年令別の
治療方法と費用
age

歯並びがガタガタ
まだ治療しなくて良い
受け口
直ちに治療開始
出っ歯
まだ治療しなくて良い
普通の大人の矯正と同じ治療をしていきます。緊急性はありませんが、一般的に早く始めた方が治りやすい。
子供の矯正に
詳しい歯科で治療する
orthodontic

ひとくちに矯正専門医院といっても、大人の矯正が得意な医院と子供の矯正が得意な医院があります。大人の矯正治療と子供の矯正治療は歯列への対応の仕方が全く違います。
子供の矯正治療に詳しい矯正歯科を選ぶことが大切です。低年齢から矯正治療をすれば、子供の歯並びの問題が解決するだけでなく、骨格(お顔立ち)もきれいになり、さらには全身の健康につながるということがわかっています。
当院では子供さんの治療に大変力を入れています。
クローバー歯科クリニックは、大阪矯正歯科グループ併設の 梅田 なんば 天王寺 心斎橋 京橋 吹田 豊中 高槻 茨木 西宮 にある矯正歯科クリニックです。
子供の矯正に対する
当院の思い
massage

当院では低年齢でないとできない矯正を行っています。
早期に矯正を始めますと、歯並びが悪くなる大元の原因から治すことができるという大きなメリットがあります。
大人と違って成長を利用しながら歯並びを治していきますので、歯並びの良さはもちろん、顔のフォルムも美しく整えることが可能になり、同時に全身の健康も手に入れることができますので、最低でも6〜8才までには診断をお受け頂き、子供さんに歯科矯正で美しい歯並びを手に入れるという素晴らしいプレゼントをあげて頂けたらと思います。

\調整料なし/ トータルフィー
子供の矯正の費用
price
トータルフィーで管理料・調整料などこれ以外の費用は一切かかりません
(※子ども矯正2期は選ぶ装置によって異なります。)
初診カウンセリングは 無料です。
初診料、レントゲン代(必要時のみ撮影)もいただいておりません。
プレオルソ
(マウスピース矯正)
プレオルソの費用は 160,000円(税抜)です。

※乳歯列期から1期治療へ移行する場合、1期治療費を8万円減額。
※混合歯列期から1期治療へ移行する場合、1期治療費を16万円減額。
費用自体は高いのですが、この費用は決してマウスピースの装置だけの費用ではなく、装置をちゃんと使用できているかの管理や、あいうべ体操などのトレーニングの費用、そしてその効果のほども考えての歯科医師や歯科衛生士の管理も含めた費用です。
1期治療へ移行する前には特に必要な治療項目です。
また、装置が破損したり、交換した場合は追加の費用はかかりません。
ムーシールド
(受け口)
ムーシールドの費用は 160,000円(税抜)です。

ただムーシールドは、受け口を治す治療ですので、受け口が治ったあとで、もし歯並びも治したい場合は、歯並びの矯正治療費から、80,000円を差し引いた金額で、矯正治療を受けることができますので、金額的にも、治療内容的にも素晴らしい治療法です!
上顎前方けん引装置
(受け口)
1期治療の費用は 460,000円(税抜)です。

この治療法を行う場合は、この装置(上顎前方けん引装置)の単独の費用ではなく、装置をちゃんと使えてるかの管理や、確実に上顎を成長させる為の費用、そして歯並び自体も良くするための上アゴと下アゴの拡大など、骨格そのものを良い成長に導く効果のほども考えての歯科医師や歯科衛生士の管理も含めた費用です。
このトータルの治療法を1期治療と言います。
チンキャップ
(受け口)
チンキャップの費用は 160,000円(税抜)です。

もし、チンキャップの治療が終わって、引き続きお口全体の矯正治療に移行する場合は、歯並びの矯正治療費から、80,000円を差し引いた金額で、矯正治療を受けることができますので、金額的にも、治療内容的にも素晴らしい治療法です!
また、最初からチンキャップを含めたトータル治療が必要な場合の費用は1期治療の費用になります。
※ 歯列矯正は保険が適用されない自由診療です。
安心の料金体系
fee
- 毎回の管理料がかかりません
- 治療期間が延びても、追加の費用はかかりません
当院では現金払いのほか色々なお支払方法があります。分割払いも可能です。
各種クレジットカードもご利用いただけます

\ ママに知ってほしい /
矯正を小さい頃から
始めるメリット
merit
成長途中である子供のうちから行うことはより多くのメリットがあります。
あごの成長を利用して治療を行うことができる

大人になってしまうとあごの成長が終わっているので、現在のあごの大きさに合った位置に歯を並び替えますが、子供の時期にはあごの成長を促したり、抑えたりすることができます。
成長をコントロールしてより良い方向に導くことができます。
成長が終わってから歯列矯正を行うと抜歯が必要になる場合が多くなりますが、こどものうちから成長を生かして矯正を行うと抜歯をせずに治療を終えられたり、乳歯から永久歯に生え変わって二期治療を行う場合にも治療期間が短くなったりします。
骨が柔らかいので歯が動きやすい
子供の骨は柔らかく、7才くらいまではより柔軟性があります。歯が埋まっている骨が柔らかいので歯を動かしやすく、歯が動くときの痛みも少なくなります。
矯正治療への適応能力が高い
大人に比べて子供は一般的に適応能力が高いので、矯正装置にも早く慣れることができます。また歯・歯ぐき・舌や口の周りの筋肉が治療後の咬み合わせに適応する能力にも優れています。
おしえて!
歯並びについての疑問
question
小児矯正の
2つの治療法とは
treatment
どの治療法がいいかは矯正歯科医の診断になります
子供の悪い歯並び
teeth
子供さんの悪い歯並びには色んな種類があります。
1 子供さんの歯がガタガタ

歯がガタガタに重なってる場合は、あご(お口)が小さいことが原因ですので、 あごを大きくすれば治ります。
子供のうちにあごを大きくすれば歯を抜かなくてすみます。 大人は顎を大きくすることはできませんので、結果的にかなりの確率で抜歯が必要になります。
上下のあごの大きさのバランスが良くなり、歯がキレイに並ぶと、虫歯になりにくく、噛み合わせも良くなります。
2 子供さんの出っ歯

出っ歯の場合はまず矯正装置を使ってあごを横に拡げます。あごを大きくする矯正の方法は、ガタガタの治療と同じです。あごが大きくなると相対的に前歯はうしろに後退します。その後、ワイヤーを使って奥歯を奥に移動させ、前歯がうしろに後退するスペースを作ります。
お子さんのあごが大きくなると、今まで口呼吸だったお子さんが鼻呼吸に変わったり、様々な身体の機能の改善が期待できます。
大人の場合はほぼ100%抜歯が必要になるばかりでなく、出っ歯の治り具合も低年齢から始める矯正に比べると劣ります。(子供さんは骨が柔らかいのであごが拡がります)
3 子供さんの受け口

子供さんの受け口の場合は早めの治療の方が治りやすく、かなり低年齢の3歳から始めることをお勧めしています。まずは3〜4才で一旦、受け口を治します。ただ成長が進むにつれて受け口が再発することもありますが、その程度を軽くすることができますし、再発しないこともあります。
もちろん3〜4才じゃなくても小学生になってからでも治りますが、低年齢の方がよりきれいに治ります。大人は前に出た下あご自体をうしろに下げることはできませんが、骨格的に下あごが大きく前に出ているのでなければ、反対咬合でもワイヤー矯正である程度は治ります。
この様に、色んな歯並びのタイプによって治療法が変わります。ご心配な場合は、無料のメール相談もしておりますのでお気軽にご相談くださいね。

小児矯正の症例
case
※症例紹介の費用は掲載時点の金額です。治療費用は改定される場合がありますので、最新の料金はお問い合わせください。
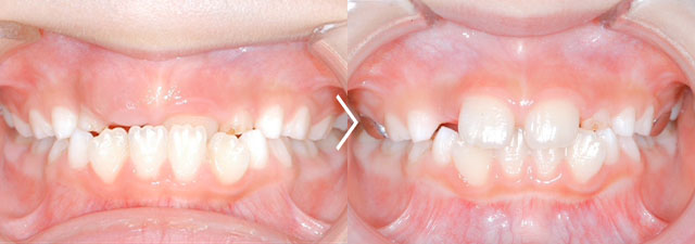
【小児矯正】前歯のガタガタを1期治療で治した症例




【治療内容】前歯がガタガタになっていたお子さんです。1期治療として急速拡大装置・ツーバイフォーで治療しました。治療期間:3年
【費用】1期治療 460,000円(税抜)
【リスク】最初は強い違和感を感じる場合があります。
【小児矯正】受け口をムーシールドで治した症例
【治療内容】受け口のお子さんです。ムーシールドを装着し歯並びを治しました。
【費用】ムーシールド 160,000円(税抜)
【リスク】寝ている間、口の中にムーシールドを入れる必要があります。
【小児矯正】受け口をムーシールドで治した症例
治療前は下の歯が上の歯より前に出ていましたが、ムーシールドでの治療後は正常な歯並びになりました。
【治療内容】下の前歯が上の前歯よりも前に出ている状態です。
3歳前後のお子さんの受け口治療はムーシールドという装置を夜の間だけお口の中に入れていただきます。
ムーシールドによって舌圧と口唇圧のバランスの改善や、舌を高位(高い位置)に保つことができるようになります。
ムーシールドは歯並びを整えるのではなく、お子さんの顎の成長を利用して上下の歯の咬み合わせを正常にする目的で使用します。
【費用】ムーシールド 160,000円(税抜)
【リスク】3才から6才くらいの受け口治療では多くの場合ムーシールドで改善するのですが、症例によってはムーシールドでの治療が難しい場合もありますし、上手く行かない場合もあります。
【小児矯正】受け口をムーシールドで治した症例
【治療内容】治療前は上の前歯1本だけが下の前歯よりも後ろにある状態でしたが、ムーシールドを約2ヶ月間装着することで表に出てきました。
【費用】ムーシールド 160,000円(税抜)
【リスク】3才から6才くらいの受け口治療では多くの場合ムーシールドで改善するのですが、症例によってはムーシールドでの治療が難しい場合もありますし、上手く行かない場合もあります。
【小児矯正】受け口を1期治療で治した症例




【治療内容】受け口のお子さんです。1期治療として急速拡大装置・フェイスマスクで治療しました。治療期間:1年3ヶ月
【費用】1期治療 460,000円(税抜)
【リスク】最初は強い違和感を感じる場合があります。
【小児矯正】受け口を1期治療で治した症例




【治療内容】受け口のお子さんです。1期治療としてリンガルアーチ・プレオルソで治療しました。治療期間:3年
【費用】1期治療 460,000円(税抜)
【リスク】顎を拡大する力が弱いため、口腔筋機能の正常化をはかった後に、床矯正装置や固定式の矯正装置で顎を広げる治療が必要になる可能性があります。
【小児矯正】反対咬合をリンガルアーチで治した症例





【治療内容】反対咬合のお子さんをリンガルアーチで治療しました。
【費用】リンガルアーチ 120,000円(税抜)
【リスク】初めて装置を入れたお子さんにとっては一週間くらいは慣れないので思わず指で触ってしまい装置を変形させてしまわないようにすることが大事です。
【小児矯正】出っ歯をプレオルソで治した症例




【治療内容】前歯が出ているのをプレオルソで治療しました。治療期間:1年
【費用】16万円(税抜)
【リスク】顎を拡大する力が弱いため、口腔筋機能の正常化をはかった後に、床矯正装置や固定式の矯正装置で顎を広げる治療が必要になる可能性があります。
【小児矯正】8の字前歯をプレオルソで治した症例




【治療内容】前歯が8の字になっているのをプレオルソで治療しました。治療期間:1年半
【費用】16万円(税抜)
【リスク】顎を拡大する力が弱いため、口腔筋機能の正常化をはかった後に、床矯正装置や固定式の矯正装置で顎を広げる治療が必要になる可能性があります。
【小児矯正】出っ歯・叢生をインビザラインファーストで治した症例
- Before
- After





【治療内容】出っ歯・叢生のお子さんのをインビザラインファーストで治療しました。治療期間:1年2ヶ月
【費用】インビザラインファースト510,000円(税抜)〜
【リスク】マウスピースを1日20時間以上入れなければいけないため、きちんと入れていただけない方は治療が進みません。
【小児矯正】出っ歯・叢生を1期治療+MFTで治した症例
- Before
- After





【治療内容】出っ歯・叢生のお子さんのを1期治療(バイオネーター・クワドヘリックス)+MFT(頬・お口周りのトレーニング)で治療しました。治療期間:1年11ヶ月
【費用】1期治療 460,000円(税抜)〜、MFT 4,000円/回
【リスク】バイオネーターは決められた時間装着いただく必要があります。クワドヘリックスは慣れるまで喋りにくくなる場合があります。
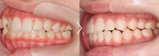
【小児矯正】叢生を2期治療で治した症例




【治療内容】1期治療終了後、2期治療としてワイヤー矯正を行いました。治療期間:1年半
【費用】ワイヤー矯正 750,000円(税抜)(1期治療を終了された方は40万円減額)
【リスク】矯正装置が口の中にあたって口内炎が出来やすくなる方もおられます。




















