますのでご安心ください。
スライスは矯正担当医が必要と判断した場合に行います。また、スライスだけを単独で行うものではなく、ワイヤー矯正やマウスピース矯正と組み合わせて行います。

八重歯・叢生の程度が比較的軽い場合には、歯を抜かずに奥歯を後ろへ動かしてスペースを作る方法があります。
奥歯を少しずつ後方へ移動させることで、前歯や犬歯がきれいに並ぶためのスペースを確保します。
特にマウスピース矯正では、症例によって奥歯を後ろへ動かしながら歯並びを整えることが可能です。
ただし、すべての方に適応できるわけではありません。親知らずの有無、奥歯の位置、骨格、噛み合わせの状態などを確認したうえで判断します。
歯が並ぶアーチを少し広げることで、八重歯を歯列の中に入れるスペースを作る方法もあります。
ただし、歯列を広げれば必ず良いというわけではありません。無理に広げると前歯が前方へ出て、出っ歯のような口元になることがあります。
そのため、アーチを広げる方法は、横顔や口元のバランス、噛み合わせ、歯ぐきや骨の状態を確認しながら慎重に判断します。
八重歯の治療では、抜歯矯正・スライス・奥歯の後方移動・歯列の拡大などの方法を、患者さんのお口の状態に合わせて組み合わせることがあります。
例えば、軽度の八重歯であればスライスや奥歯の移動で対応できることがありますが、叢生が強い場合は抜歯が必要になることもあります。
どの方法が適しているかは、歯並びのガタガタの量、口元の突出感、噛み合わせ、あごの大きさ、歯ぐきや骨の状態などを総合的に診断して決定します。

子供さんの場合はお口(アゴ)を大きくして八重歯を治す事も可能です。
八重歯になる犬歯は、永久歯の中でも比較的遅い時期に生えてきます。そのため、犬歯が生えてくる頃にはすでにスペースが足りなくなっていて、外側に飛び出してしまうことがあります。
八重歯が生えてくるのは11〜12才くらいです。その時にひどい八重歯になっていれば、歯を抜かなくてはいけないかもしれませんが、歯を抜かずにあごの骨を大きくすることで治せる場合もあります。
小学生の時期に歯が並ぶスペースを確認しておくことで、将来的に抜歯が必要になるリスクを減らせる場合があります。
小児矯正では、治療を始める時期によって方法や値段が変わりますので、まずはご相談下さいね。

歯が重なったり、ガタガタでふぞろいになっている歯並びのことを「叢生」「乱杭歯」といいます。その中で糸切り歯が前に飛び出した状態を特別に「八重歯」といいます。
治療期間は症状によって変わってきます。
一般的に2年くらいかかります。歯が動きやすい方は早ければ1年半くらいで治る時もありますし、動きにくい方は2年半以上かかる可能性もあり得ます。
八重歯の程度にもよりますが、目安として前歯全体の歯の重なりの量が、
軽度・・・おおむね前歯の重なり具合が全体で3mmくらいまでの場合です。⇒半年から1年くらい
中度・・・おおむね前歯の重なり具合が全体で5mmくらいまでの場合です。⇒1年くらい
重度・・・おおむね前歯の重なり具合が全体で7mmくらいまでの場合です。⇒1年から1年半くらい
になります。これも目安であり、個人差があります。
原因としては元々あごが小さかった、元々歯が大きかった、乳歯の頃の虫歯、虫歯により早期に乳歯がなくなった、あごが十分に発達できなかったことなどがあります。
現代人の食生活は昔に比べて柔らかいものが多くなったため、咬まなくなったこともあごの発達に悪い影響を与えていると考えられています。

八重歯の根本的な原因はお口が小さいことです。お口が小さい為に全ての歯が並び切ることができずに結果的に歯が飛び出してしまうんです。
お口が小さくなる原因はたくさんあります。柔らかい食べ物ばかり食べて育つことはもちろんですが、離乳が遅れたり、おしゃぶりを長く使ってる子どもさんは、ほっぺたの筋肉がいつも緊張していてそれによってあごの骨を圧迫してあごの成長を阻害します。
また、犬歯の永久歯への生え変わりが遅くなった場合に、狭いスペースに犬歯が収まりきらずに前上方にずれて生えてしまったせいで八重歯になってしまうこともあります。
また、乳歯の奥歯に多くの虫歯があった場合、虫歯で歯が減った分だけ乳歯の位置が前に来てしまい、歯が生えるスペースがなくなります。
更には乳歯を早期に抜歯したりした場合にも同じことが起こります。

歯の大きさに対してあごが小さく、歯が並びきらないためにこのような状態になってしまいます。
歯が重なっている部分に歯ブラシが届きにくく、歯磨きがしにくいので虫歯や歯周病になりやすくなります。
歯がでこぼこしていると正しく咬み合わなかったり、食べ物を噛み砕くことができなかったりします。前歯は食べ物を咬み切る役目があり、奥歯には食べ物をすりつぶすという役目があります。
それぞれがバランスよく使われないと負担が偏ってしまい、負担の大きい歯は寿命が短くなってしまう可能性もあります。
患者さんには、八重歯は治した方が良いと申し上げています。
日本では前歯を可愛いと感じる方もおられますが、矯正歯科では不正咬合の部類に入ります。八重歯が歯列から飛び出していることで歯列にデコボコが出来て、その部分に歯垢(プラーク)が溜まりやすくなります。そのため虫歯や歯周病になるリスクが高まります。口臭も多くなるかもしれません。
また、八重歯になる原因は全ての歯がきれいに並ぶためのスペースが足りなかったせいですので、上や下の前歯が少しガタガタしているかもしれません。見た目が気にならないとしても、ガタガタしている部分は八重歯と同様に、虫歯や歯周病になるリスクが高まります。

八重歯や乱ぐい歯の人は、重なった歯の部分の虫歯のリスクが高まります。
乱ぐい歯の場合は、123番の歯の重なる部分が特に虫歯になりやすい傾向があります。
また、八重歯の場合は重なった歯の裏側に磨き残しが多く、歯垢や歯石が溜まりやすいので虫歯リスクが高くなります。

上の前歯は他の歯と比べて横幅が大きいのですが、もしかしたら前歯が少しだけ他の方よりも大きいせいで、歯がきれいに並ぶ為に必要なスペースがなくなってしまって歯が押し合った結果、八重歯になったのかもしれません。
八重歯の方の場合は部分矯正だけでは難しいケースが多いです。ではどうやって治すのかというと、左右の小臼歯を抜歯して八重歯が歯列に収まるだけのスペースを作り、そのスペースを利用して歯列から飛び出している八重歯を正しい位置へ動かします。もし前歯が少し出っ歯気味でしたら、それも下げることが出来ます。

この場合はワイヤー矯正(裏側矯正ですとより目立ちにくいです)が好ましいのですが、少し期間が多くかかっても良ければ、マウスピース矯正でも出来る場合があります。
当院のワイヤー矯正は白いブラケットを使いますので、ワイヤーも白いものを使えば(ホワイトワイヤー矯正)、目立ちません。
前歯の大きさは、前歯の左右をほんの少し削ることで、やや小さくなります。削った部分のスペースも、矯正装置を使って歯を動かすことでなくしていきます。
虫歯や歯周病の予防、顎関節の負担軽減など、見た目だけでなく歯を健康に保つためにも歯並びをきれいにするメリットがあります。
当院では、「自然な見た目」と「良い噛み合わせ」の2点を ゴールと考え、ガタガタ・八重歯の方の治療を行っていきます。
ただ、正確な診断は、実際に前歯、奥歯、お顔(横顔)も見ないと分かりません。
さらに、3Dシミュレーションで、治療後の状態をお見せすることができますので大変わかりやすいです。
今なら無料カウンセリングしていますのでお気軽にご予約ください。
相談だけでも大歓迎です
他院との比較も問題ありません