
奥歯を矯正する場合は大きくパターンが5つあります。











それぞれのパターンについて治し方をご説明します
歯を失った場合に、その隣にある奥歯が傾いて倒れることがよくあります。
あるいは、最初から斜めに傾いて生えることもあります。
こういう場合は、治し方は2種類あります。
1)ひとつは、ワイヤー矯正です。


歯のブラケットというボタンを付けて、そこにワイヤーを通してワイヤーの力で歯を起こすやり方です。
最も一般的なやり方で、以前はこのやり方しかありませんでした。
2)最近では、小さいインプラントを使って歯を起こすやり方も普及してます。
アンカースクリューと言います。


骨の中に小さいインプラント(ミニインプラント)を埋め込んで、そこからゴムなどで引っ張って、歯を起こすやり方です。
このやり方は非常に効率が良く、最近はよく行われています。


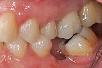
▲インプラントを固定源にして、バネで奥歯を起こしたケース。

上図のように、単純に奥歯が外を向いてるだけでしたら、ワイヤーを普通に付ければ比較的簡単に治ります。
下図の様なワイヤーを奥歯まで付けます。

ただ、奥歯どうしがすれ違ってる場合(はさみ状咬合と言います)は、ワイヤーの他に小さいインプラント(ミニインプラント)を使うこともよくあります。



この両者の場合は、奥歯を前後に動かす訳ですが、ワイヤーで動かす場合や特殊な器具(ペンデュラム)を使ったり、マウスピースで動かしたりします。



この場合は、単純に奥歯の歯並びが悪いだけでしたら、ワイヤー矯正やマウスピースで比較的簡単に治ります。
ただ噛み合わせの問題は、歯並びだけでなく色んな要因で起こります。
その要因とは、歯ぎしり、食いしばり、噛みぐせ、すり減った歯の早期接触、肩こり、頭痛、顎関節症、姿勢の悪さ、ストレスなどたくさんあります。
ですので、歯並びだけではなく総合的な診断の下に治療をしていくことになります。




奥歯の場合は、
部分矯正で治ります。
当院では短期間・低価格で行える
奥歯の部分矯正を行っております。
やり方は3種類あります。