




インビザラインには年間の症例数によって認定されるプロバイダーという制度があり、年間症例数1500症例以上の医院が認定される「パープルダイヤモンド」が新設されました。
当院は、日本にわずか3軒しかない
「パープルダイヤモンドプロバイダー」の医院なので安心です。
豊富な経験と実績に裏打ちされた、精度の高いマウスピース矯正をご提供いたします。



インビザライン・ジャパン20周年記念イベント「Align GP Prestige 2026」にて、日本第1位(最長提供医院)として表彰されました。
大阪矯正歯科グループは「日本において最も長くインビザラインを提供している医院」として、インビザライン・ジャパンおよび米国アライン・テクノロジー本社より第1位の表彰を受けました。

ステージ上のスクリーンには「Valued Long-Term Provider」として総院長松本正洋の名前が筆頭に掲げられ、米国アライン・テクノロジー社CEOのジョー・ホーガン氏より、これまでの功績を称える表彰状が授与されました。
これは、インビザラインが日本に導入された初期から治療に取り組み、長年にわたり多くの患者さまの症例に向き合ってきた実績が評価されたものです。
インビザライン治療では、装置そのものだけでなく、治療計画の立案や経過に応じた細かな調整など、積み重ねてきた臨床経験が仕上がりを左右します。
当グループでは、これまで培ってきた知識と症例経験をもとに、見た目の美しさだけでなく、噛み合わせや将来的な安定性まで見据えた治療をご提案しています。
難しい症例や他院でマウスピース矯正が難しいと判断されたケースについても、まずは一度ご相談ください。
インビザラインを検討されている方は、まずは無料カウンセリングでご自身の歯並びが適応かどうかをご確認ください。

日本のインビザライン20年の歴史を代表するドクターとして紹介されました。

インビザラインの累計患者数が12,000人を超え、アラインテクノロジー社「invisalign Lifetime Achievement Award」を受賞しました。

このたびは、「Invisatign Lifetime Achievement」の受賞、誠におめでとうございます。
この素晴らしい節目は、数多くの患者様の笑顔と人生を変えてこられた、先生の卓越したご尽力の証です。
アライン社およびアジア太平洋チームを代表して、心より感謝申し上げます。
常に質の高い治療成果を追求され、患者様に優れた体験を提供し続けてこられたそのたゆまぬご努力は、多くの先生方にとっても励みとなるものと信じています。
今後とも変わらぬご尽力を賜りますようお願い申し上げるとともに、これまでのご経験が実り多く、意義深いものであったことを願っております。
これからも共にさらなる成功を目指し、多くの笑顔を生み出していけることを楽しみにしております。
敬具
David Carr
Executive Vice President&Managing Director,APAC
インビザライン アジアパシフィックサミット(APAC)にてインビザライントッププロバイダーを受賞しました。


当院ではインビザラインパープルダイヤモンド・レッドダイヤモンドを7年連続獲得しました。
また、累計症例数はの12,000人以上となりinvisalign Lifetime Achievement Awardを受賞いたしました。

スマホでご自身のお口の写真を撮って、それを医院に送るだけでAIと医院が治療の進行具合をチェックします。確実にチェックできるのでスムーズに治療が進み、治療期間が約3割短縮できます。
(また、シュアスマイルVProという高周波振動装置の効果で骨の代謝を促進し、歯を早く動かすこともできます。)
来院間隔も平均4ヶ月〜6ヶ月の一回の来院で済みますので大変楽です。また、来院時の調整料(一般的には月に1回)もかかりませんので費用も安くなります。
ただし、AIモニタリング(専用アプリでの歯科医師によるチェック)には、毎週1回の歯科医師のチェックと機材本体の費用として、別途4万円ほどいただいております。
費用はかかりますが、これは歯を確実にきれいに動かすための非常に有効なシステムであり、短い治療期間と少ない通院回数を実現します。写真の撮り方もアプリが誘導してくれて簡単です。

納得して治療を受けたいただきたいという思いから当院ではインビザラインのセカンドオピニオンを積極的に承っております。
十分な情報の中から最適な治療を選択していただきたいと考えております。のりかえ割もございますのでお気軽にご相談ください。

抜歯なしでのインビザライン治療をご希望であれば、可能な限り抜歯をせずに治療をするようにしています。
ディスキングといって歯の少し削って歯を動かすスペースを作ります。




取り外し可能な透明のマウスピース型の矯正装置で歯並びを治します。
自然で目立ちにくい為、装着していてもほとんど気付かれることはありません。
歯並びを治したいけれど、
「矯正治療中の見た目が気になる」
「接客業なのでワイヤーを付けられない」という方にもおすすめの矯正方法です。
《参考サイト》
マウスピース矯正インビザラインは、透明に近いマウスピース型の矯正装置(アライナー)を
歯につけることで歯並びを矯正する方法です!

透明だから目立たず、他人の目が気にならない
インビザラインは透明な取り外し式のマウスピースの装置で装着してもまったくわかりません。見た目を気にせず矯正できます。

患者さん自身で取り外しができる
いつでも自分で取り外すことができるので、お食事の際は外して何でも普段通りに食べられますし、歯磨きも普段通りに行えます。

口内を傷つけず、快適な装着感で痛みが少ない
インビザラインは一度に歯を動かす量が少なく、痛みが少ない矯正治療です。装着時の締めつけられる感覚も数時間でなくなります。

インビザラインは透明のマウスピースで目立ちません。見た目を気にせずに矯正治療ができます。
周囲に知られずに矯正をしたい方、金属の装置に抵抗がある方には大きなメリットです。
矯正装置が気になって笑えない、口元を手で隠してしまうということもありません。

インビザラインはマウスピース型の装置で自由に取り外すことが可能です。
食事の際にアライナーを取り外しますので、食事の制限がなく、普段通り好きなものが食べられます。
歯磨きの際には取り外していつも通りブラッシングできます。フロス・歯間ブラシなども問題なくできます。
アライナーも取り外して洗浄できますので清潔に保つことが出来ます。

一度に歯を動かす距離が少ないこと痛みが少ない理由です。
インビザラインは3Dシミュレーションによって効率的に歯を動かせるよう緻密に計算されています。
アライナーを交換することで歯を動かしますが、1枚のアライナーで動かす距離は0.2mm程度と短く、痛みが最小限に抑えられます。
ワイヤーに矯正と比べて装置の歯に対してかかる力(矯正力)が穏やかなのも痛みが少ない理由です。ゆっくりと穏やかな力で無理なく歯が動きます。
また、ワイヤー矯正に比べると装置が当たって口の中が傷つくことも、あまりありません。

インビザラインは世界シェアナンバー1のマウスピース矯正ブランドです。
世界各国で1300万人以上の治療実績がありますので安心して矯正治療を受けていただけます。

インビザライン治療中は1〜2ヶ月程度に1度通院していただきます。
ワイヤー矯正の場合は1ヶ月に1度程度は調整にご来院いただかなければいけませんが、インビザラインの場合はアライナーをご自宅で交換していただきますので、通院頻度が少なくても治療をしっかり進めることができます。

アライナーを取り外して、普段通りに歯磨きや歯のケアをすることができますので、虫歯や歯周病になりにくい矯正方法です。
インビザラインの装着中は唾液が口の中に回りにくく自浄作用が弱まりますので、アライナーを取り外してしっかりとブラッシングをして、口腔内を清潔にすることで虫歯や歯周病を予防します。
取り外しが可能な装置ですのでアライナーの洗浄も簡単にできます。

インビザラインの金属アレルギーの方も治療が可能です。
インビザラインのアライナーは「SmartTrack(スマートトラック)」というプラスチックの新素材でできていて、歯の表面につけるアタッチメント部分はレジンです。
金属は使用していませんので安心して治療していただけます。

3Dシミュレーションによる治療計画を立てますので、最終的な歯並びを治療前に確認することができます。自分の歯がどんなふうにきれいに並んでいくのか治療経過も確認することができます。
歯がきれいに並んだ治療後のイメージを歯科医師と患者さんが共有できますので、治療をスムーズに行うことができます。

矯正治療では事前に型取りが必要ですが、インビザラインではiTeroという3Dスキャナーを使用して型取りをします。口腔内の光学スキャンによって歯型データを取ります。
型取りに不快感を感じたことあるかも多いかと思いますが、従来のシリコンによる型取りに比べて、iTeroのスキャンは気持ち悪さもなく、精密かつスピーディーに型取りができます。
アライナーをホワイトニングトレーとして使用できます。ホワイトニングジェルを塗布して装着するとホワイトニングができます。

インビザラインは1日22時間以上装着していただくことを推奨しています。
装着時間が短いとと歯の移動量が不足したり、歯に対して正しく力がかからなくなってしまうため治療が進みません。
装着時間を守っていただくことが治療計画通りに歯を動かすために重要なカギとなります。

骨格に問題がある場合や、重度の不正咬合の場合などインビザラインで対応できない場合があります。
当院ではインビザライン以外の矯正方法やセットバック手術など様々な方法での治療が行えます。
インビザラインで治せるのかどうかはもちろんのこと、総合的に判断して最適な治療方法をご提案できます。

飲食時にはアライナーを外していただきます。外食時にも外していただくようにしてください。
アライナーを外さずに食事をするとアライナーが破損したり、虫歯などのリスクが上がります。
お水はアライナーを外さず飲んでいただいて大丈夫ですが、アライナーは熱に弱いため、熱いお湯はNGです。
※症例紹介の費用は掲載時点の金額です。治療費用は改定される場合がありますので、最新の料金はお問い合わせください。






【治療内容】上顎前突の患者さんです。インビザラインを装着し歯並びを治しました。上顎は抜歯、下顎は非抜歯で治療しました。治療期間:2年2ヶ月
【費用】インビザライン 790,000円(税抜)〜
【リスク】インビザラインを1日22時間入れなければいけないため、ちゃんと入れていただけない方はちゃんと治療が進みません。



【治療内容】叢生の患者さんです。インビザラインを装着し歯並びを治しました。非抜歯で治療しました。治療期間:1年5ヶ月
【費用】インビザライン 790,000円(税抜)〜
【リスク】インビザラインを1日22時間入れなければいけないため、ちゃんと入れていただけない方はちゃんと治療が進みません。

【治療内容】叢生でお悩みの患者様の症例です。インビザラインで治療しました。
【費用】インビザライン 790,000円(税抜)〜
【リスク】インビザラインを1日20時間以上入れなければいけないため、きちんと入れていただけない方は治療が進みません。






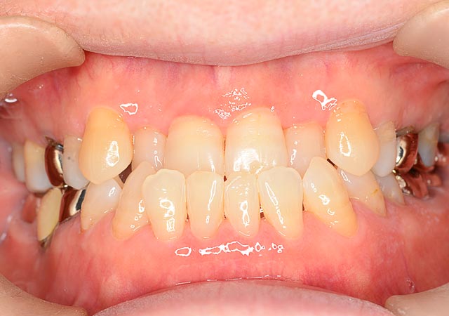
【治療内容】受け口の患者さんです。インビザラインを装着し歯並びを治しました。
【費用】インビザライン 790,000円(税抜)〜
【リスク】インビザラインを1日22時間入れなければいけないため、ちゃんと入れていただけない方はちゃんと治療が進みません。

【治療内容】叢生でお悩みの患者様の症例です。インビザラインで治療しました。
【費用】インビザライン 790,000円(税抜)
【リスク】インビザラインを1日20時間以上入れなければいけないため、きちんと入れていただけない方は治療が進みません。

【治療内容】叢生の患者さんです。インビザラインを装着し、非抜歯で歯並びを治しました。治療期間:1年半程度
【費用】インビザライン 790,000円(税抜)〜
【リスク】インビザラインを1日22時間入れなければいけないため、ちゃんと入れていただけない方はちゃんと治療が進みません。




【治療内容】歯のガタつきや前歯の噛み合わせが反対になっていることが気になるとご来院いただいた患者さんです。インビザラインを装着し歯並びを治しました。治療期間:1年
【費用】インビザライン 790,000円(税抜)〜
【リスク】インビザラインを1日22時間入れなければいけないため、ちゃんと入れていただけない方はちゃんと治療が進みません。



【治療内容】八重歯(叢生)の患者さんです。インビザラインを装着し歯並びを治しました。
【費用】インビザライン 790,000円(税抜)〜
【リスク】インビザラインを1日22時間入れなければいけないため、ちゃんと入れていただけない方はちゃんと治療が進みません。
| 初診料 | 0円 |
| インビザラインGo 全顎 | 390,000円 |
| インビザライン イージーケース2 全顎 | 485,000円 |
| インビザライン イージーケース3 全顎 | 575,000円 |
| インビザライン 全顎 | 790,000円 |
※消費税別途。適用される消費税率はお支払い時点のものとなります。
※歯列矯正は保険が適用されない自由診療です。
お支払方法についてはお気軽にご相談ください