
ハーフリンガルとは上だけ「裏側矯正」をして、下は「表側」からする方法です。
通常、上の歯に付ける装置が目立ちやすいので上だけを裏側から行い、下は目立ちにくいので表から行います。
裏側矯正の見た目の良さに加えて、下の歯は表側にブラケット・ワイヤーがあり、舌が装置に当たらないので、違和感や不快感を感じにくいのもハーフリンガルのメリットです。

関連ページ
関連ページ
※症例紹介の費用は掲載時点の金額です。治療費用は改定される場合がありますので、最新の料金はお問い合わせください。




【治療内容】八重歯・ガタガタしていた全体的な歯並びを裏側矯正(コンビネーション)で治療しました。治療期間:1年2ヶ月
【費用】裏側矯正(コンビネーション) 1,120,000円(税抜)
【リスク】装置をつけると最初は少し痛くて、発音しづらい。






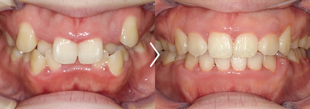
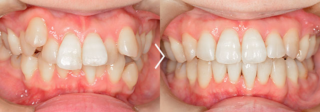
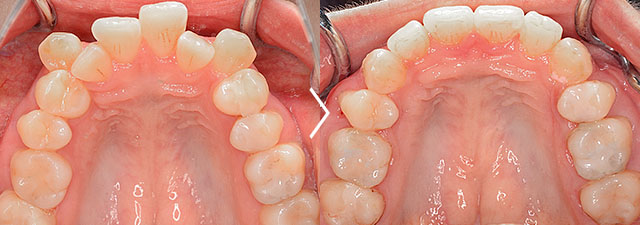
【治療内容】上下前歯部の叢生を裏側矯正(ハーフリンガル)で治しました。
【費用】裏側矯正(コンビネーション) 1,120,000円(税抜)
【リスク】装置をつけると最初は少し痛くて、発音しづらい。






【治療内容】上下前歯部の叢生を裏側矯正(ハーフリンガル)で治しました。下顎は非抜歯で治療しました。
【費用】裏側矯正(コンビネーション) 1,120,000円(税抜)
【リスク】装置をつけると最初は少し痛くて、発音しづらい。



【治療内容】叢生(八重歯)の患者さんの歯並びを治しました。
【費用】裏側矯正(コンビネーション) 1,120,000円(税抜)
【リスク】装置をつけると最初は少し痛くて、発音しづらい。






【治療内容】上下の歯が出ている上下前突の患者さんの歯並びを治しました。
【費用】裏側矯正(コンビネーション) 1,120,000円(税抜)
【リスク】装置をつけると最初は少し痛くて、発音しづらい。

口を開けた時に上の歯はしっかり見えるのに対して、下の歯は下唇で隠れる部分が多いので目立ちにくいです。
ただし、受け口の方は下の歯が見えやすく装置が目立ってしまう可能性がありますので、ハーフリンガルが適しているかどうかカウンセリングでしっかりと診させていただきます。

喋りにくさや発音などは下あごの舌側に装置をつけるかどうかが関係します。舌側に装置を付けるとやはり違和感やしゃべりづらさを感じることがあります。
ハーフリンガル矯正では下あごの表側に装置を付けますので、しゃべりにくさや発音・滑舌などに支障はほぼありません。装置を付けて最初のうちはどうしても違和感がありますが、徐々に慣れますのでご安心ください。
関連ページ

ハーフリンガル矯正の治療期間は2年程度です。裏側矯正よりも少し短くなり、表側矯正とはほとんど差がありません。