
裏側矯正とはワイヤー矯正の種類の1つで、歯の裏側にワイヤーやブラケットといった装置を取り付けて歯を動かしていく矯正方法です。固定式装置の中で最も審美性の高い装置です。
舌側(リンガル)に装置を付けるので舌側矯正・リンガル矯正・リンガルブラケットとも言います。

技術は年々進歩し、治療期間も通常の表側矯正と大差がなくなっています。また装置の大きさも小さくなっており、装着した時の違和感も少なく、発音もしやすく改良されています。
装置は薄く、表面は滑らかに仕上げられていますので、舌への刺激や痛みも少ないです。


裏側矯正には「フルリンガル」と「ハーフリンガル」があります。
「フルリンガル」は上下の歯の裏側に装置を付けます。「ハーフリンガル」は上の歯の裏側に装置を付け、下の歯は表側に装置を付けます。
従来の矯正治療というと歯の表側にワイヤーやブラケットを付ける方法が主流でしたが、裏側矯正は外側に矯正装置がなく目立たないことが大きな特徴です。
大きく口を開けなければ装置が見えないので、学校やお仕事上矯正治療中の見た目を気にされる方には画期的な治療法です。

歯の表側に装置をつけないので、歯の表面のエナメル質を傷つけません。
歯のエナメル質は表と裏では厚みが違っていて、歯の裏側はエナメル質が厚いため傷がつきにくく、唾液の量も多いので虫歯になりにくいです。

歯の表側に装置を付ける唇側矯正の場合は装置が唇や頬の粘膜を傷つけやすいのですが、裏側矯正は歯の表面に装置がないことにより唇に引っかかることがありません。
唇を傷つけず、口内炎にもなりにくいです。


裏側矯正の装置にはハーモニー、クリッピーL、STb、アリアスなど、様々な種類があります。
裏側矯正では「出っ歯」「受け口」「八重歯」「ガチャ歯(叢生・乱杭歯)」などの治療が可能です。


美しい歯並びに整っていく様子を動画でご覧下さい。
【治療内容】
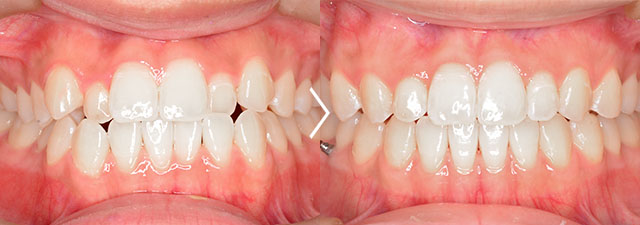
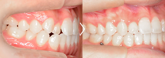
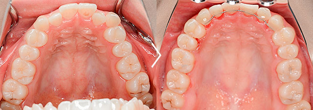
<症例1>上下の歯が混み合っている方(叢生)を治療しました。
<症例2>左上の糸切り歯が八重歯になっていました。左側の歯だけが混み合っていて、右側は混み合っていなかったので、左側の第1小臼歯を抜歯して治療しました。
<症例3>上あご・下あごとも全体的に歯が混み合っていたので、上あごは第1小臼歯、下あごは第2小臼歯を抜歯して治療しました。
【費用】裏側矯正(全顎)142万円(税抜)〜
【リスク】装置を付けると最初は少し痛くて、発音しづらい。歯を抜歯して矯正をするために、心臓病などの方は歯を抜くときに注意が必要になります。

ワイヤーやブラケットといった装置が、他人から見て目立つことを気にしておられる方がとても多いですが、裏側矯正は治療中の見た目の問題を解決できる治療法です。
装置が外側から見えないため、人の目を気にしないで治療が受けられます。
矯正をしているのを人に知られたくない方や、接客業の方、人前に出る方、アナウンサー、モデルさん、芸能人等、口元の装置が目立っては困る方、治療中の審美性が気になる方に最適の治療法です。
| 裏側矯正 | 表側矯正 | |
|---|---|---|
![]() |
![]() |
|
| 審美性 | 審美性が高い 装置が見えず、目立たない |
表側から装置が見えてしまうが、ホワイトワイヤーは目立ちにくい |
| 治療期間 | やや長い 全顎 2〜3年程度 (片顎 1年半〜2年程度) |
早い 全顎 2年程度 (片顎 1年程度) |
| 費用 | 表側と比較すると費用が高い | 費用が少し抑えられる |
| 仕上がり | 美しい | 美しい |
| 取り外し | 取り外し不可 | 取り外し不可 |
| 清掃性(歯みがきのしやすさ) | 装置の周りに汚れが溜まりやすいため工夫が必要 従来法よりも歯ブラシはあてやすい |
裏側よりも歯みがきしやすい タフトブラシなどの補助道具も使って汚れを除去する |

裏側矯正は表側矯正に比べてブラケット間の距離(インターブラケットスパン)が短く、強い力が作用するため、力のかけ方を調整する必要があります。このことにより裏側矯正は難易度が高いと言われることがあります。
当院では精密に計算されたワイヤー・ブラケットで正確に歯を動かしていきますのでご安心ください。
※症例紹介の費用は掲載時点の金額です。治療費用は改定される場合がありますので、最新の料金はお問い合わせください。





【治療内容】ガタガタしていた全体的な歯並びを裏側矯正で治療しました。治療期間:2年9ヶ月
【費用】裏側矯正 1,420,000(税抜)
【リスク】装置をつけると最初は少し痛くて、発音しづらい。





【治療内容】上下前歯部叢生と受け口を裏側矯正(フルリンガル)で治療しました。非抜歯で治しました。
【費用】裏側矯正 1,420,000(税抜)
【リスク】装置をつけると最初は少し痛くて、発音しづらい。


【治療内容】上顎の部分矯正を行った患者様。期間は6ヵ月でした。
【費用】裏側矯正による部分矯正 490,000円(税抜)
【リスク】装置をつけると最初は少し痛くて、発音しづらい。



【治療内容】叢生(八重歯)の患者さんの歯並びを治しました。
【費用】裏側矯正(コンビネーション) 1,120,000円(税抜)
【リスク】装置をつけると最初は少し痛くて、発音しづらい。






【治療内容】上下の歯が出ている上下前突の患者さんの歯並びを治しました。
【費用】裏側矯正(コンビネーション) 1,120,000円(税抜)
【リスク】装置をつけると最初は少し痛くて、発音しづらい。






【治療内容】上下の歯の間にすき間が空いている開口の患者さんの歯並びを治しました。
【費用】裏側矯正(コンビネーション) 1,120,000円(税抜)
【リスク】装置をつけると最初は少し痛くて、発音しづらい。






【治療内容】かみ合わせが深く(過蓋咬合)、ガミースマイルの患者さんを治療しました。
【費用】裏側矯正 1,420,000(税抜)
【リスク】装置をつけると最初は少し痛くて、発音しづらい。

当院では現金払いのほか色々なお支払方法があります。分割払いも可能です。


各種クレジットカードもご利用いただけます




| 初診料 | 0円 |
| 片顎 | 810,000円 |
| 表側ワイヤー併用コンビネーション(ハーフリンガル) | 1,120,000円 |
| 全顎 | 1,420,000円 |
※消費税別途。適用される消費税率はお支払い時点のものとなります。
※歯列矯正は保険が適用されない自由診療です。
周囲に気付かれずに矯正できる
大きなメリットが見た目の良さです。
一般的に矯正中の見た目は歯の表側に装置がついている様子をイメージされると思いますが、裏側矯正は装置が見えませんので、他人の視線を気にせずに歯並びを治せます。
むし歯になりにくい
歯の裏側は表よりエナメル質が3倍分厚く、表側よりも虫歯菌の出す酸に強いことや、また唾液の量が多く、常に循環しているので、唾液による自浄作用や、酸を中性に戻してくれる作用により、表側より虫歯になりにくいです。
前歯を引っ込めるのが得意
前歯を引っ込める時、奥歯を固定源にします。そうすると奥歯に力がかかってが前に動いてしまうのですが、裏側矯正の場合は固定源となる奥歯が前に行きにくい構造になっています。
そのため、前歯が動きやすくなり、大きく前歯を引っ込めることができるので、出っ歯の方には特に有利です。
食事のストレスを表に装置を付ける場合は、食べ物がつまりやすいという特徴がありますが、裏側の場合はつまりにくくなりますので、食事の負担が軽くなります。
スポーツをする時もラグビー、サッカーなど身体が接触するスポーツでも、表側に装置があると装置が壊れたり、唇を傷つけたりするリスクがありますが、裏側の場合はリスクが減ります。
後戻りのリスクが減る
出っ歯や受け口の原因として舌癖がある場合が多いのですが、裏側矯正では舌側に装置を付けるため、舌で押し出す癖が矯正中に改善します。
そのため装置を外した後に後戻りするリスクが大幅に減ります。
関連ページ
舌が装置に当たる
歯の裏に装置を付けますので、当然舌が当たってしまい、最初は違和感があります。
ただ、この違和感はほとんどの方が1週間で慣れますので、結論としては心配ないです。
食事が最初はしにくい歯に装置を付けるわけですから、食べにくいという問題があります。ただ、表側に付けるよりは食べかすがたまりにくいですし、この食べにくさも1週間程度で慣れてしまいます。
発音が最初はしにくい舌が装置に当たってしまい、最初のうちは発音がしにくくなる方もおられます。ただ、歌手の方で裏側をしておられる方もいますし、発音についてはあまりご心配はありません。
費用がかかる表側よりも費用がかかります。理由は、装置がすべてオーダーメイドであることと、1回当たりの治療時間が表側より長くかかること、技術的に難しくどの歯科医師でもできる治療法ではないなどでです。
メリット、デメリットを
じっくり考えて決められるのが良いです。

上下全顎を治療した場合の治療期間は2〜3年程度です。上か下どちらかの片顎のみの治療の場合は1年半〜2年程度です。
ブラケットなどの装置の進化により、以前よりも治療期間は短くなっていますが、表側矯正と比べると若干長くなります。

歯の裏に措置を付けるため、下の歯と装置が当たることがあります。
そんな時は、奥歯にレジンという材料を盛ってかみ合わせを上げてやります。そうすると、食事もしやすくなりますし、歯と装置が当たることもなくなります。
そして、そのレジンは歯が動くにつれて、少しずつ削っていき、最終的にはなくなります。


日本成人矯正歯科学会 編「矯正歯科治療」より
裏側矯正の課題であった発音障害は装置の小型化により大幅に軽減しています。
最初のうちはしゃべりにくいですが、1週間ほどで慣れてきます。
舌を歯の裏に当てて発音するサ行、タ行や英語のth、l 、rなどは舌が適切に順応して発音のしずらさも徐々に治ります。
実際に、人前でしゃべる仕事の方や歌手の方も裏側矯正をしています。
関連ページ

基本的に食べてはいけないものはありません。
固いものを食べる時は、装置が外れてしまうかもしれませんので、小さく切って食べたりしてください。また、キャラメルなどの粘着性があるものは、装置にひっついてしまいますので、慎重に食べてくださいね。
関連ページ

裏側矯正中の食事のコツとしては大きな食べ物は噛みづらいため、小さくして食べると食べやすいです。また、しっかり咀嚼できるように、慣れるまでは噛む回数を増やしましょう。
裏側矯正の装置を付けてすぐや調整をした後は食事がとりにくさを感じることがありますが、1〜2週間程度で慣れてきます。長くても1ヶ月程度で違和感なく食べられるようになりますのでご安心ください。

初診カウンセリングでは歯のお悩みなどをお聞きし、お口の中の状態を拝見します。
現在の歯並びや噛み合わせに合わせて、治療方法や治療期間や費用のご説明をいたします。
疑問や不安な点などなんでもご相談ください。

必要な精密検査を行います。(必要時のみレントゲン撮影をします。)


ラボで装置を製作します。
歯の形状にフィットする精密なブラケットやアーチワイヤーがオーダーメイドで作られます。


出来上がった装置がラボから届いたら、ブラケット・アーチワイヤーを歯の裏側に装着し、いよいよ治療スタートです。
治療中も装置が目立ず、周囲にも気付かれません。


1ヶ月に1回程度ご来院いただき、治療の進み具合の確認やアーチワイヤーの交換や調整等を行います。
治療期間は平均2〜3年程度です。


歯並びがキレイになって矯正治療が終了した後すぐは歯が元の位置に戻ろうとしますので、保定装置を装着する保定期間に入ります。
歯並びが落ち着くまでは保定装置をつけていただきます。