ワイヤー矯正で治療された患者さんの症例をご紹介します。
※症例紹介の費用は掲載時点の金額です。治療費用は改定される場合がありますので、最新の料金はお問い合わせください。






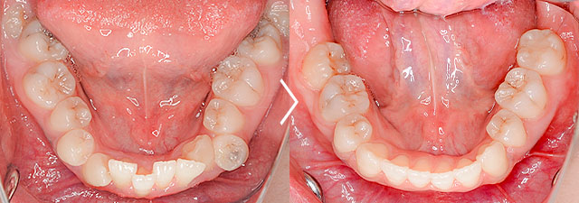
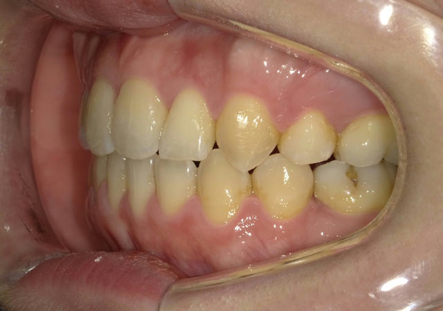
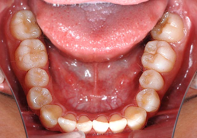
【治療内容】八重歯(叢生)の患者さんです。ホワイトワイヤー矯正で歯並びを治しました。
【費用】ホワイトワイヤー矯正 795,000円(税抜)
【リスク】矯正装置が口の中にあたって口内炎が出来やすくなる方もおられます。





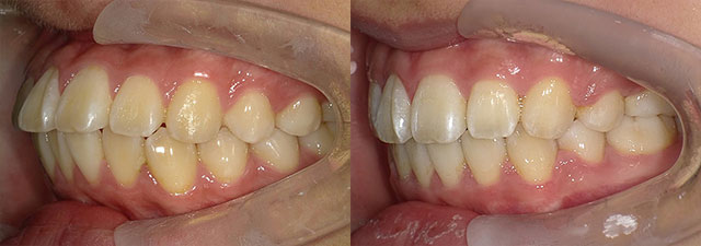
【治療内容】ホワイトワイヤー矯正で、上の八重歯と下の歯並びのデコボコがきれいに整った症例です。
【費用】ホワイトワイヤー矯正 795,000円(税抜)
【リスク】矯正装置が口の中にあたって口内炎が出来やすくなる方もおられます。






【治療内容】ホワイトワイヤー矯正で、上の八重歯と下の歯並びのデコボコを整え、きれいな歯並びになった症例です。治療期間:1年8ヶ月
【費用】ホワイトワイヤー矯正 795,000円(税抜)
【リスク】矯正装置が口の中にあたって口内炎が出来やすくなる方もおられます。






【治療内容】すきっ歯でお悩みでご来院いただき、ホワイトワイヤー矯正で行った症例です。
【費用】ホワイトワイヤー矯正 795,000円(税抜)
【リスク】矯正装置が口の中にあたって口内炎が出来やすくなる方もおられます。

【治療内容】ホワイトワイヤー矯正で治療を行った、叢生の患者様の症例です。
【費用】ホワイトワイヤー矯正 795,000円(税抜)
【リスク】矯正装置が口の中にあたって口内炎が出来やすくなる方もおられます。






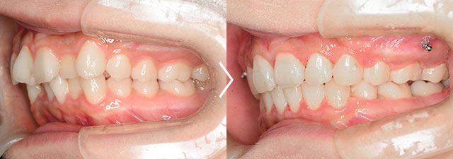
【治療内容】上下の歯が出ている上下前突の患者さんです。ホワイトワイヤー矯正で歯並びを治しました。
【費用】ホワイトワイヤー矯正 795,000円(税抜)
【リスク】矯正装置が口の中にあたって口内炎が出来やすくなる方もおられます。






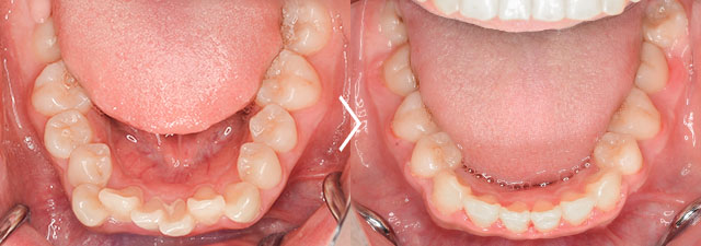
【治療内容】上下の歯の間にすき間が開いている開口の患者さんです。ホワイトワイヤー矯正で歯並びを治しました。非抜歯で治療しました。
【費用】ホワイトワイヤー矯正 795,000円(税抜)
【リスク】矯正装置が口の中にあたって口内炎が出来やすくなる方もおられます。





【治療内容】受け口をホワイトワイヤー矯正で治しました。治療期間:1年3ヶ月
【費用】ホワイトワイヤー矯正 795,000円(税抜)
【リスク】矯正装置が口の中にあたって口内炎が出来やすくなる方もおられます。






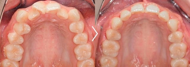
【治療内容】上下前歯部叢生をホワイトワイヤー矯正で治療しました。治療期間:2年
【費用】ホワイトワイヤー矯正 795,000円(税抜)
【リスク】矯正装置が口の中に当たって口内炎が出来やすくなる方もおられます。

【治療内容】部分矯正を行った患者様の症例です。ホワイトワイヤー矯正で治療しました。
【費用】ホワイトワイヤー部分矯正 280,000円(税抜)
【リスク】矯正装置が口の中に当たって口内炎が出来やすくなる方もおられます。






【治療内容】歯がガタガタ(叢生)、開咬の患者さんです。ホワイトワイヤー矯正で歯並びを治しました。
【費用】ホワイトワイヤー矯正 795,000円(税抜)
【リスク】矯正装置が口の中にあたって口内炎が出来やすくなる方もおられます。

【治療内容】ホワイトワイヤー矯正で治療しました。非抜歯の症例です。治療期間:約1年6ヶ月
【費用】ホワイトワイヤー矯正 795,000円(税抜)
【リスク】矯正装置が口の中に当たって口内炎が出来やすくなる方もおられます。


【治療内容】インプラントアンカーを2本使用し、ホワイトワイヤー矯正で治療しました。治療期間:2年6ヶ月
【費用】ホワイトワイヤー矯正 795,000円(税抜)/インプラントアンカー 1ヶ所 15,000円×2=30,000円
【リスク】矯正装置が口の中に当たって口内炎が出来やすくなる方もおられます。

【治療内容】口ゴボの症例です。インプラントアンカーを2本使用し、ホワイトワイヤー矯正で治療しました。治療期間:2年
【費用】ホワイトワイヤー矯正 795,000円(税抜)/インプラントアンカー 1ヶ所 15,000円×2=30,000円
【リスク】矯正装置が口の中に当たって口内炎が出来やすくなる方もおられます。

【治療内容】出っ歯の患者様の症例です。
ホワイトワイヤー矯正で治療しました。
【費用】ホワイトワイヤー矯正 795,000円(税抜)
【リスク】矯正装置が口の中にあたって口内炎が出来やすくなる方もおられます。

【治療内容】八重歯の患者様をホワイトワイヤー矯正で治療した症例です。
【費用】ホワイトワイヤー矯正 795,000円(税抜)
【リスク】矯正装置が口の中にあたって口内炎が出来やすくなる方もおられます。






【治療内容】受け口、すきっ歯の患者様の症例です。ホワイトワイヤー矯正で治療しました。
【費用】ホワイトワイヤー矯正 795,000円(税抜)
【リスク】ワイヤーの交換時に1〜2日の間痛みを感じる場合があること、 装置が口の中の粘膜にあたって口内炎になりやすくなること等です。また、装置に食べ物がひっかかったり、装置が付いているために歯のブラッシングがしにくいということも起こります。

【治療内容】すきっ歯でお悩みでご来院いただきました。
ホワイトワイヤー矯正で上下の部分矯正を行った症例です。
【費用】ホワイトワイヤー部分矯正 280,000円(税抜)
【リスク】矯正装置が口の中にあたって口内炎が出来やすくなる方もおられます。






【治療内容】歯がガタガタ(叢生)の患者さんです。ホワイトワイヤー矯正で歯並びを治しました。非抜歯で治療しました。
【費用】ホワイトワイヤー矯正 795,000円(税抜)
【リスク】矯正装置が口の中にあたって口内炎が出来やすくなる方もおられます。






【治療内容】八重歯(叢生)の患者さんです。ホワイトワイヤー矯正で歯並びを治しました。非抜歯で治療しました。
【費用】ホワイトワイヤー矯正 795,000円(税抜)
【リスク】矯正装置が口の中にあたって口内炎が出来やすくなる方もおられます。






【治療内容】上下の歯の間にすき間が開いている開口の患者さんです。ホワイトワイヤー矯正で歯並びを治しました。片あごは非抜歯で治療しました。
【費用】ホワイトワイヤー矯正 795,000円(税抜)
【リスク】矯正装置が口の中にあたって口内炎が出来やすくなる方もおられます。















【治療内容】受け口の患者さんです。ワイヤー矯正で歯並びを治しました。(治療期間:3年1ヶ月)
【費用】ワイヤー矯正 750,000円(税抜)
【リスク】矯正装置が口の中にあたって口内炎が出来やすくなる方もおられます。

【治療内容】出っ歯の患者様の症例です。
ホワイトワイヤー矯正で治療しました。
【費用】ホワイトワイヤー矯正 795,000円(税抜)
【リスク】矯正装置が口の中にあたって口内炎が出来やすくなる方もおられます。







【治療内容】出っ歯の患者様の症例です。抜歯を行い、ホワイトワイヤー矯正で治療しました。
【費用】ホワイトワイヤー矯正 795,000円(税抜)
【リスク】矯正装置が口の中にあたって口内炎が出来やすくなる方もおられます。

【治療内容】過蓋咬合の患者様の症例です。ホワイトワイヤー矯正で治療しました。
【費用】ホワイトワイヤー矯正 795,000円(税抜)
【リスク】ワイヤーの交換時に1〜2日の間痛みを感じる場合があること、 装置が口の中の粘膜にあたって口内炎になりやすくなること等です。また、装置に食べ物がひっかかったり、装置が付いているために歯のブラッシングがしにくいということも起こります。