

2つ以上当てはまる方は、部分矯正が適応の可能性があります。
※症例紹介の費用は掲載時点の金額です。治療費用は改定される場合がありますので、最新の料金はお問い合わせください。



【内容】反対咬合が気になるとご来院いただき、部分矯正を行った患者様の症例です。ホワイトワイヤー矯正で治療しました。治療期間:8ヶ月
【費用】ホワイトワイヤー部分矯正 280,000円〜(税抜)
【リスク】矯正装置が口の中に当たって口内炎が出来やすくなる方もおられます。



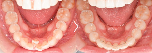
【内容】下の歯のガタつきが気になるとご来院され、1本抜歯して部分矯正を行った患者様の症例です。ワイヤー矯正で治療しました。治療期間:5ヶ月
【費用】ワイヤー部分矯正 260,000円〜(税抜)
【リスク】矯正装置が口の中に当たって口内炎が出来やすくなる方もおられます。

【内容】部分矯正を行った患者様の症例です。ホワイトワイヤー矯正で治療しました。
【費用】ホワイトワイヤー部分矯正 280,000円〜(税抜)
【リスク】矯正装置が口の中に当たって口内炎が出来やすくなる方もおられます。


【内容】上顎の部分矯正を行った患者様。裏側矯正を行い、期間は6ヵ月でした。
【費用】裏側矯正による部分矯正 490,000円〜(税抜)
【リスク】歯の裏側に装置をつけるので最初は少し痛くて、発音しづらい。

【内容】すきっ歯でお悩みでご来院いただきました。
ホワイトワイヤーで上下の部分矯正を行った症例です。
【費用】ホワイトワイヤー部分矯正 280,000円〜(税抜)
【リスク】装置が口の中にあたって口内炎が出来やすくなる方もおられます。





【内容】前歯が出ているお悩みを部分矯正で治した症例です。治療期間:半年
ホワイトワイヤーで上下の部分矯正を行った症例です。
【費用】ホワイトワイヤー部分矯正 280,000円〜(税抜)
【リスク】装置が口の中にあたって口内炎が出来やすくなる方もおられます。
当院では短期間・低価格で行える前歯の部分矯正を行っております。
やり方は3種類あります。





歯全部を動かすより治療期間がかなり短くなり、歯を動かす期間は3ヶ月〜1年位です(平均は3〜4ヶ月です)。セラミック矯正の場合は1〜3か月です。(平均は1〜2か月です)。
(部分矯正だけでは終わらず全体的な治療になることもあります。)

一般的な矯正治療の場合
・治療費が75万円〜100万円程度必要
・治療期間が1〜3年程度かかる

前歯だけの部分矯正なら
・治療費が26万円程度〜でリーズナブル(治療方法によって異なります)
・セラミック矯正の場合は1本が11万円(オールセラミック)〜になります
・治療期間が3ヶ月〜1年で短くすむ




| 初診料 | 0円 |
| ワイヤーによる部分矯正 | 銀色のワイヤー(片顎) 260,000円 ホワイトワイヤー(片顎) 280,000円 裏側矯正(片顎) 490,000円 |
| マウスピース部分矯正 |
インビザラインGo(両顎) 390,000円 インビザラインイージー2(片顎) 445,000円 インビザラインイージー3(片顎) 520,000円 |
※消費税別途。適用される消費税率はお支払い時点のものとなります。
※歯列矯正は保険が適用されない自由診療です。
早い!
前歯だけを動かすので、奥歯を動かしませんから早く終わります(前歯は奥歯に比べ動きやすいのもその理由の一つです)。また、装置を付ける範囲が狭く、歯を動かす距離量が小さいため治療期間が短くなります。
治療期間は3〜12ヶ月くらいです(平均は3〜4ヶ月です)。
安い!
全顎矯正に比べて1/4〜1/2と歯列矯正の中では比較的リーズナブルなため、適応症例であれば費用を安く抑えることができます。
痛みが少ない
全体を治療する場合は前歯から奥歯まで装置を付けますので、最初は痛みが出ます。
部分矯正の場合は前歯しか装置を付けませんので、動かす歯の本数が少なくて痛みはもちろん少なくなります。実際には1/3くらいの痛みになります。このメリットも大きいです。
器具が目立ちにくい!ワイヤーを使う場合は歯につけるブラケット(ボタンのようなもの)は透明です。銀色の金属色ではないので、基本的には目立ちにくいです。
また、装置は前歯だけに付け、糸切り歯より奥は付けませんので、全体的にはより目立ちにくいです。(マウスピースでの治療も可能です。)
歯を抜かなくて良い!
上顎の場合、ほとんどのケースで歯を抜かなくて済みます。下顎の場合は口腔内の状態により歯を抜くこともあり得ます。
また、歯が並ぶスペースが不足している場合にスペースを作るために、歯の横側を少し削るスライス(ディスキング)というオプションを使うことが多いです。ただ、かぶせ物をかぶせて治す治療に比べると、削る量ははるかに少ないです。
ケアが楽にできる!歯に装置を付けると、食事の時にものが詰まりやすくなったり、慣れるまでの間は歯ブラシがしにくいですが、前歯にしか装置を付けませんので、毎日のケアが楽です。
そのため治療中に虫歯になりにくいというメリットがあります。
部分矯正でできないこともある
等向いていないケースもあります。
部分矯正では解決できないと判断した場合、全顎矯正をおすすめします。つまり症状が軽い方の場合は治す事が可能ですが適応症例が限られており、治療には限界があります。お口の状態によっては対応できないということをご了承くださいね。
歯を削ると「スライス」と言って、歯を少しだけ削ることが多いです。削る程度は0.25〜0.5mmくらいで、エナメル質の厚さの1/3以下ですが、まれに削った後に歯がしみる症状が出ることがあります。もちろんそうならない様に慎重に削りますが、しみる可能性もまれにありますのでご了承をお願いいたします。
全体矯正より部分矯正でも大半はキレイな歯並びになりますが、元々の歯並びの状態によっては、全体矯正より完成した歯並びが劣る場合もあり得ます。
奥歯のかみ合わせは治りません最初から上下の噛み合わせが悪い場合も治りにくいです。審美面の改善を主な目的とした治療方法とお考えください。

表側・裏側・マウスピースの3つの方法のあなたの場合のメリット・デメリットをわかりやすく丁寧にご説明して、最も良い治療方法をご提案します。

全体矯正を行う知識や技術のある矯正医が治療を行っていますので安心です。

マウスピース矯正は痛みの出にくい治療法です。
ワイヤーの場合は、細いワイヤーの方が痛みが出にくいためできるだけ細いワイヤーを使用しています。痛みが出やすい奥歯にはワイヤーを基本は付けない方法でしています。
治療のスピードを優先される方には、最も速い方法をご提案します。歯並びによってスピードの速い方法が変わりますので丁寧にご説明します。
また、ワイヤーの場合は最も動きが速いブラケットを使って治療期間の短縮をしています。
部分矯正でできない場合は、きちんと説明し、無理な治療はしません。
また、歯を削ったり、抜いたりしないといけない場合は、丁寧に理由をご説明します。歯並びはもちろん健康も考えた治療をしています。
治療後、後戻りをしてしまったのでは困ります。当院では後戻りをしないような処置や指導をしています。
むし歯治療や歯周病治療を担当する歯科医師も在籍していますので連携した治療ができます。
関連ページ
ワイヤー矯正の場合は表側に装置をつける方法と裏側に装置をつける方法を選べます。

表側ワイヤー矯正ではまず動かす前歯の4歯〜8歯の表面にブラケットを取り付けます。そのブラケットへワイヤーを通し歯を動かしていきます。
歯の表面につけるのが「ブラケット」です。当院では目立たないものを使用しています。
ブラケットに通っているのが「ワイヤー」です。ワイヤーは目立たない白色か金属色の2種類があります。

歯を動かすスペースがない場合には歯を少しスライスして隙間を作ります。削るのは0.25mm〜0.5mm程度で歯にダメージのない量ですのでご安心ください。(スライスはワイヤー矯正などと併用して行われるオプションです。スライスのみを単独で行うものではありません。)

部分矯正は前歯だけに装置を取り付けます

透明で目立ちにくいマウスピースを使って、前歯の軽いガタつき・すきっ歯・ねじれなどを部分的に整える矯正治療です。
全体矯正に比べて治療範囲が限られるため、治療期間や費用を抑えやすく、気になる前歯だけをきれいにしたい方に適しています。取り外しができるため、食事や歯みがきがしやすいのも特徴です。
参考リンク

初めに歯並びの気になるところや抱えていらっしゃるお悩みをお伺いします。治療についての希望や不安などもこの機会にお気軽にご相談ください。
お口の中をチェックし、現在の歯並びの状態を確認します。 必要時にはレントゲン撮影も行います。
検査結果を元に患者様に適した方法のご提案、治療期間、費用についてご説明いたします。初診カウンセリングの内容をご理解・ご納得いただいた上で治療を開始します。
もちろん、治療を始めるかどうかはその場でお決めいただかなくても大丈夫!ご家族の意見も重要かと思いますので、相談してじっくりお考えください。


いよいよ治療スタート!ワイヤーやマウスピースを使って前歯を動かしていきます。
・歯を動かすスペースが足りない場合は?
歯並びが悪くなってしまう原因は顎の大きさに比べて歯が大きいことです。歯をきれいに並べるためのスペースが足りない場合には、歯をほんの少しずつスライスしてスペースを作る処置を行います。(虫歯になりやすくなるなどのリスクはありません。)


通院は約3週間〜4週間に一度、治療期間は3ヶ月〜1年位です
歯並びやかみ合わせのチェック、治療の進行具合の確認、ワイヤーの締め直しなどの調整、クリーニングなどを行います。


治療のゴールですが、元々あった歯の重なりが取れて、歯がきれいなアーチになります。そして、歯と歯の段差もなくなって「つらいち」のきれいな状態になります。
きれいな歯並びになったら装置を取り外します。
装置を取り外しても、歯並びが安定し、歯の周りの骨が固定するためには少し時間がかかります。その期間を保定期間と言います。
保定期間の通院は約2ヶ月〜6ヶ月に一度、期間は1年程度です
きちんと歯並びが保定されているかどうかのチェック、歯のクリーニングなどを行います。
装置を取り外した後、きれいになった歯並びを安定させ、後戻りを防止するために「リテーナー」という取り外しができるマウスピース型の保定装置を使用していただきます。
装置で動かした歯は何もしなければ段々戻ってしまいますが、ご覧のようなリテーナーをつけることで歯並びがしっかり固定されます。きれいな歯並びでホワイトニングをされるとより効果的ですね。
2本だけの出っ歯など気になる箇所の歯並びだけを治療することは可能です。
しかし、患者さんが気にされているのは2本かもしれませんが、不正咬合になってしまった原因を考えると歯全体の噛み合わせの治療が必要になる場合も多くあります。

全体の治療が必要にも関わらず部分的に治した場合、手軽に見た目を良く出来るというメリットがある半面、歯全体から見るとデメリットも多くあります。それらを十分にご説明して理解していただいてから治療に入ります。
当院では見た目を整えるだけではなく、見た目も美しく、咬みあわせも良い状態を目指します。
担当医が審美性(見た目)と機能性(咬み合わせなど)について詳しくご説明させていただき、総合的に治療計画をしていきます。
当院ではさまざまな方法をおこなっており、ご提案した方法の中から患者さんが一番いいと思うやり方を選択していただけますのでお気軽にご相談ください。
関連ページ

奥歯のかみ合わせに問題がなく、軽度の不正咬合の場合は部分矯正の適応となります。
すきっ歯の方や、少しガタガタしている叢生の方、軽度の出っ歯の方などは部分矯正が可能です。
ご自身での判断は難しいためお気軽にご相談ください。
関連ページ

マウスピース矯正の部分矯正を行っております。
ワイヤーでの矯正では裏側矯正も行っておりますが、通常の表側ワイヤー矯正よりも費用は掛かります。
表側矯正でも白いワイヤーをお選びいただくとあまり目立たずに矯正が可能です。

一般的な矯正では全部の歯にワイヤーとブラケットを付けて全体的に歯を動かして咬み合わせも正していきますが、部分矯正では全体的に歯を動かすのではなく部分的に動かすため治療期間が短くなります。
前歯は奥歯よりも移動しやすいので比較的早く治療が終了します。
前歯だけを絶対に治したくて、奥歯は関係ないと思われる方も多いと思いますが、奥歯を含めて歯並び全体を治さない治らないこともあります。例えば、重なりがひどかったり、八重歯がきつい場合などです。
この場合は、やむを得ず八重歯の一つ奥の小臼歯という歯を抜いて歯が並ぶためのスペースを作らなければなりません。その場合は奥歯も大きく動かしますので全体的な治療になります。

全体的な治療じゃないと治らないのは、具体的に重なり具合が全体で8mm以上ある場合です。8mmというのは、1本1本の歯のそれぞれの重なった所のミリ数を足し算したものです。
8mm以上あると、通常は抜歯等を伴う全体になります。
7mm以下ですと部分矯正でできる可能性が高いです。
ただケースによっては、前歯はキレイになっても、奥歯とのつながり具合が完全にキレイになりきらない可能性もあります。そんな時はやはり全体の方がいいかもしれません。

部分矯正とは部分的に気になる所がある場合にそこだけを治す方法で、MTM(Minor Tooth Movement)とも呼ばれます。
前歯1〜8本を治すことができます。軽度のガタガタや出っ歯、すきっ歯などが適応です。

費用・期間がかかる、痛い、しんどいなどのご心配があるかと思いますが、通常の矯正治療に比べてそれらの悩みがかなり減りました。
短期間で、値段も抑えられるのが大きなメリットです。

プチ矯正ともいいます。
歯並びやお口の状態によって部分的な矯正ができる場合と難しい場合があります。
しっかりと診察・検査を行い、豊富な経験をもった担当医が治療が可能かどうか診断いたしますのでお気軽にご相談ください。
適応可能なのは次のような不正咬合です。



前歯(第一小臼歯〜第一小臼歯の間の歯)で、1本から8本までの歯並びを整えることができます。

| 全体矯正 | 部分矯正 | |
|---|---|---|
![]() |
![]() |
|
| 治療範囲 | 奥歯を含む全体 | 前歯4〜8歯のみ |
| 適応 | あらゆる症例に対応 | 軽度の不正咬合 |
| 前歯の重なり※ | 8mm以上 | 7mm以下 |
| 費用 | 75万円〜100万円程度 | 26万円〜 |
| 治療期間 | 1~3年程度 | 3ヶ月~1年程度 |
| 痛み | 前歯から奥歯全体に痛みがある | 動かす歯の本数が少ないため痛みが少ない |
| 抜歯 | 抜歯の可能性がある | 抜歯せずにスライスでスペースを作る |
| 噛み合わせ | 噛み合わせを考えた治療 | 奥歯の噛み合わせは治らない |
歯全体を動かす場合は治療費が75万円〜100万円程度必要ですが、部分矯正は26万円程度〜です。
部分矯正は歯全部を動かすよりかなり短い期間で済み、歯を動かす期間は3ヶ月〜4ヶ月。長くても1年位です(歯全体を動かす場合は1〜3年程度必要です)。
ただ、適応症例が限られており、奥歯や気になるところ以外の歯に問題がある場合などは上下の歯をちゃんとかみ合わせ、よりよく改善する為に、全顎的な治療になることもあります。
関連ページ
ただし、以下のケースは部分矯正が難しい場合があります。
この場合は、全体矯正をご提案する場合もあります。
今なら無料カウンセリングしていますのでお気軽にご予約ください。
相談だけでも大歓迎です
他院との比較も問題ありません