※症例紹介の費用は掲載時点の金額です。治療費用は改定される場合がありますので、最新の料金はお問い合わせください。






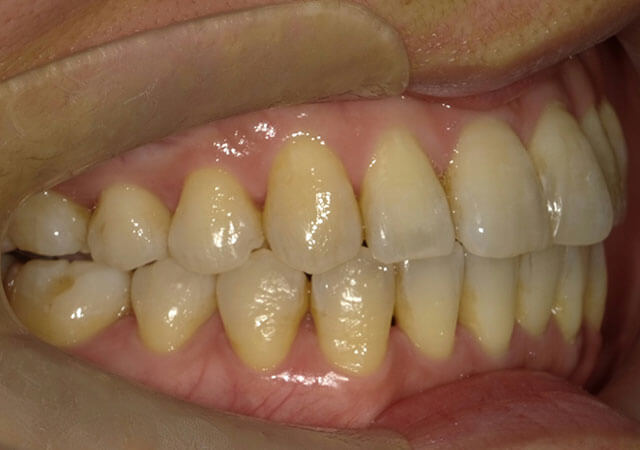
【治療内容】上顎前突の患者さんです。インビザラインを装着し歯並びを治しました。上顎は抜歯、下顎は非抜歯で治療しました。治療期間:2年2ヶ月
【費用】インビザライン 790,000円(税抜)〜
【リスク】インビザラインを1日22時間入れなければいけないため、ちゃんと入れていただけない方はちゃんと治療が進みません。



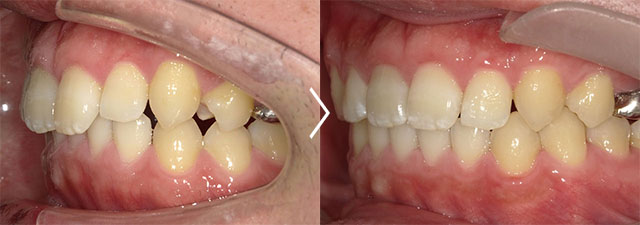
【治療内容】叢生の患者さんです。インビザラインを装着し歯並びを治しました。非抜歯で治療しました。治療期間:1年5ヶ月
【費用】インビザライン 790,000円(税抜)〜
【リスク】インビザラインを1日22時間入れなければいけないため、ちゃんと入れていただけない方はちゃんと治療が進みません。

【治療内容】叢生でお悩みの患者様の症例です。インビザラインで治療しました。
【費用】インビザライン 790,000円(税抜)〜
【リスク】インビザラインを1日20時間以上入れなければいけないため、きちんと入れていただけない方は治療が進みません。






【治療内容】受け口の患者さんです。インビザラインを装着し歯並びを治しました。
【費用】インビザライン 790,000円(税抜)〜
【リスク】インビザラインを1日22時間入れなければいけないため、ちゃんと入れていただけない方はちゃんと治療が進みません。






【治療内容】叢生でお悩みの患者様の症例です。インビザラインで治療しました。
【費用】インビザライン 790,000円(税抜)
【リスク】インビザラインを1日20時間以上入れなければいけないため、きちんと入れていただけない方は治療が進みません。

【治療内容】叢生の患者さんです。インビザラインを装着し、非抜歯で歯並びを治しました。治療期間:1年半程度
【費用】インビザライン 790,000円(税抜)〜
【リスク】インビザラインを1日22時間入れなければいけないため、ちゃんと入れていただけない方はちゃんと治療が進みません。






【治療内容】前歯のガタガタが気になると来院された患者さんです。インビザラインを装着し歯並びを治しました。治療期間:3年11ヶ月
【費用】インビザライン 790,000円(税抜)〜
【リスク】インビザラインを1日22時間入れなければいけないため、ちゃんと入れていただけない方はちゃんと治療が進みません。





【治療内容】前歯のガタつきと反対咬合が気になると来院された患者さんです。インビザラインを装着し歯並びを治しました。治療期間:1年
【費用】インビザライン 790,000円(税抜)〜
【リスク】インビザラインを1日22時間入れなければいけないため、ちゃんと入れていただけない方はちゃんと治療が進みません。




【治療内容】歯のガタつきや前歯の噛み合わせが反対になっていることが気になるとご来院いただいた患者さんです。インビザラインを装着し歯並びを治しました。治療期間:1年
【費用】インビザライン 790,000円(税抜)〜
【リスク】インビザラインを1日22時間入れなければいけないため、ちゃんと入れていただけない方はちゃんと治療が進みません。



【治療内容】八重歯(叢生)の患者さんです。インビザラインを装着し歯並びを治しました。
【費用】インビザライン 790,000円(税抜)〜
【リスク】インビザラインを1日22時間入れなければいけないため、ちゃんと入れていただけない方はちゃんと治療が進みません。




【治療内容】叢生の患者さんです。インビザラインを装着し歯並びを治しました。治療期間:1年半
【費用】インビザライン 790,000円(税抜)〜
【リスク】インビザラインを1日22時間入れなければいけないため、ちゃんと入れていただけない方はちゃんと治療が進みません。









【治療内容】八重歯(叢生)の患者さんです。インビザラインを装着し歯並びを治しました。
【費用】インビザライン 790,000円(税抜)〜
【リスク】インビザラインを1日22時間入れなければいけないため、ちゃんと入れていただけない方はちゃんと治療が進みません。



【治療内容】歯がガタガタ(叢生)の患者さんです。インビザラインを装着し歯並びを治しました。非抜歯で治療しています。
【費用】インビザライン 790,000円(税抜)〜
【リスク】インビザラインを1日22時間入れなければいけないため、ちゃんと入れていただけない方はちゃんと治療が進みません。









【治療内容】歯がガタガタ(叢生)の患者さんです。インビザラインを装着し歯並びを治しました。非抜歯で治療しています。
【費用】インビザライン 790,000円(税抜)〜
【リスク】インビザラインを1日22時間入れなければいけないため、ちゃんと入れていただけない方はちゃんと治療が進みません。






【治療内容】かみ合わせが深い過蓋咬合の患者さんです。インビザラインを装着し歯並びを治しました。
【費用】インビザライン 790,000円(税抜)〜
【リスク】インビザラインを1日22時間入れなければいけないため、ちゃんと入れていただけない方はちゃんと治療が進みません。




【治療内容】すきっ歯の患者さんです。インビザラインを装着し歯並びを治しました。
【費用】インビザライン 790,000円(税抜)〜
【リスク】インビザラインを1日22時間入れなければいけないため、ちゃんと入れていただけない方はちゃんと治療が進みません。





【治療内容】すきっ歯の患者さんです。インビザラインを装着し歯並びを治しました。非抜歯で治療しています。治療期間:8ヶ月
【費用】インビザライン 790,000円(税抜)〜
【リスク】インビザラインを1日22時間入れなければいけないため、ちゃんと入れていただけない方はちゃんと治療が進みません。


【治療内容】すきっ歯の患者さんです。インビザラインを装着し歯並びを治しました。非抜歯で治療しています。
【費用】インビザライン 790,000円(税抜)〜
【リスク】インビザラインを1日22時間入れなければいけないため、ちゃんと入れていただけない方はちゃんと治療が進みません。






【治療内容】歯がガタガタ(叢生)の患者さんです。インビザラインを装着し歯並びを治しました。
【費用】インビザライン 790,000円(税抜)〜
【リスク】インビザラインを1日22時間入れなければいけないため、ちゃんと入れていただけない方はちゃんと治療が進みません。






【治療内容】叢生の患者さんです。インビザラインを装着し歯並びを治しました。非抜歯で治療しています。
【費用】インビザライン 790,000円(税抜)〜
【リスク】インビザラインを1日22時間入れなければいけないため、ちゃんと入れていただけない方はちゃんと治療が進みません。















【治療内容】歯がガタガタ(叢生)の患者さんです。インビザラインを装着し7ヶ月間治療を行い、ここからさらに2ヶ月で仕上げを行います。
【費用】インビザライン 790,000円(税抜)〜
【リスク】インビザラインを1日22時間入れなければいけないため、ちゃんと入れていただけない方はちゃんと治療が進みません。






【治療内容】受け口の患者さんです。インビザラインを装着し歯並びを治しました。
【費用】インビザライン 790,000円(税抜)〜
【リスク】インビザラインを1日22時間入れなければいけないため、ちゃんと入れていただけない方はちゃんと治療が進みません。



【治療内容】かみ合わせが深い過蓋咬合の患者さんです。インビザラインを装着し歯並びを治しました。
【費用】インビザライン 790,000円(税抜)〜
【リスク】インビザラインを1日22時間入れなければいけないため、ちゃんと入れていただけない方はちゃんと治療が進みません。



【治療内容】すきっ歯の患者さんです。インビザラインを装着し歯並びを治しました。非抜歯で治療しています。
【費用】インビザライン 790,000円(税抜)〜
【リスク】インビザラインを1日22時間入れなければいけないため、ちゃんと入れていただけない方はちゃんと治療が進みません。















【治療内容】歯がガタガタ(叢生)の患者さんです。インビザラインを装着し7ヶ月間治療を行い、ここからさらに2ヶ月で仕上げを行います。
【費用】インビザライン 790,000円(税抜)〜
【リスク】インビザラインを1日22時間入れなければいけないため、ちゃんと入れていただけない方はちゃんと治療が進みません。